Suppr超能文献

局部和全身注射脂肪来源间充质干细胞在实验性牙周炎大鼠模型中的治疗潜力:对心脏功能的影响

Therapeutic Potential of Local and Systemic Adipose-Derived Mesenchymal Stem Cell Injections in a Rat Model of Experimental Periodontitis: Implications for Cardiac Function.

作者信息

Elhaieg Asmaa, Farag Ahmed, Koung Ngeun Sai, Kaneda Masahiro, Yokoi Aimi, Mandour Ahmed S, Tanaka Ryou

机构信息

Veterinary Teaching Hospital, Tokyo University of Agriculture and Technology, Tokyo 183-8509, Japan.

Department of Surgery, Anesthesiology, and Radiology, Faculty of Veterinary Medicine, Zagazig University, Zagazig 44519, Egypt.

出版信息

Int J Mol Sci. 2025 Apr 23;26(9):3984. doi: 10.3390/ijms26093984.

Abstract

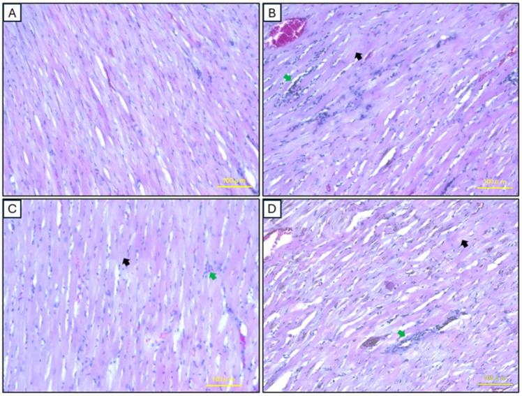
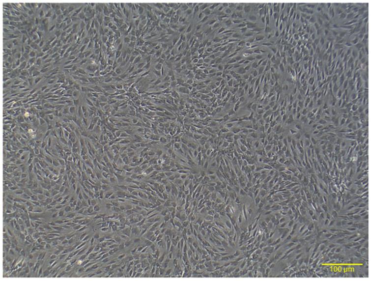
Periodontitis is a common inflammatory disease that not only damages periodontal tissues but also induces systemic effects, including cardiac dysfunction. Mesenchymal stem cells (MSCs) offer regenerative potential due to their ability to differentiate, modulate immune responses, and secrete anti-inflammatory factors. However, the relative efficacy of local versus systemic MSC administration remains unclear. This study evaluated the therapeutic effects of adipose-derived MSCs (AD-MSCs) in a rat model of experimental periodontitis, comparing local and systemic administration. AD-MSCs were characterized based on morphology, surface marker expression, and differentiation potential. Ligature-induced periodontitis was established over 60 days, after which AD-MSCs (1 × 10 cells) were administered either supraperiosteally (local group) or intravenously (systemic group). Periodontal regeneration was assessed through clinical, radiographic, and histopathological analyses, while cardiac function was evaluated using echocardiography and histopathological examinations. Results demonstrated that local AD-MSC administration provided superior therapeutic benefits compared to systemic delivery. Locally administered cells significantly enhanced bone regeneration, reduced inflammation, and improved periodontal tissue architecture. In contrast, systemic administration offered moderate benefits but was less effective in restoring periodontal integrity. Similarly, in the heart, local treatment resulted in greater improvements in systolic function, as indicated by enhanced ejection fraction and fractional shortening, along with reduced myocardial fibrosis. Although systemic administration also provided cardioprotective effects, diastolic dysfunction persisted in both treatment groups. In conclusion, local AD-MSC administration proved more effective in regenerating periodontal tissues and mitigating cardiac dysfunction, highlighting its potential as an optimized therapeutic strategy for periodontitis and its systemic complications.

摘要

牙周炎是一种常见的炎症性疾病,不仅会损害牙周组织,还会引发包括心脏功能障碍在内的全身影响。间充质干细胞(MSCs)因其分化能力、调节免疫反应和分泌抗炎因子的能力而具有再生潜力。然而,局部与全身施用间充质干细胞的相对疗效仍不明确。本研究评估了脂肪来源的间充质干细胞(AD-MSCs)在实验性牙周炎大鼠模型中的治疗效果,比较了局部和全身给药方式。基于形态学、表面标志物表达和分化潜能对AD-MSCs进行了表征。通过结扎诱导牙周炎60天,之后将AD-MSCs(1×10个细胞)经骨膜上给药(局部组)或静脉内给药(全身组)。通过临床、影像学和组织病理学分析评估牙周再生情况,同时使用超声心动图和组织病理学检查评估心脏功能。结果表明,与全身给药相比,局部施用AD-MSCs具有更好的治疗效果。局部给药的细胞显著增强了骨再生,减轻了炎症,并改善了牙周组织结构。相比之下,全身给药有一定益处,但在恢复牙周完整性方面效果较差。同样,在心脏方面,局部治疗导致收缩功能有更大改善,表现为射血分数和缩短分数增加,同时心肌纤维化减少。虽然全身给药也提供了心脏保护作用,但两个治疗组均持续存在舒张功能障碍。总之,局部施用AD-MSCs在牙周组织再生和减轻心脏功能障碍方面被证明更有效,突出了其作为牙周炎及其全身并发症优化治疗策略的潜力。

https://cdn.ncbi.nlm.nih.gov/pmc/blobs/7916/12071214/fbb5171928ad/ijms-26-03984-g001.jpg

文献AI研究员

20分钟写一篇综述,助力文献阅读效率提升50倍。

立即体验

用中文搜PubMed

大模型驱动的PubMed中文搜索引擎

马上搜索

文档翻译

学术文献翻译模型,支持多种主流文档格式。

立即体验