Suppr超能文献

布伦斯-加兰综合征的罕见非典型表现:一例病例报告及病理生理学与治疗方法综述

A Rare Atypical Presentation of Bruns-Garland Syndrome: A Case Report and Review of Pathophysiology and Management.

作者信息

Orsini Marco A, de Freitas Marcos R, Araujo Leite Marco A, Hauwanga Wilhelmina N, Ko Oo Aung, Nezam Uzma, De Mello Tavares Thiago, Garg Muskan, McBenedict Billy, Lima Pessôa Bruno

机构信息

Neurology, Federal University of Rio de Janeiro, Rio de Janeiro, BRA.

Neurology, Fluminense Federal University, Niterói, BRA.

出版信息

Cureus. 2025 Apr 4;17(4):e81692. doi: 10.7759/cureus.81692. eCollection 2025 Apr.

Abstract

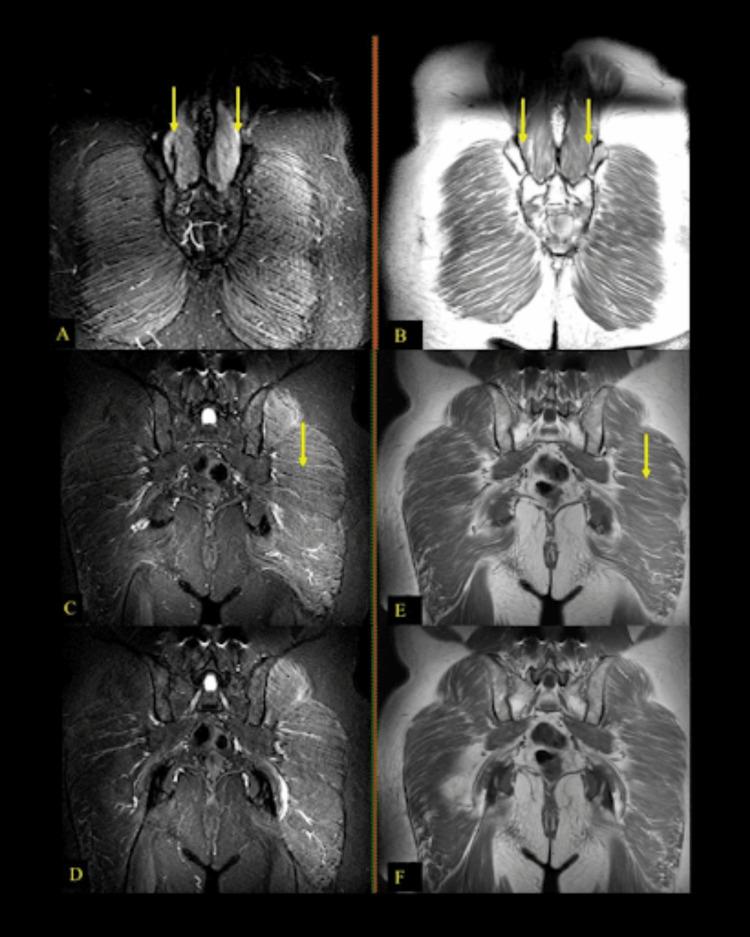
Bruns-Garland Syndrome (BGS), also known as diabetic lumbosacral radiculoplexus neuropathy (DLRPN) or diabetic amyotrophy, is a rare diabetic complication causing progressive muscle weakness, neuropathic pain, and functional impairment. It primarily affects individuals with long-standing type II diabetes, with an underlying mechanism of microvasculitis-induced ischemic injury to the lumbosacral plexus, leading to axonal loss and neurogenic atrophy. We present the case of a 73-year-old physician with type II diabetes who developed progressive thigh weakness and sensory deficits over seven years. Neurological examination revealed amyotrophy, paresis in the pelvic girdle muscles, and absent deep tendon reflexes. Electroneuromyography (ENMG) demonstrated chronic neuro-radiculopathy with significant axonal loss, and MRI showed bilateral muscle atrophy, edema, and fatty replacement. Unlike typical BGS cases, which present acutely with unilateral symptoms, this patient exhibited a chronic, bilaterally progressive form, highlighting diagnostic challenges. Differential diagnoses included chronic inflammatory demyelinating polyradiculoneuropathy, lumbar spinal stenosis, and neoplastic neuropathies. Management focused on glycemic control, physical therapy, and neuropathic pain management, with consideration of immunomodulatory therapy in severe cases. This case underscores the need for heightened clinical awareness of atypical BGS presentations and the role of electrodiagnostic and imaging studies in distinguishing it from other neuropathies. Early recognition and comprehensive management are crucial to improving outcomes and preventing further functional decline.

摘要

布伦斯-加兰综合征(BGS),也称为糖尿病性腰骶神经根丛神经病(DLRPN)或糖尿病性肌萎缩,是一种罕见的糖尿病并发症,可导致进行性肌肉无力、神经性疼痛和功能障碍。它主要影响患有长期II型糖尿病的个体,其潜在机制是微血管炎引起的腰骶丛缺血性损伤,导致轴突丧失和神经源性萎缩。我们报告了一例73岁的II型糖尿病医生的病例,该患者在7年中出现了进行性大腿无力和感觉障碍。神经系统检查发现肌萎缩、骨盆带肌肉轻瘫以及腱反射消失。肌电图(ENMG)显示为慢性神经根病,伴有明显的轴突丧失,MRI显示双侧肌肉萎缩、水肿和脂肪替代。与典型的BGS病例不同,典型病例急性出现单侧症状,而该患者表现为慢性、双侧进行性形式,突出了诊断挑战。鉴别诊断包括慢性炎症性脱髓鞘性多发性神经根神经病、腰椎管狭窄和肿瘤性神经病。治疗重点是血糖控制、物理治疗和神经性疼痛管理,严重病例考虑免疫调节治疗。该病例强调了提高对非典型BGS表现的临床认识以及电诊断和影像学研究在将其与其他神经病区分开来方面的作用的必要性。早期识别和综合管理对于改善预后和防止进一步功能衰退至关重要。

https://cdn.ncbi.nlm.nih.gov/pmc/blobs/74a1/12049857/bff56d07fbeb/cureus-0017-00000081692-i01.jpg

文献AI研究员

20分钟写一篇综述,助力文献阅读效率提升50倍。

立即体验

用中文搜PubMed

大模型驱动的PubMed中文搜索引擎

马上搜索

文档翻译

学术文献翻译模型,支持多种主流文档格式。

立即体验