Suppr超能文献

一种可涂抹的自凝胶止血粉可增强CAR-NK细胞疗法的效果,以预防肝细胞癌切除术后复发。

A spreadable self-gelling hemostatic powder sensitizes CAR-NK cell therapy to prevent hepatocellular carcinoma recurrence postresection.

作者信息

Cheng Yusheng, Gong Yihang, Li Xin, Zeng Fanxin, Liu Bo, Chen Wenjie, Zhang Feng, Chen Haofei, Zhu Weixiong, Li Hui, Zhou Lei, Wu Tiangen, Zhou Wence

机构信息

The Second Clinical Medical School of Lanzhou University, Lanzhou, 730000, China.

Department of General Surgery, Department of Biotherapy, Lanzhou University Second Hospital, Lanzhou, 730000, China.

出版信息

J Nanobiotechnology. 2025 May 16;23(1):353. doi: 10.1186/s12951-025-03424-9.

Abstract

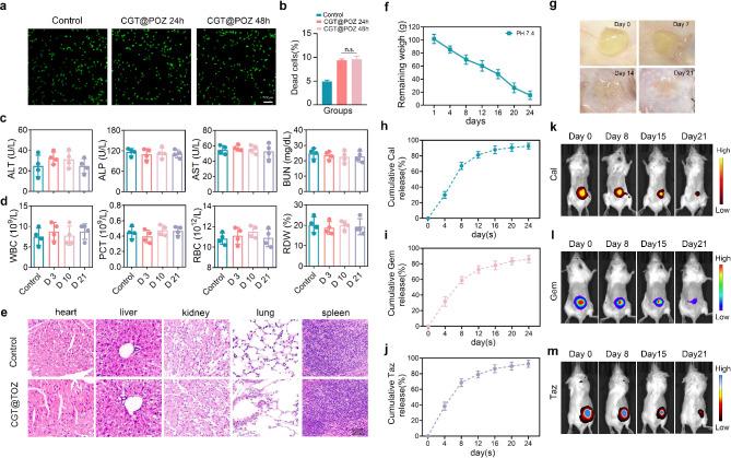
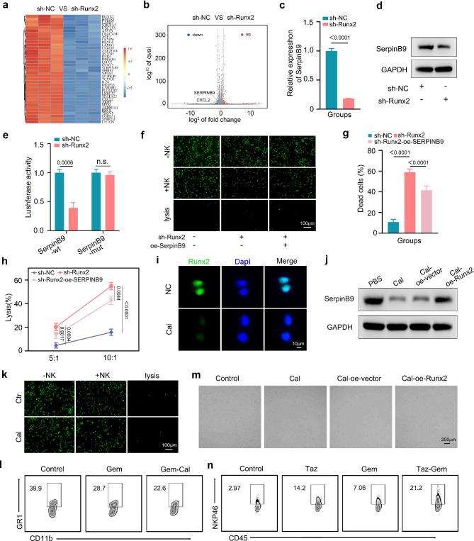
Adoptive natural killer cell therapy (ANKCT) harbors great potential for combating postsurgical hepatocellular carcinoma (HCC) recurrence, but its efficacy is limited by tumor microenvironment (TME)-meditated repression on NK cell function and insufficient NK cell homing to tumor sites. Therefore, herein we develop a nanocomposite sprayable self-gelling powder enabling liver-localized codelivery of three FDA-approved drugs including calcitriol (Cal), gemcitabine (Gem), and tazemetostat (Taz) to address these challenges. This powder can be laparoscopically spread to liver wound sites, where it rapidly absorbs interfacial liquid to form a bulk adhesive pressure-resistant hydrogel in situ, implying its application potential in minimally surgery. Moreover, its application to liver resection bed significantly sensitizes allogenic NK and EpCAM chimeric antigen receptor modified-NK-92 (EpCAM-CAR-NK) cell infusion to prevent HCC recurrence in orthotopic Heap1-6 tumor-bearing and patient-derived tumor xenograft (PDX) HCC murine models. Additionally, this powder can allow for an effective hemostatic effect in rat and porcine models due to its powerful tissue adhesion-seal and erythrocyte-aggregating effects. Altogether, our newly developed hemostatic self-gelling powder can significantly sensitize ANKCT to combat HCC recurrence in a manner compatible with surgical treatment of HCC.

摘要

过继性自然杀伤细胞疗法(ANKCT)在对抗术后肝细胞癌(HCC)复发方面具有巨大潜力,但其疗效受到肿瘤微环境(TME)介导的对NK细胞功能的抑制以及NK细胞归巢至肿瘤部位不足的限制。因此,在本文中,我们开发了一种纳米复合可喷雾自凝胶粉末,能够在肝脏局部共递送三种FDA批准的药物,包括骨化三醇(Cal)、吉西他滨(Gem)和他泽司他(Taz),以应对这些挑战。这种粉末可以通过腹腔镜喷洒到肝脏伤口部位,在那里它迅速吸收界面液体,原位形成一种大容量的粘性耐压水凝胶,这意味着它在微创手术中具有应用潜力。此外,将其应用于肝切除床可显著增强同种异体NK细胞和EpCAM嵌合抗原受体修饰的NK-92(EpCAM-CAR-NK)细胞输注,以预防原位Heap1-6荷瘤和患者来源肿瘤异种移植(PDX)HCC小鼠模型中的HCC复发。此外,由于其强大的组织粘附密封和红细胞聚集作用,这种粉末在大鼠和猪模型中可产生有效的止血效果。总之,我们新开发的止血自凝胶粉末可以以一种与HCC手术治疗兼容的方式显著增强ANKCT对抗HCC复发的能力。

https://cdn.ncbi.nlm.nih.gov/pmc/blobs/4de3/12082949/eb1ecb10d0e6/12951_2025_3424_Figa_HTML.jpg

文献AI研究员

20分钟写一篇综述,助力文献阅读效率提升50倍。

立即体验

用中文搜PubMed

大模型驱动的PubMed中文搜索引擎

马上搜索

文档翻译

学术文献翻译模型,支持多种主流文档格式。

立即体验