Suppr超能文献

5xFAD 阿尔茨海默病小鼠大脑中所有细胞类型对膳食菊粉补充的单细胞转录组图谱。

A single-cell transcriptomic atlas of all cell types in the brain of 5xFAD Alzheimer mice in response to dietary inulin supplementation.

作者信息

Wang Xiaoyan, Zhang Houyu, Wan Zhou, Li Xuetong, Ibáñez Carlos F, Xie Meng

机构信息

School of Basic Medical Sciences, Capital Medical University, Beijing, 100069, China.

Chinese Institute for Brain Research, Zhongguancun Life Science Park, Beijing, 102206, China.

出版信息

BMC Biol. 2025 May 9;23(1):124. doi: 10.1186/s12915-025-02230-x.

Abstract

BACKGROUND

Alzheimer's disease (AD) is a progressive neurodegenerative disease that is a major threat to the aging population. Due to lack of effective therapy, preventive treatments are important strategies to limit AD onset and progression, of which dietary regimes have been implicated as a key factor. Diet with high fiber content is known to have beneficial effects on cognitive decline in AD. However, a global survey on microbiome and brain cell dynamics in response to high fiber intake at single-cell resolution in AD mouse models is still missing.

RESULTS

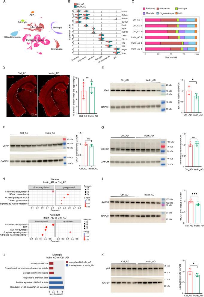
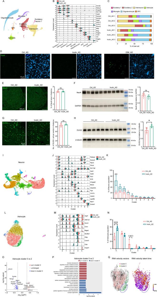
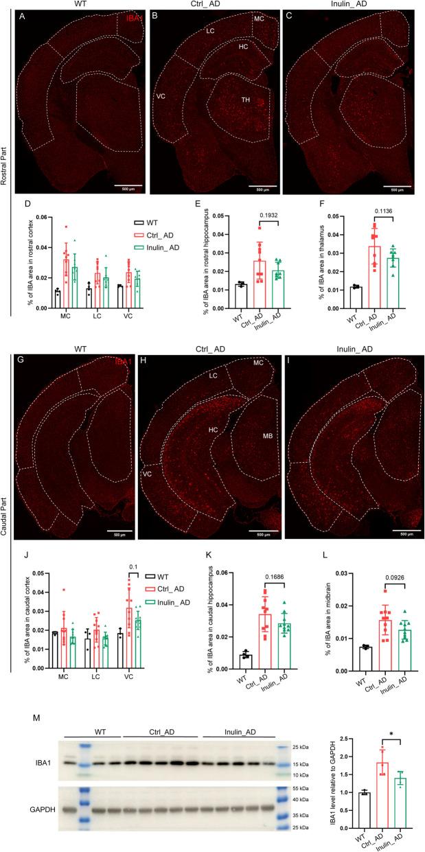
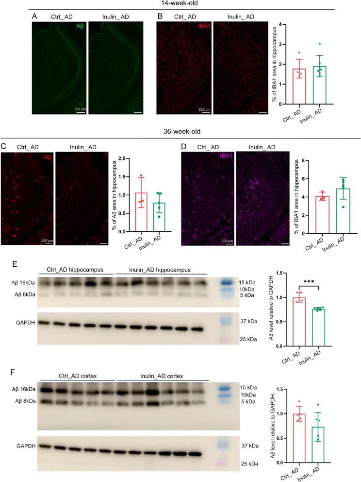
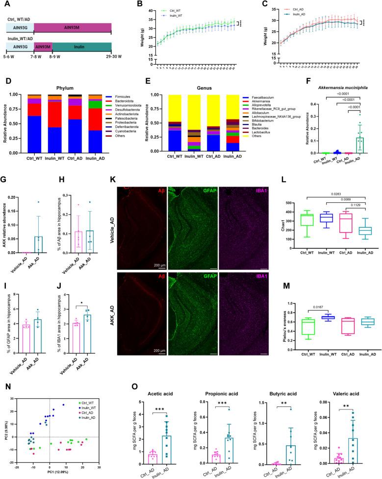
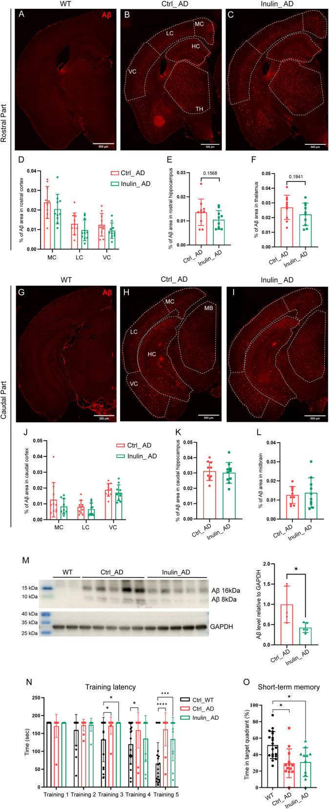
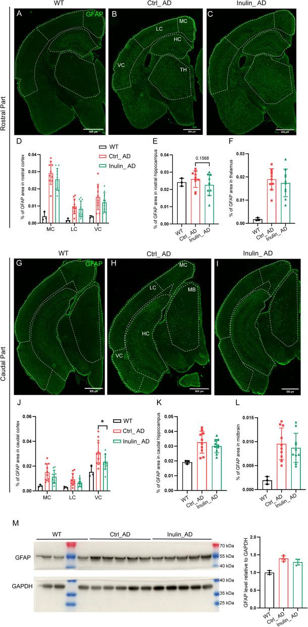
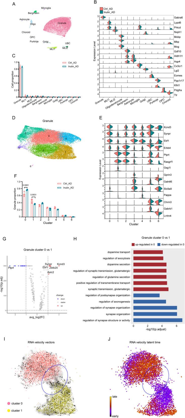
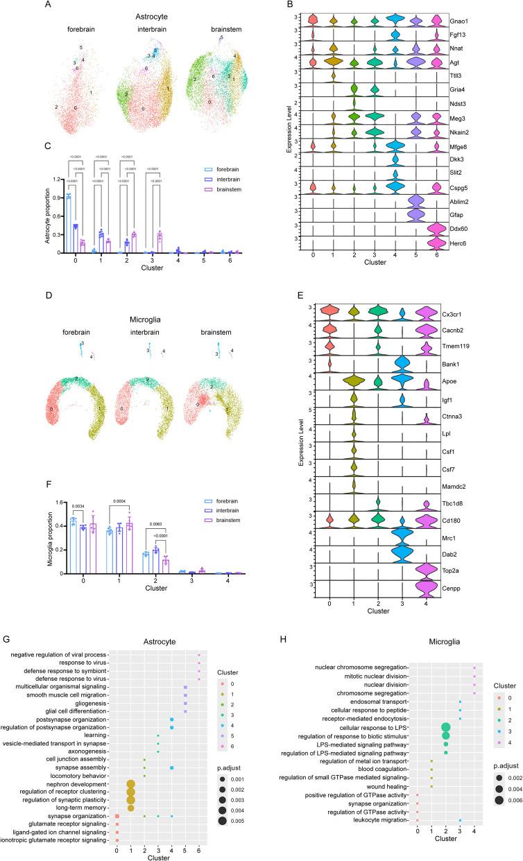
Here, we show that dietary inulin supplementation synergized with AD progression to specifically increase the abundance of Akkermansia muciniphila in gut microbiome of 5 × Familial AD (FAD) mice. By performing single-nucleus RNA sequencing on different regions of the whole brain with three independent biological replicates, we reveal region-specific changes in the proportion of neuron, astrocyte, and granule cell subpopulations upon inulin supplementation in 5xFAD mice. In addition, we find that astrocytes have more pronounced region-specific diversity than microglia. Intriguingly, such dietary change reduces amyloid-β plaque burden and alleviates microgliosis in the forebrain region, without affecting the spatial learning and memory.

CONCLUSIONS

These results provide a comprehensive overview on the transcriptomic changes in individual cells of the entire mouse brain in response to high fiber intake and a resourceful foundation for future mechanistic studies on the influence of diet and gut microbiome on the brain during neurodegeneration.

摘要

背景

阿尔茨海默病(AD)是一种进行性神经退行性疾病,对老年人群构成重大威胁。由于缺乏有效的治疗方法,预防性治疗是限制AD发病和进展的重要策略,其中饮食方案被认为是一个关键因素。已知高纤维含量的饮食对AD患者的认知衰退有有益影响。然而,在AD小鼠模型中,以单细胞分辨率对高纤维摄入引起的微生物群和脑细胞动态变化进行全球调查仍属空白。

结果

在这里,我们表明,膳食补充菊粉与AD进展协同作用,特异性增加5×家族性AD(FAD)小鼠肠道微生物群中嗜黏蛋白阿克曼氏菌的丰度。通过对全脑不同区域进行单核RNA测序,并进行三个独立的生物学重复,我们揭示了在5xFAD小鼠中补充菊粉后神经元、星形胶质细胞和颗粒细胞亚群比例的区域特异性变化。此外,我们发现星形胶质细胞比小胶质细胞具有更明显的区域特异性多样性。有趣的是,这种饮食变化减少了前脑区域的淀粉样β斑块负担并减轻了小胶质细胞增生,而不影响空间学习和记忆。

结论

这些结果全面概述了整个小鼠大脑单个细胞对高纤维摄入的转录组变化,并为未来关于饮食和肠道微生物群在神经退行性变过程中对大脑影响的机制研究提供了丰富的基础。

https://cdn.ncbi.nlm.nih.gov/pmc/blobs/9ee4/12065180/e7823f60a6fd/12915_2025_2230_Fig1_HTML.jpg

文献AI研究员

20分钟写一篇综述,助力文献阅读效率提升50倍。

立即体验

用中文搜PubMed

大模型驱动的PubMed中文搜索引擎

马上搜索

文档翻译

学术文献翻译模型,支持多种主流文档格式。

立即体验