Suppr超能文献

肿瘤相关巨噬细胞中的鞘脂合成赋予肝细胞癌免疫治疗抗性。

Sphingolipid synthesis in tumor-associated macrophages confers immunotherapy resistance in hepatocellular carcinoma.

作者信息

Zhang Xiaozhen, Lao Mengyi, Sun Kang, Yang Hanshen, He Lihong, Liu Xinyuan, Liu Linyue, Zhang Sirui, Guo Chengxiang, Wang Sicheng, Shi Jiatao, Zhang Xiaoyu, Xu Daqian, Lu Xiongbin, Bai Xueli, Liang Tingbo

机构信息

Department of Hepatobiliary and Pancreatic Surgery, the First Affiliated Hospital, School of Medicine, Zhejiang University, Hangzhou 310003, Zhejiang, China.

Zhejiang Provincial Key Laboratory of Pancreatic Disease, the First Affiliated Hospital, School of Medicine, Zhejiang University, Hangzhou 310009, Zhejiang, China.

出版信息

Sci Adv. 2025 May 23;11(21):eadv0558. doi: 10.1126/sciadv.adv0558. Epub 2025 May 21.

Abstract

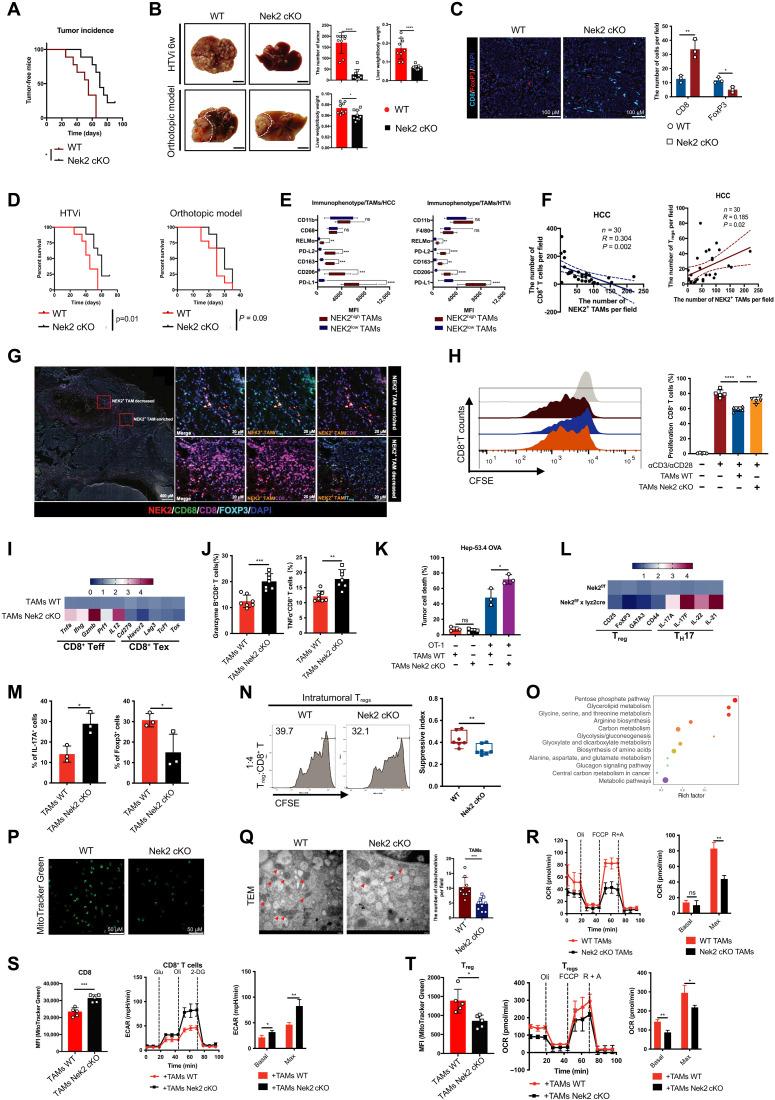
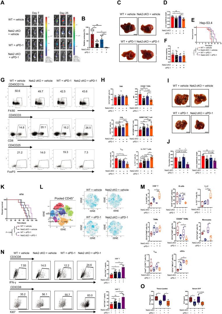
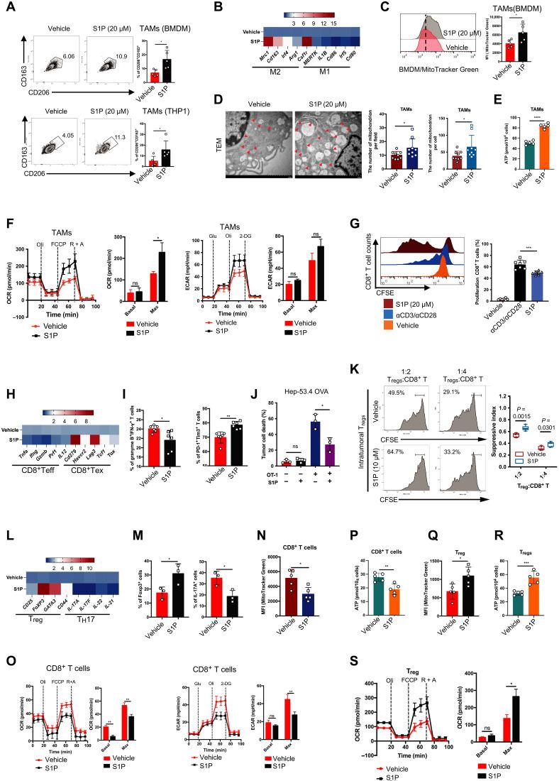
Dysregulated metabolism of immune cells in the tumor microenvironment leads to immune evasion and tumor progression. As a major cell component in the tumor, the metabolic reprogramming of tumor-associated macrophages (TAMs) creates an immunosuppressive microenvironment in hepatocellular carcinoma (HCC). Our study found that sphingolipid (particularly, sphingosine-1-phosphate or S1P) levels are a clinical indicator for prognosis and immunotherapy response in patients with HCC. S1P primarily derived from TAMs, where NIMA-related kinase 2 (NEK2) plays a key role in controlling the activity of serine palmitoyl-CoA transferase, a rate-limiting enzyme in S1P biosynthesis. The S1P produced by NEK2 TAMs promotes hepatic tumor progression and confers immunotherapy resistance. Targeting S1P synthesis with a NEK2 inhibitor or S1P antagonist disrupted the immunosuppressive function of macrophages, shifted regulatory T cells (T) to T17 cells, and increased the number and activity of tumor-infiltrating T effectors, thereby enhancing antitumor efficacy in synergy with immune checkpoint blockade therapy.

摘要

肿瘤微环境中免疫细胞代谢失调会导致免疫逃逸和肿瘤进展。作为肿瘤中的主要细胞成分,肿瘤相关巨噬细胞(TAM)的代谢重编程在肝细胞癌(HCC)中营造了一种免疫抑制微环境。我们的研究发现,鞘脂(特别是1-磷酸鞘氨醇或S1P)水平是HCC患者预后和免疫治疗反应的临床指标。S1P主要来源于TAM,其中NIMA相关激酶2(NEK2)在控制丝氨酸棕榈酰辅酶A转移酶(S1P生物合成中的限速酶)的活性方面起关键作用。NEK2 TAM产生的S1P促进肝肿瘤进展并赋予免疫治疗抗性。用NEK2抑制剂或S1P拮抗剂靶向S1P合成可破坏巨噬细胞的免疫抑制功能,将调节性T细胞(T)转变为T17细胞,并增加肿瘤浸润性T效应细胞的数量和活性,从而与免疫检查点阻断疗法协同增强抗肿瘤疗效。

https://cdn.ncbi.nlm.nih.gov/pmc/blobs/6bc4/12094245/700eff8592e9/sciadv.adv0558-f1.jpg

文献AI研究员

20分钟写一篇综述,助力文献阅读效率提升50倍。

立即体验

用中文搜PubMed

大模型驱动的PubMed中文搜索引擎

马上搜索

文档翻译

学术文献翻译模型,支持多种主流文档格式。

立即体验