Suppr超能文献

依达拉奉右莰醇通过抑制实验性脑出血中的铁死亡发挥神经保护作用。

Edaravone dexborneol provides neuroprotective benefits by suppressing ferroptosis in experimental intracerebral hemorrhage.

作者信息

Li Han, Li Xiang, Li Mingzhi, Li Wenxin, Wei Jinghui, Huang Yuming, Yan Haiqing, Lin Juntang, Zhang Ping

机构信息

School of Life Science and Technology, Xinxiang Medical University, Xinxiang, 453003, China.

Stem Cell and Biotherapy Engineering Research Center of Henan, Xinxiang Medical University, Xinxiang, 453003, China.

出版信息

Sci Rep. 2025 May 13;15(1):16595. doi: 10.1038/s41598-025-99187-2.

Abstract

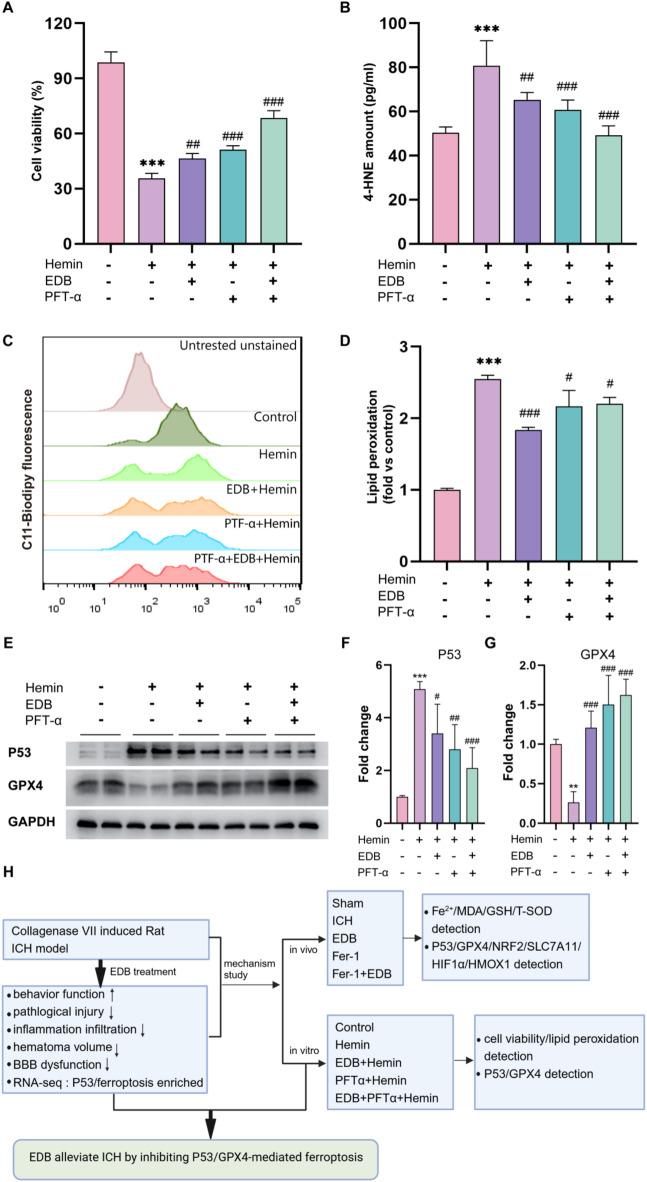
Edaravone dexborneol (EDB) is widely recognized for its anti-inflammatory and antioxidant properties and is clinically applied in the treatment of acute cerebral infarction. Ferroptosis is a critical process in the pathophysiology of brain injury following intracerebral hemorrhage (ICH). However, it remains unclear whether EDB can ameliorate ICH through the modulation of ferroptosis. This study aimed to evaluate the function and mechanism of EDB in treatment of ICH. With a male rat ICH model, animal behavior tests, histopathological staining, magnetic resonance imaging and evans blue staining were used to evaluate the neural protective function of EDB on ICH rats. The potential molecular mechanism was investigated using RNA sequencing. With the administration of Fer-1, a range of ferroptosis-related biomarkers, including Fe, 4-hydroxynonenal, malondialdehyde, etc., were analyzed to ascertain whether EDB confers neuroprotective effects through the modulation of P53/GPX4 pathways to inhibit ferroptosis. Finally, the findings were further corroborated using an in vitro ICH model with a P53 inhibitor. EDB has the potential to markedly enhance nerve and motor function, mitigate pathological damage, facilitate hematoma clearance, and repair BBB injury in ICH rats. KEGG analysis revealed that the differentially expressed genes were associated with signaling pathways, including P53 and ferroptosis. Both EDB and Fer-1 substantially reduced the concentrations of Fe, 4-hydroxynonenal, malondialdehyde, increased the amount of anti-oxidants, decreased the expression of P53, and concurrently upregulated the expression of GPX4. Besides, the P53 inhibitor PFT-α was observed to significantly reduce the levels of 4-HNE and lipid peroxides, while concurrently increasing the expression of GPX4. This investigation has shed light on the crucial neuroprotective role of EDB by regulating ferroptosis in ICH disease, which provided a theoretical basis for the clinical application of EDB in the treatment of ICH.

摘要

依达拉奉右莰醇(EDB)因其抗炎和抗氧化特性而被广泛认可,并在临床上用于治疗急性脑梗死。铁死亡是脑出血(ICH)后脑损伤病理生理学中的一个关键过程。然而,EDB是否能通过调节铁死亡来改善ICH仍不清楚。本研究旨在评估EDB在治疗ICH中的作用及机制。利用雄性大鼠ICH模型,通过动物行为测试、组织病理学染色、磁共振成像和伊文思蓝染色来评估EDB对ICH大鼠的神经保护作用。使用RNA测序研究潜在的分子机制。通过给予Fer-1,分析一系列与铁死亡相关的生物标志物,包括铁、4-羟基壬烯醛、丙二醛等,以确定EDB是否通过调节P53/GPX4途径抑制铁死亡来发挥神经保护作用。最后,使用P53抑制剂的体外ICH模型进一步证实了研究结果。EDB有可能显著增强ICH大鼠的神经和运动功能,减轻病理损伤,促进血肿清除,并修复血脑屏障损伤。KEGG分析显示,差异表达基因与包括P53和铁死亡在内的信号通路相关。EDB和Fer-1均显著降低了铁、4-羟基壬烯醛、丙二醛的浓度,增加了抗氧化剂的含量,降低了P53的表达,同时上调了GPX4的表达。此外,观察到P53抑制剂PFT-α可显著降低4-HNE和脂质过氧化物水平,同时增加GPX4的表达。本研究揭示了EDB通过调节ICH疾病中的铁死亡发挥关键神经保护作用,为EDB在ICH治疗中的临床应用提供了理论依据。

https://cdn.ncbi.nlm.nih.gov/pmc/blobs/9549/12075699/4d0132a4fe70/41598_2025_99187_Fig1_HTML.jpg

文献AI研究员

20分钟写一篇综述,助力文献阅读效率提升50倍。

立即体验

用中文搜PubMed

大模型驱动的PubMed中文搜索引擎

马上搜索

文档翻译

学术文献翻译模型,支持多种主流文档格式。

立即体验