Suppr超能文献

AXL通过调节免疫抑制性巨噬细胞极化促进炎性乳腺癌进展。

AXL promotes inflammatory breast cancer progression by regulating immunosuppressive macrophage polarization.

作者信息

Phi Lan T H, Cheng Yating, Funakoshi Yohei, Bertucci Francois, Finetti Pascal, Van Laere Steven J, Zou Fang, Long James P, Ogata Suguru, Krishnamurthy Savitri, Reuben James M, Foulks Jason M, Warner Steven L, Rosenbluth Jennifer M, Sood Anil K, Tripathy Debu, Ueno Naoto T, Wang Xiaoping

机构信息

Department of Breast Medical Oncology, The University of Texas MD Anderson Cancer Center, Houston, TX, USA.

The University of Texas MD Anderson Cancer Center UTHealth Houston Graduate School of Biomedical Sciences, Houston, TX, USA.

出版信息

Breast Cancer Res. 2025 May 6;27(1):70. doi: 10.1186/s13058-025-02015-8.

Abstract

BACKGROUND

Tumor-associated macrophages (TAMs) are key promoters of inflammatory breast cancer (IBC), the most aggressive form of breast cancer. The receptor tyrosine kinase AXL is highly expressed in various cancer types, including IBC, but its role in TAMs remains unexplored.

METHODS

We examined the effects of AXL inhibitor TP-0903 on tumor growth and tumor microenvironment (TME) component M2 macrophages (CD206) in IBC and triple-negative breast cancer mouse models using flow cytometry and immunohistochemical staining. Additionally, we knocked out AXL expression in human THP-1 monocytes and evaluated the effect of AXL signaling on immunosuppressive M2 macrophage polarization and IBC cell growth and migration. We then investigated the underlying mechanisms through RNA sequencing analysis. Last, we performed CIBERSORT deconvolution to analyze the association between AXL expression and tumor-infiltrating immune cell types in tumor samples from the Inflammatory Breast Cancer International Consortium.

RESULTS

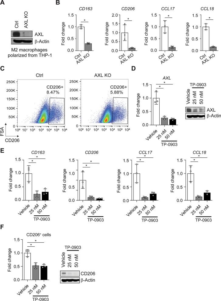
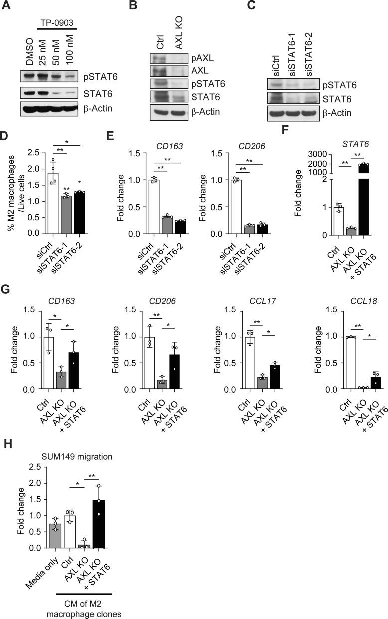
We found that inhibiting the AXL pathway significantly reduced IBC tumor growth and decreased CD206 macrophage populations within tumors. Mechanistically, our in vitro data showed that AXL promoted M2 macrophage polarization and enhanced the secretion of immunosuppressive chemokines, including CCL20, CCL26, and epiregulin, via the transcription factor STAT6 and thereby accelerated IBC cell growth and migration. RNA sequencing analysis further indicated that AXL signaling in immunosuppressive M2 macrophages regulated the expression of molecules and cytokines, contributing to an immunosuppressive TME in IBC. Moreover, high AXL expression was correlated with larger populations of immunosuppressive immune cells but smaller populations of immunoactive immune cells in tissues from patients with IBC.

CONCLUSIONS

AXL signaling promotes IBC growth by inducing M2 macrophage polarization and driving the secretion of immunosuppressive molecules and cytokines via STAT6 signaling, thereby contributing to an immunosuppressive TME. Collectively, these findings highlight the potential of targeting AXL signaling as a novel therapeutic approach for IBC that warrants further investigation in clinical trials.

摘要

背景

肿瘤相关巨噬细胞(TAM)是炎性乳腺癌(IBC)(最具侵袭性的乳腺癌形式)的关键促进因子。受体酪氨酸激酶AXL在包括IBC在内的多种癌症类型中高表达,但其在TAM中的作用仍未被探索。

方法

我们使用流式细胞术和免疫组织化学染色,在IBC和三阴性乳腺癌小鼠模型中研究了AXL抑制剂TP - 0903对肿瘤生长和肿瘤微环境(TME)成分M2巨噬细胞(CD206)的影响。此外,我们敲除了人THP - 1单核细胞中的AXL表达,并评估了AXL信号对免疫抑制性M2巨噬细胞极化以及IBC细胞生长和迁移的影响。然后,我们通过RNA测序分析研究潜在机制。最后,我们进行CIBERSORT反卷积分析,以分析AXL表达与炎性乳腺癌国际联盟肿瘤样本中肿瘤浸润免疫细胞类型之间的关联。

结果

我们发现抑制AXL途径可显著降低IBC肿瘤生长,并减少肿瘤内CD206巨噬细胞群体。从机制上讲,我们的体外数据表明,AXL通过转录因子STAT6促进M2巨噬细胞极化,并增强免疫抑制性趋化因子(包括CCL20、CCL26和表皮调节素)的分泌,从而加速IBC细胞生长和迁移。RNA测序分析进一步表明,免疫抑制性M2巨噬细胞中的AXL信号调节分子和细胞因子的表达,促成IBC中的免疫抑制性TME。此外,在IBC患者的组织中,高AXL表达与免疫抑制性免疫细胞群体较大但免疫活性免疫细胞群体较小相关。

结论

AXL信号通过诱导M2巨噬细胞极化并通过STAT6信号驱动免疫抑制性分子和细胞因子的分泌来促进IBC生长,从而促成免疫抑制性TME。总的来说,这些发现突出了靶向AXL信号作为IBC一种新的治疗方法的潜力,这值得在临床试验中进一步研究。

https://cdn.ncbi.nlm.nih.gov/pmc/blobs/80eb/12057249/b58c81e10807/13058_2025_2015_Fig1_HTML.jpg

文献AI研究员

20分钟写一篇综述,助力文献阅读效率提升50倍。

立即体验

用中文搜PubMed

大模型驱动的PubMed中文搜索引擎

马上搜索

文档翻译

学术文献翻译模型,支持多种主流文档格式。

立即体验