Suppr超能文献

宽吻海豚与衰老相关的β-淀粉样蛋白斑块和神经炎症以及十五烷酸(C15:0)对认知健康的新支持作用

Aging-Associated Amyloid-β Plaques and Neuroinflammation in Bottlenose Dolphins () and Novel Cognitive Health-Supporting Roles of Pentadecanoic Acid (C15:0).

作者信息

Venn-Watson Stephanie, Jensen Eric D

机构信息

Epitracker, Inc., San Diego, CA 92106, USA.

Seraphina Therapeutics, Inc., San Diego, CA 92106, USA.

出版信息

Int J Mol Sci. 2025 Apr 16;26(8):3746. doi: 10.3390/ijms26083746.

Abstract

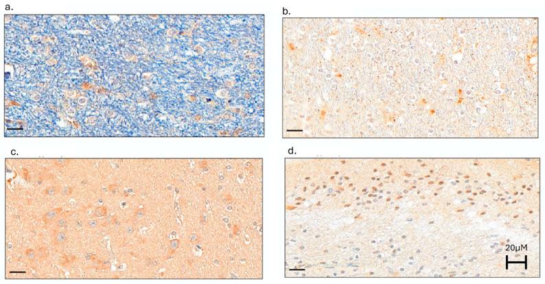
There is an urgent need to identify interventions that broadly target aging-related cognitive decline and progression to Alzheimer's disease (AD). Bottlenose dolphins () have histologic changes similar to AD in humans, and they also develop shared age-associated co-morbidities identified as risk factors for AD in humans, including type 2 diabetes, ferroptosis, and iron overload, which can be driven by nutritional C15:0 deficiency. We hypothesized that (1) dolphins would have amyloid beta (Aβ) plaques and neuroinflammation that paralleled that of humans in relation to age-related progression, quantitative concentration, and brain region; and (2) C15:0 would have dose-dependent activities relevant to protecting cognitive health. Quantitative immunohistochemistry staining was used to assess 68 tissues from archived brains of 19 Navy dolphins to evaluate associations among amyloid beta (Aβ) plaques and neuroinflammation by brain region, sex, and age group. Further, dose-dependent C15:0 activities, using a third-party panel intended to screen for potential AD therapeutics, were evaluated. Similar to humans, dolphins had the highest Aβ plaque density variation in the hippocampus (90th percentile of 4.95 plaques/mm), where plaque density increased with age ( = 0.05). All measured markers of neuroinflammation were detected, including the highest concentrations of activated microglia (CD68) in the hippocampus (0.46 ± 0.38 cells/mm). C15:0 was a dose-dependent inhibitor of two targets, fatty acid amide hydrolase (FAAH) (IC 2.5 µM, 89% maximum inhibition at 50 µM relative to URB597) and monoamine oxidase B (MAO-B) (IC 19.4 µM, 70% maximum inhibition at 50 µM relative to R(-)-Deprenyl). These activities have demonstrated efficacy against Aβ formation and neuroinflammation, including protection of cognitive function in the hippocampus. These findings suggest that, in addition to protecting against AD co-morbidities, C15:0 may play a distinct role in supporting cognitive health, especially at higher concentrations.

摘要

迫切需要确定能够广泛针对与衰老相关的认知衰退以及向阿尔茨海默病(AD)进展的干预措施。宽吻海豚具有与人类AD相似的组织学变化,并且它们还会出现一些与年龄相关的共病,这些共病被确定为人类AD的风险因素,包括2型糖尿病、铁死亡和铁过载,而这些可能由营养性C15:0缺乏所驱动。我们假设:(1)海豚会有与人类在与年龄相关的进展、定量浓度和脑区方面相似的淀粉样β(Aβ)斑块和神经炎症;(2)C15:0会具有与保护认知健康相关的剂量依赖性活性。采用定量免疫组化染色法评估了19只海军海豚存档大脑中的68个组织,以按脑区、性别和年龄组评估淀粉样β(Aβ)斑块与神经炎症之间的关联。此外,还使用旨在筛选潜在AD治疗药物的第三方检测板评估了C15:0的剂量依赖性活性。与人类相似,海豚海马体中的Aβ斑块密度变化最大(第90百分位数为4.95个斑块/mm),且斑块密度随年龄增加而升高(P = 0.05)。检测到了所有测量的神经炎症标志物,包括海马体中活化小胶质细胞(CD68)的最高浓度(0.46±0.38个细胞/mm)。C15:0是脂肪酸酰胺水解酶(FAAH)(IC50为2.5μM,相对于URB597,在50μM时最大抑制率为89%)和单胺氧化酶B(MAO - B)(IC50为19.4μM,相对于R(-)-司来吉兰,在50μM时最大抑制率为70%)这两个靶点的剂量依赖性抑制剂。这些活性已证明对Aβ形成和神经炎症有效,包括对海马体认知功能的保护。这些发现表明,除了预防AD共病外,C15:0可能在支持认知健康方面发挥独特作用,尤其是在较高浓度时。

https://cdn.ncbi.nlm.nih.gov/pmc/blobs/9ad9/12027839/34eda12ca683/ijms-26-03746-g001.jpg

文献AI研究员

20分钟写一篇综述,助力文献阅读效率提升50倍。

立即体验

用中文搜PubMed

大模型驱动的PubMed中文搜索引擎

马上搜索

文档翻译

学术文献翻译模型,支持多种主流文档格式。

立即体验