Suppr超能文献

黏液性囊性肿瘤和单纯性黏液性囊肿是胰腺癌的两种不同前体:临床病理、基因组和转录组特征

Mucinous cystic neoplasms and simple mucinous cysts are two distinct precursors of pancreatic cancer: clinicopathological, genomic, and transcriptomic characterization.

作者信息

Pea Antonio, Bevere Michele, Gkountakos Anastasios, Pasini Davide, Fiorini Denise, Mafficini Andrea, Golovco Stela, Simbolo Michele, Pedron Serena, Sciammarella Concetta, Mattiolo Paola, Mombello Aldo, Villanova Manuela, Franzina Carlotta, Masetto Francesca, Ciulla Calogero, Sperandio Nicola, Fujikura Kohei, Ahadi Masha S, Samra Jaswinder S, Johns Amber L, Verheij Joanne, Stommel Martijn W J, van Santvoort Hjalmar, Schubert Santana Leonor, Malleo Giuseppe, Milella Michele, Brosens Lodewijk A A, Wood Laura D, Chang David K, De Robertis Riccardo, D'Onofrio Mirko, Gill Anthony J, Salvia Roberto, Corbo Vincenzo, Lawlor Rita T, Scarpa Aldo, Luchini Claudio

机构信息

Department of General and Pancreatic Surgery-The Pancreas Institute, Verona University Hospital Trust, Verona, Italy.

ARC-Net Research Center, University of Verona, Verona, Italy.

出版信息

J Pathol. 2025 Aug;266(4-5):421-434. doi: 10.1002/path.6437. Epub 2025 May 15.

Abstract

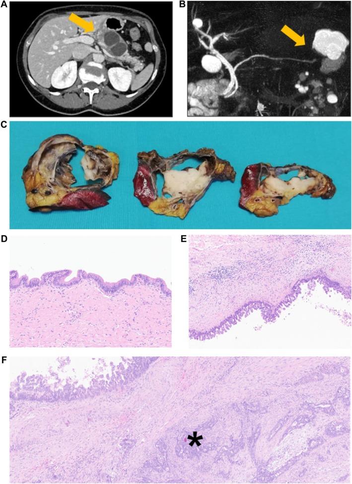
Mucinous cystic neoplasms (MCNs) of the pancreas are macroscopic precursors of pancreatic cancer. A similar cystic lesion but lacking the ovarian-type subepithelial stroma has been recently defined as a simple mucinous cyst (SMC); however, its nature remains unclear. This study aims to define the clinicopathological and molecular profiles of a cohort of MCNs and SMCs of the pancreas and their associated invasive carcinoma. Overall, 23 cases were identified, comprising 19 MCNs and 4 SMCs with co-occurring invasive carcinoma. A multiregional (two samples from each cystic lesion and one from the adenocarcinoma) DNA and RNA sequencing approach was used. The key findings can be summarized as follows: (1) Molecular association: In 22/23 cases (95.7%), the concomitant mucinous cyst and invasive carcinoma shared specific genomic alterations, establishing for the first time that SMC is a true precursor of pancreatic cancer. (2) Clinical behavior: carcinomas arising from SMC appeared to be more aggressive than those arising from MCN. (3) Mutational profile: both cyst types showed significant similarities to conventional pancreatic ductal adenocarcinoma (PDAC), with KRAS and TP53 the most commonly altered genes. (4) Intracystic heterogeneity: while most molecular alterations were present in both analyzed cystic areas, RNF43 showed the highest heterogeneity. (5) CDKN2A: its alterations were predominantly restricted to the invasive component, suggesting a role in driving the invasion in a subset of cases. CNKN2A may also serve as a potential biomarker for identifying high-risk cysts. (6) RNAseq: most cases showed a switch from the classical to the basal transcriptome subtype during the progression from cystic neoplasms to invasive cancers. These findings establish SMCs as new precursors of pancreatic cancer and provide critical insights into the tumorigenesis of MCNs, with potential immediate implications for tumor taxonomy and clinical management. © 2025 The Author(s). The Journal of Pathology published by John Wiley & Sons Ltd on behalf of The Pathological Society of Great Britain and Ireland.

摘要

胰腺黏液性囊性肿瘤(MCNs)是胰腺癌的宏观前体。一种类似的囊性病变,但缺乏卵巢型上皮下间质,最近被定义为单纯黏液性囊肿(SMC);然而,其性质仍不清楚。本研究旨在确定一组胰腺MCNs和SMCs及其相关浸润性癌的临床病理和分子特征。总体而言,共鉴定出23例病例,包括19例MCNs和4例伴有浸润性癌的SMCs。采用多区域(每个囊性病变取两个样本,腺癌取一个样本)DNA和RNA测序方法。主要发现可总结如下:(1)分子关联:在22/23例(95.7%)病例中,伴发的黏液性囊肿和浸润性癌共享特定的基因组改变,首次证实SMC是胰腺癌的真正前体。(2)临床行为:由SMC产生的癌似乎比由MCN产生的癌更具侵袭性。(3)突变谱:两种囊肿类型均与传统胰腺导管腺癌(PDAC)表现出显著相似性,KRAS和TP53是最常发生改变的基因。(4)囊内异质性:虽然大多数分子改变存在于两个分析的囊性区域,但RNF43表现出最高的异质性。(5)CDKN2A:其改变主要局限于浸润成分,提示在部分病例中驱动侵袭的作用。CNKN2A也可能作为识别高危囊肿的潜在生物标志物。(6)RNAseq:大多数病例在从囊性肿瘤进展为浸润性癌的过程中显示出从经典转录组亚型向基底转录组亚型的转变。这些发现将SMCs确立为胰腺癌的新前体,并为MCNs的肿瘤发生提供了关键见解,对肿瘤分类和临床管理具有潜在的直接影响。© 2025作者。《病理学杂志》由约翰·威利父子有限公司代表大不列颠及爱尔兰病理学会出版。

https://cdn.ncbi.nlm.nih.gov/pmc/blobs/5b85/12256392/e38ddeec8d1a/PATH-266-421-g001.jpg

文献AI研究员

20分钟写一篇综述,助力文献阅读效率提升50倍。

立即体验

用中文搜PubMed

大模型驱动的PubMed中文搜索引擎

马上搜索

文档翻译

学术文献翻译模型,支持多种主流文档格式。

立即体验