Suppr超能文献

受限迁移驱动干细胞分化。

Confined Migration Drives Stem Cell Differentiation.

作者信息

Gao Xu, Li Yixuan, Lee Jia Wen Nicole, Zhou Jianxuan, Rangaraj Vaishnavi, Marlena Jennifer, Holle Andrew W

机构信息

Department of Biomedical Engineering, College of Design and Engineering, National University of Singapore, Singapore, 117583, Singapore.

Mechanobiology Institute, National University of Singapore, Singapore, 117411, Singapore.

出版信息

Adv Sci (Weinh). 2025 Jun;12(21):e2415407. doi: 10.1002/advs.202415407. Epub 2025 May 8.

Abstract

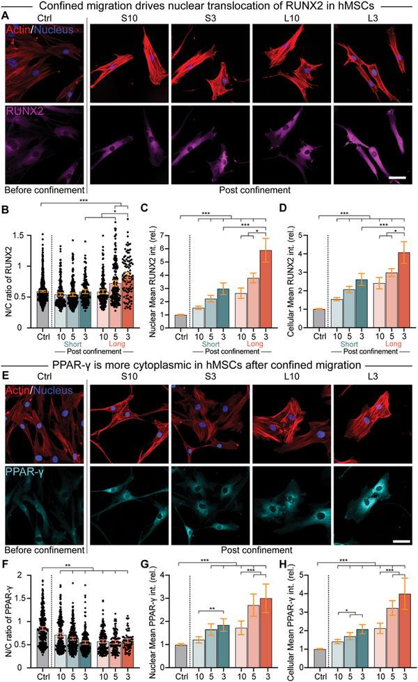
In both endogenous and exogenously-introduced human mesenchymal stem cells (hMSCs), homing to sites of regeneration requires navigation through complex extracellular matrix environments that impose confinement on migrating cells. Despite its prevalence in vivo, the impact of confinement on hMSC differentiation remains poorly understood. To address these questions, a physiologically relevant, flow-free polydimethylsiloxane-based microchannel system with confining widths ranging from 3 to 10 µm in width, is developed. In these microchannel systems, it is found that hMSCs migrate faster and experience significant nuclear deformation in 3 µm wide channels compared to wider 10 µm channels. These morphological changes persist for days postexit, implying that stem cells possess a mechanical memory of their past confined migration. High degrees of nuclear deformation also correlated with substantial changes in genome regulation, as cells displayed significant H3K9 acetylation postconfinement. In these postconfinement stem cells, significantly higher expression levels of RUNX2 along with a higher degree of nuclear-to-cytoplasmic shuttling are found, suggesting that short confined migration can stimulate osteogenic differentiation. Finally, it is found that nuclear mechanosensing via the cytoskeleton is not the primary factor driving confinement-induced differentiation. These results suggest that physiological confinement can serve as a key mechanical cue promoting early osteogenic differentiation in hMSCs.

摘要

在内源性和外源性引入的人间充质干细胞(hMSCs)中,归巢至再生部位需要在复杂的细胞外基质环境中导航,这些环境会对迁移的细胞造成限制。尽管这种限制在体内普遍存在,但对hMSC分化的影响仍知之甚少。为了解决这些问题,开发了一种基于聚二甲基硅氧烷的生理相关、无流动微通道系统,其限制宽度范围为3至10微米。在这些微通道系统中,发现与10微米宽的较宽通道相比,hMSC在3微米宽的通道中迁移更快,并且经历显著的核变形。这些形态变化在离开通道后持续数天,表示干细胞对其过去的受限迁移具有机械记忆。高度的核变形也与基因组调控的实质性变化相关,因为细胞在受限后显示出显著的H3K9乙酰化。在这些受限后的干细胞中,发现RUNX2的表达水平显著更高,同时核质穿梭程度更高,这表明短暂的受限迁移可以刺激成骨分化。最后,发现通过细胞骨架进行的核机械传感不是驱动受限诱导分化的主要因素。这些结果表明,生理限制可以作为促进hMSC早期成骨分化的关键机械信号。

https://cdn.ncbi.nlm.nih.gov/pmc/blobs/b602/12140319/fb1245fded60/ADVS-12-2415407-g002.jpg

文献AI研究员

20分钟写一篇综述,助力文献阅读效率提升50倍。

立即体验

用中文搜PubMed

大模型驱动的PubMed中文搜索引擎

马上搜索

文档翻译

学术文献翻译模型,支持多种主流文档格式。

立即体验