Suppr超能文献

急性肝衰竭中的铁死亡:揭示铁调素-铁转运蛋白轴及治疗干预措施

Ferroptosis in acute liver Failure: Unraveling the hepcidin-ferroportin axis and therapeutic interventions.

作者信息

He Jinyong, Du Cong, Li Cuiping, Li Wei, Qiu Jinlan, Ma Mingpeng, Chen Yunhao, Zhang Qi

机构信息

Cell-gene Therapy Translational Medicine Research Center, The Third Affiliated Hospital, Sun Yat-sen University, Guangzhou, Guangdong, China; Biotherapy Center, The Third Affiliated Hospital, Sun Yat-sen University, Guangzhou, Guangdong, China; Guangdong Province Key Laboratory of Liver Disease Research, The Third Affiliated Hospital, Sun Yat-sen University, Guangzhou, Guangdong, China.

Cell-gene Therapy Translational Medicine Research Center, The Third Affiliated Hospital, Sun Yat-sen University, Guangzhou, Guangdong, China; Biotherapy Center, The Third Affiliated Hospital, Sun Yat-sen University, Guangzhou, Guangdong, China; Guangdong Province Key Laboratory of Liver Disease Research, The Third Affiliated Hospital, Sun Yat-sen University, Guangzhou, Guangdong, China.

出版信息

Redox Biol. 2025 Jul;84:103657. doi: 10.1016/j.redox.2025.103657. Epub 2025 May 8.

Abstract

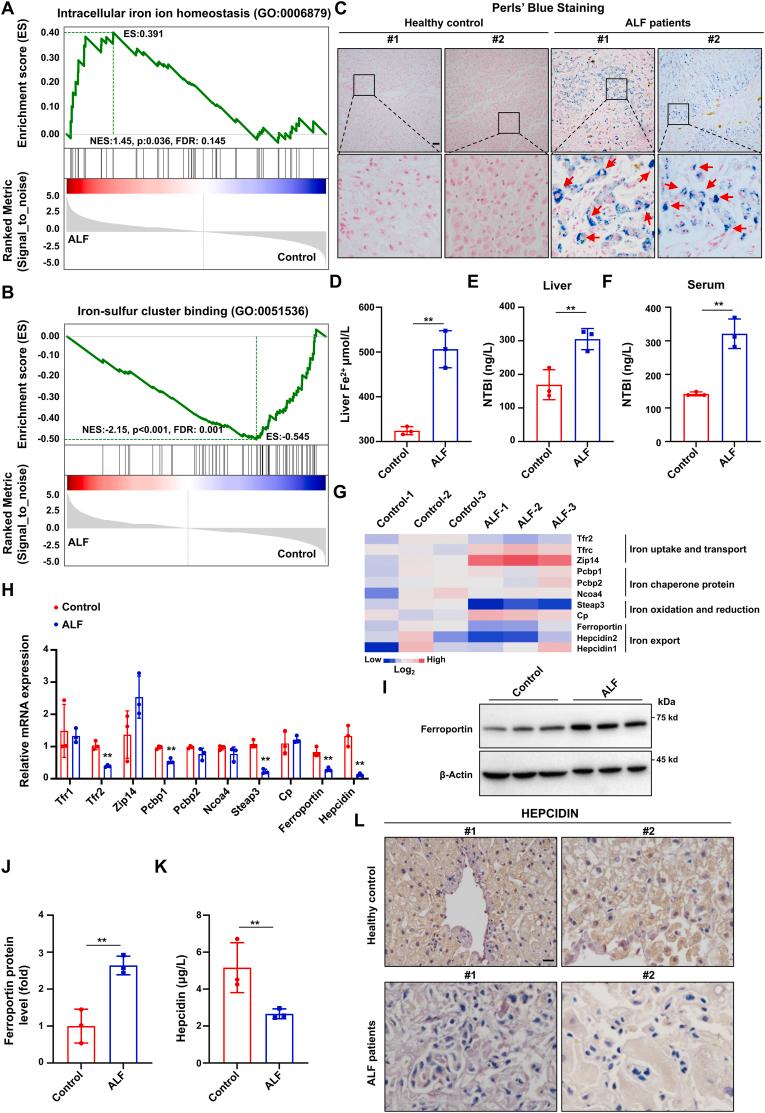
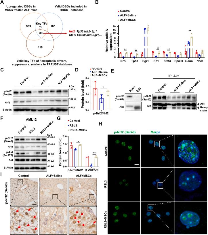
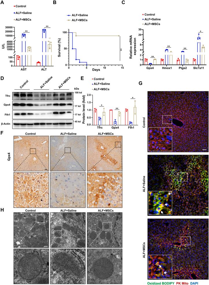
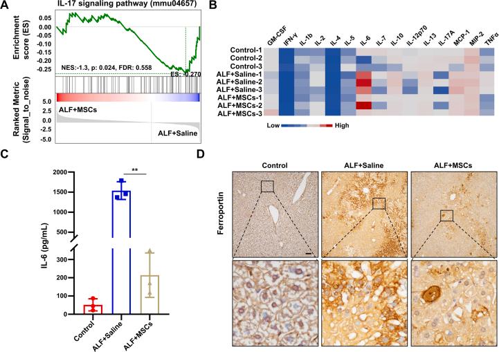
Acute liver failure (ALF) represents a critical clinical syndrome marked by massive hepatocyte death and severe functional deterioration. While metabolic dysregulation is a recognized hallmark, the pathophysiological implications of iron metabolism disturbance in ALF progression remain poorly understood, which may unveil novel therapeutic targets. Using clinical samples and preclinical murine models, we identified ferroptosis as a predominant pathological feature in ALF-affected livers. Notably, pharmacological inhibition of ferroptosis significantly attenuated disease progression in experimental ALF. Mechanistically, dysregulation of the hepcidin-ferroportin (FPN) axis drives hepatic iron overload, precipitating ferroptotic cell death in ALF. The anti-rheumatoid arthritis drug auranofin restored hepcidin-FPN axis homeostasis and mitigated liver injury, though concomitant upregulation of proinflammatory cytokines limited its therapeutic potential. Strikingly, mesenchymal stromal cells (MSCs) demonstrated superior therapeutic efficacy, coordinately modulating the hepcidin-FPN axis while suppressing ferroptosis through PI3K/Akt/Nrf2 pathway activation. Our findings not only establish the causal relationship between hepcidin-FPN axis dysfunction and ferroptosis-driven liver injury, but also propose MSC-based therapy as a multifaceted strategy targeting both iron homeostasis and ferroptosis for ALF management.

摘要

急性肝衰竭(ALF)是一种以大量肝细胞死亡和严重功能恶化为特征的严重临床综合征。虽然代谢失调是公认的标志,但铁代谢紊乱在ALF进展中的病理生理意义仍知之甚少,这可能揭示新的治疗靶点。通过临床样本和临床前小鼠模型,我们确定铁死亡是ALF肝脏中的主要病理特征。值得注意的是,铁死亡的药理学抑制显著减轻了实验性ALF的疾病进展。从机制上讲,铁调素-铁转运蛋白(FPN)轴的失调导致肝脏铁过载,引发ALF中的铁死亡细胞死亡。抗类风湿性关节炎药物金诺芬恢复了铁调素-FPN轴的稳态并减轻了肝损伤,尽管促炎细胞因子的同时上调限制了其治疗潜力。令人惊讶的是,间充质基质细胞(MSC)表现出卓越的治疗效果,协调调节铁调素-FPN轴,同时通过PI3K/Akt/Nrf2途径激活抑制铁死亡。我们的研究结果不仅确立了铁调素-FPN轴功能障碍与铁死亡驱动的肝损伤之间的因果关系,还提出基于MSC的治疗作为一种针对铁稳态和铁死亡的多方面策略来管理ALF。

https://cdn.ncbi.nlm.nih.gov/pmc/blobs/a411/12147902/eacef957539d/ga1.jpg

文献AI研究员

20分钟写一篇综述,助力文献阅读效率提升50倍。

立即体验

用中文搜PubMed

大模型驱动的PubMed中文搜索引擎

马上搜索

文档翻译

学术文献翻译模型,支持多种主流文档格式。

立即体验