Suppr超能文献

关于弓形虫病对生活在我们周边地区的野生黑簇绒狨猴的威胁的见解。

Insights into the threats of toxoplasmosis for free-ranging black-tufted marmosets living in our neighborhood.

作者信息

de Sousa Davi Emanuel Ribeiro, de Macêdo Isabel Luana, de Albuquerque Cerqueira Liz, Melanie Ludmilla, Dos Santos Pessoa Vitória França, da Silva Rocha Arthur Scherer, de Alcantara Brito Junior Pedro, de Oliveira Passos Pedro Henrique, Ramos Daniel Garkauskas, Romano Alessandro Pecego Martins, de Toledo Costa Gabriela Rodrigues, de Lima Eduardo Mauricio Mendes, de Melo Cristiano Barros, Hagström Luciana, de Castro Marcio Botelho

机构信息

Graduate Program in Animal Sciences, University of Brasília, Federal District, Brasília, Brazil.

Veterinary Pathology and Forensics Laboratory, University of Brasília, Federal District, Brasília, Brazil.

出版信息

Sci Rep. 2025 May 8;15(1):16047. doi: 10.1038/s41598-025-00495-4.

Abstract

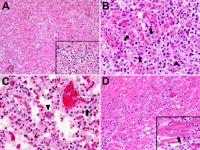
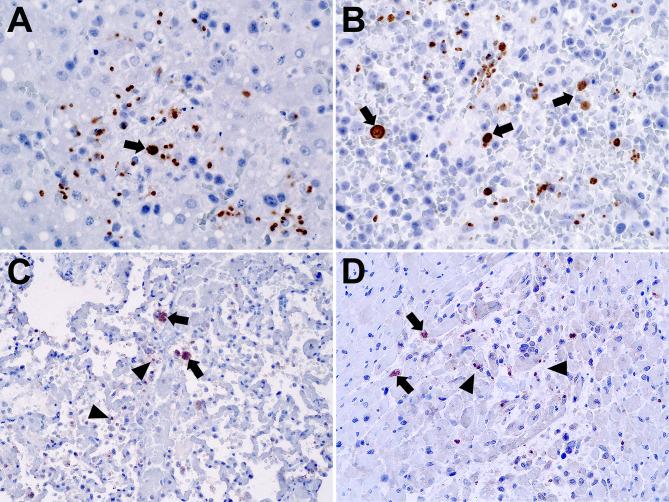
Toxoplasmosis is a globally significant zoonotic disease with the potential to severely impact wild animal populations. Neotropical non-human primates (NHPs), particularly callitrichids, are highly susceptible, often experiencing fatal outcomes. This study examines toxoplasmosis in free-ranging black-tufted marmosets (Callithrix penicillata) in anthropogenic environments of Central Brazil, analyzing epidemiological and pathological data from 2017 to 2022. A retrospective review of 1095 NHP deaths identified a 9.2% prevalence (101/1,095) of acute fatal toxoplasmosis (AFT) in black-tufted marmosets across Central Brazil and 10.3% (53/515) within the federal district (FD). Necropsied marmosets from the FD showed an estimated AFT prevalence of 50.7% and a lethality rate of 20.3%. AFT cases were linked to outbreaks and isolated incidents, with a likely seasonal peak during the dry season. Pathological findings included severe hepatic damage, splenitis, interstitial pneumonia, and myocarditis. Immunohistochemistry and qPCR confirmed Toxoplasma gondii infection, with the highest parasite loads in the spleen and liver. Given the anthropogenic pressures of habitat fragmentation, urbanization, and T. gondii exposure, this study advances the understanding of toxoplasmosis as an emerging disease in wild marmosets. Findings of this study establish a critical foundation for conservation strategies and insights into toxoplasmosis dynamics in free-ranging NHPs living in our neighborhood.

摘要

弓形虫病是一种在全球范围内具有重要意义的人畜共患病,有可能对野生动物种群造成严重影响。新热带地区的非人灵长类动物(NHPs),特别是狨猴科动物,极易感染,常常会出现致命后果。本研究调查了巴西中部人为环境中自由放养的黑羽狨猴(Callithrix penicillata)的弓形虫病情况,分析了2017年至2022年的流行病学和病理学数据。对1095例非人灵长类动物死亡病例的回顾性研究发现,巴西中部黑羽狨猴的急性致命弓形虫病(AFT)患病率为9.2%(101/1095),联邦区(FD)内为10.3%(53/515)。对来自联邦区的进行过尸检的狨猴的分析显示,估计AFT患病率为50.7%,致死率为20.3%。AFT病例与疫情爆发和个别事件有关,在旱季可能出现季节性高峰。病理结果包括严重的肝损伤、脾炎、间质性肺炎和心肌炎。免疫组织化学和定量聚合酶链反应证实了刚地弓形虫感染,脾脏和肝脏中的寄生虫载量最高。鉴于栖息地破碎化、城市化和刚地弓形虫暴露等人为压力,本研究加深了对弓形虫病作为野生狨猴中一种新兴疾病的理解。本研究结果为保护策略以及对生活在我们周边地区的自由放养非人灵长类动物中弓形虫病动态的深入了解奠定了关键基础。

https://cdn.ncbi.nlm.nih.gov/pmc/blobs/222f/12062313/2a049897c7a6/41598_2025_495_Fig1_HTML.jpg

文献AI研究员

20分钟写一篇综述,助力文献阅读效率提升50倍。

立即体验

用中文搜PubMed

大模型驱动的PubMed中文搜索引擎

马上搜索

文档翻译

学术文献翻译模型,支持多种主流文档格式。

立即体验