Suppr超能文献

用于子宫内膜癌早期自动分期的多模态磁共振成像图像融合

Multimodal MRI Image Fusion for Early Automatic Staging of Endometrial Cancer.

作者信息

Zheng Ziyu, Liu Ye, Feng Longxiang, Liu Peizhong, Song Haisheng, Wang Lin, Huang Fang

机构信息

Informatization Construction and Management Department, Huaqiao University, Quanzhou 362021, China.

School of Physics and Electronic Engineering, Northwest Normal University, Lanzhou 730070, China.

出版信息

Sensors (Basel). 2025 May 6;25(9):2932. doi: 10.3390/s25092932.

Abstract

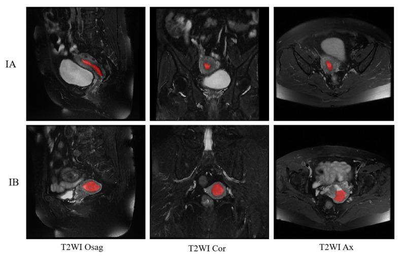
This magnetic resonance imaging multimodal fusion study aims to automate the staging of endometrial cancer using deep learning and to compare the diagnostic performance of deep learning with that of radiologists in the staging of endometrial cancer. This study retrospectively investigated 122 patients with pathologically confirmed early EC from January 1, 2025 to December 31, 2021. Of these patients, 68 were in the International Federation of Gynecology and Obstetrics (FIGO) stage IA, and 54 were in FIGO stage IB. Based on the Swin transformer model and its proprietary SW-MSA (shift window multiple self-coherence) module, magnetic resonance imaging (MRI) images in each of the three planes (sagittal, coronal, and transverse) are cropped, enhanced, and classified, and fusion experiments in the three planes are performed simultaneously. Selecting one plane for the experiment, the accuracy of IA and IB classification was 0.988 in the sagittal, 0.96 in the coronal, and 0.94 in the transverse position, and classification accuracy after the fusion of three planes reached 1. Finally, the automatic classification method based on the Swin transformer has an accuracy of 1, a recall of 1, and a specificity of 1 for early EC classification. In this study, the multimodal fusion approach accurately classified early EC. It was comparable to what a radiologist would perform and simpler and more precise than previous methods that required segmenting followed by staging.

摘要

这项磁共振成像多模态融合研究旨在利用深度学习实现子宫内膜癌分期的自动化,并比较深度学习与放射科医生在子宫内膜癌分期方面的诊断性能。本研究回顾性调查了2021年1月1日至2025年12月31日期间122例经病理证实的早期子宫内膜癌患者。其中,68例为国际妇产科联盟(FIGO)IA期,54例为FIGO IB期。基于Swin变压器模型及其专有的SW-MSA(移位窗口多重自相干)模块,对矢状面、冠状面和横断面三个平面的磁共振成像(MRI)图像进行裁剪、增强和分类,并同时在三个平面上进行融合实验。选择一个平面进行实验,矢状面IA和IB分类的准确率为0.988,冠状面为0.96,横断面为0.94,三个平面融合后的分类准确率达到1。最后,基于Swin变压器的自动分类方法对早期子宫内膜癌分类的准确率为1,召回率为1,特异性为1。在本研究中,多模态融合方法准确地对早期子宫内膜癌进行了分类。它与放射科医生的表现相当,并且比以前需要先分割再分期的方法更简单、更精确。

https://cdn.ncbi.nlm.nih.gov/pmc/blobs/8d71/12074408/39394f554827/sensors-25-02932-g001.jpg

文献AI研究员

20分钟写一篇综述,助力文献阅读效率提升50倍。

立即体验

用中文搜PubMed

大模型驱动的PubMed中文搜索引擎

马上搜索

文档翻译

学术文献翻译模型,支持多种主流文档格式。

立即体验