Suppr超能文献

水仙环素通过诱导未折叠蛋白反应介导的NOXA和MCL1调节来增强顺铂诱导的凋亡细胞死亡。

Narciclasine enhances cisplatin-induced apoptotic cell death by inducing unfolded protein response-mediated regulation of NOXA and MCL1.

作者信息

Lee Ji Hae, Seo Seung Hee, Shim Jaegal, Kim Yong-Nyun, Yoon Kyungsil

机构信息

Cancer Metastasis Branch, Research Institute, National Cancer Center, Goyang, 10408, South Korea.

College of Pharmacy, Graduate School of Pharmaceutical Sciences, Ewha Womans University, Seoul, 03760, South Korea.

出版信息

Cell Mol Biol Lett. 2025 May 14;30(1):59. doi: 10.1186/s11658-025-00735-5.

Abstract

BACKGROUND

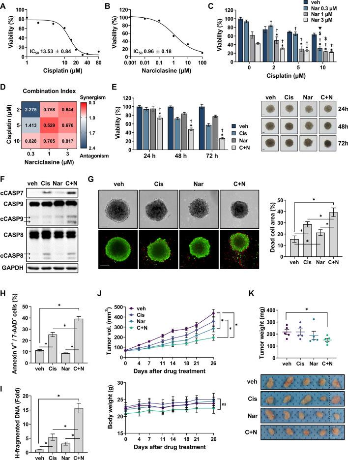
Platinum-based chemotherapy is commonly used to treat non-small cell lung cancer (NSCLC); however, innate and acquired resistance is clinically seen in many patients. Hence, a combinatorial approach with novel therapeutic agents to overcome chemoresistance is a promising option for improving patient outcomes. We investigated the combinational anticancer efficacy of cisplatin and narciclasine in three-dimensional NSCLC tumor spheroids.

METHODS

To assess the efficacy of cisplatin and narciclasine, cell viability assays, live/dead cell staining, cell death enzyme-linked immunosorbent assay (ELISA), western blot analysis for proteins related to apoptosis, and in vivo xenograft experiments were performed. The synergistic effects of cisplatin and narciclasine were elucidated through transcriptomic analysis and subsequent validation of candidate molecules by regulating their expression. To clarify the underlying molecular mechanisms, the activation of unfolded protein responses and kinetics of a candidate protein were assessed.

RESULTS

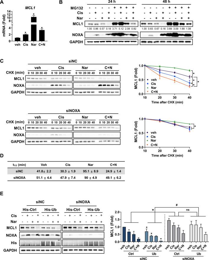
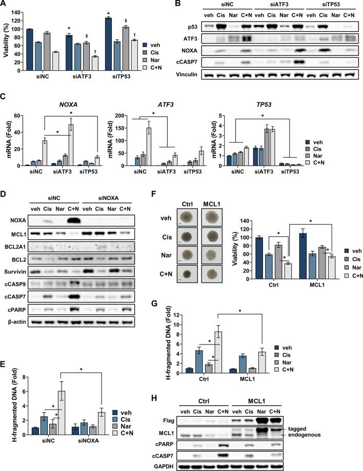
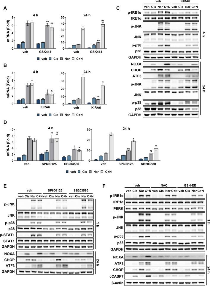
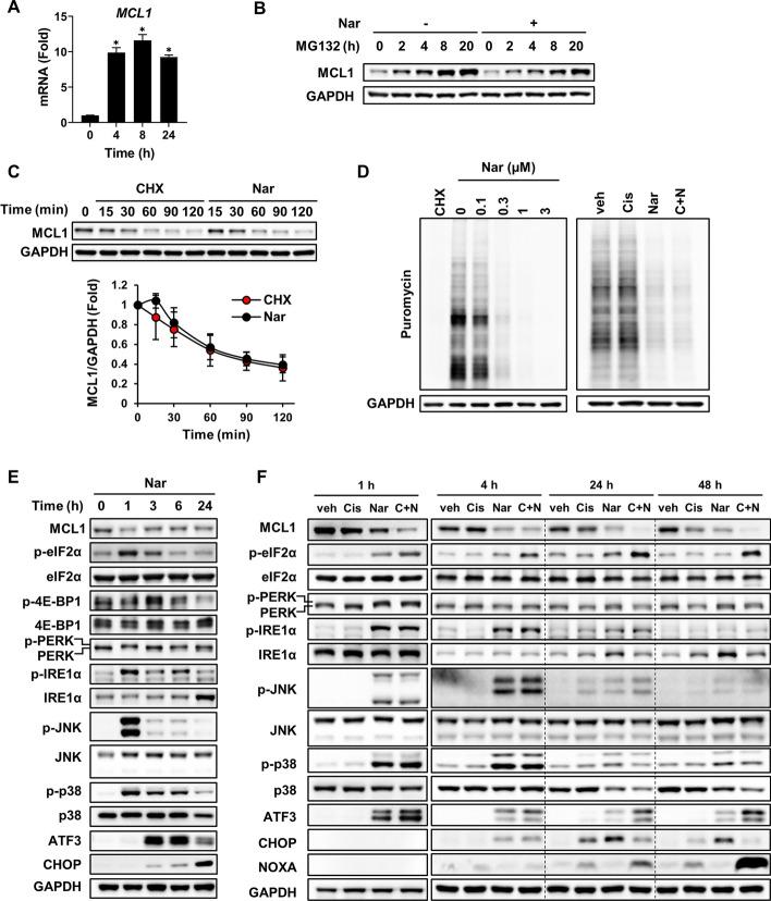
Narciclasine inhibited viability of NSCLC tumor spheroids and augmented the sensitivity of cisplatin-resistant tumor spheroids to cisplatin by inducing apoptosis. After conducting bioinformatic analysis using RNA sequencing data and functional validation experiments, we identified NOXA as a key gene responsible for the enhanced apoptosis observed with the combination of cisplatin and narciclasine. This treatment dramatically increased NOXA while downregulating anti-apoptotic MCL1 levels. Silencing NOXA reversed the enhanced apoptosis and restored MCL1 levels, while MCL1 overexpression protected tumor spheroids from combination treatment-induced apoptosis. Interestingly, narciclasine alone and in combination with cisplatin induced unfolded protein response and inhibited general protein synthesis. Furthermore, the combination treatment increased NOXA expression through the IRE1α-JNK/p38 axis and the activation of p53. Cisplatin alone and in combination with narciclasine destabilized MCL1 via NOXA-mediated proteasomal degradation.

CONCLUSIONS

We identified a natural product, narciclasine, that synergizes with cisplatin. The combination of cisplatin and narciclasine induced NOXA expression, downregulated MCL1, and ultimately induced apoptosis in NSCLC tumor spheroids. Our findings suggest that narciclasine is a potential natural product for combination with cisplatin for treatment of NSCLC.

摘要

背景

铂类化疗常用于治疗非小细胞肺癌(NSCLC);然而,许多患者在临床上出现先天性和获得性耐药。因此,采用新型治疗药物的联合方法来克服化疗耐药是改善患者预后的一个有前景的选择。我们研究了顺铂和水仙环素在三维NSCLC肿瘤球体中的联合抗癌疗效。

方法

为评估顺铂和水仙环素的疗效,进行了细胞活力测定、活/死细胞染色、细胞死亡酶联免疫吸附测定(ELISA)、凋亡相关蛋白的蛋白质印迹分析以及体内异种移植实验。通过转录组分析以及随后通过调节候选分子的表达对其进行验证,阐明了顺铂和水仙环素的协同作用。为阐明潜在的分子机制,评估了未折叠蛋白反应的激活和一种候选蛋白的动力学。

结果

水仙环素抑制NSCLC肿瘤球体的活力,并通过诱导凋亡增强顺铂耐药肿瘤球体对顺铂的敏感性。在使用RNA测序数据进行生物信息学分析和功能验证实验后,我们确定NOXA是顺铂和水仙环素联合使用时观察到的增强凋亡的关键基因。这种治疗显著增加了NOXA,同时下调了抗凋亡蛋白MCL1的水平。沉默NOXA可逆转增强的凋亡并恢复MCL1水平,而MCL1过表达可保护肿瘤球体免受联合治疗诱导的凋亡。有趣的是,单独的水仙环素以及与顺铂联合使用均诱导未折叠蛋白反应并抑制一般蛋白质合成。此外,联合治疗通过IRE1α-JNK/p38轴和p53的激活增加了NOXA的表达。单独的顺铂以及与水仙环素联合使用通过NOXA介导的蛋白酶体降解使MCL1不稳定。

结论

我们鉴定出一种与顺铂协同作用的天然产物水仙环素。顺铂和水仙环素的联合诱导了NOXA的表达,下调了MCL1,并最终在NSCLC肿瘤球体中诱导凋亡。我们的研究结果表明,水仙环素是一种与顺铂联合用于治疗NSCLC的潜在天然产物。

https://cdn.ncbi.nlm.nih.gov/pmc/blobs/1397/12076939/ae00b09911a6/11658_2025_735_Fig1_HTML.jpg

文献AI研究员

20分钟写一篇综述,助力文献阅读效率提升50倍。

立即体验

用中文搜PubMed

大模型驱动的PubMed中文搜索引擎

马上搜索

文档翻译

学术文献翻译模型,支持多种主流文档格式。

立即体验