Suppr超能文献

噬菌体(鸡尾酒疗法)-抗生素协同作用:应对耐药性的新前沿。

Phage (cocktail)-antibiotic synergism: a new frontier in addressing resistance.

作者信息

Karthika Chandrasekar, Malligarjunan Nambiraman, Hari Prasath Nagaiah, Karutha Pandian Shunmugiah, Gowrishankar Shanmugaraj

机构信息

Department of Biotechnology, Science Campus, Alagappa University, Karaikudi, Tamil Nadu, India.

出版信息

Front Microbiol. 2025 May 7;16:1588472. doi: 10.3389/fmicb.2025.1588472. eCollection 2025.

Abstract

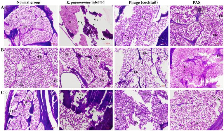
Phages, which play a crucial role in regulating bacterial populations and evolution, have gained renewed attention as potential therapeutic agents especially in the face of rising antimicrobial resistance, such as in - a MDR pathogen with significant clinical implications for immunocompromised individuals. In this milieu, the present investigation aimed at evaluating the therapeutic potential of two lytic phages, KPKp (jumbo phage) and KSKp, as potential candidates for phage treatment. Initial purification and TEM characterization revealed their family as (KPKp) and (KSKp). The one-step growth curve analysis divulged that KPKp and KSKp exhibit burst sizes of ~98 and ~121 and latency periods of 8 and 12 min, respectively. Genomic analysis unveiled linear double-stranded DNA as their genome with sizes 206,819 bp (KPKp) and 167,101 bp (KSKp) lacking virulence or lysogenic genes, signifying their therapeutic suitability. Evaluation of phages as a cocktail demonstrated a substantial improvement in lytic ability, achieving complete (100%) lysis (at MOI 1) of clinical isolates compared to individual phages, achieving 50 and 25% lysis at MOI 1. investigations demonstrated that the phage cocktail significantly decreased both planktonic and sessile cells. Additionally, the phage (cocktail)-antibiotic synergism (PAS) achieves over 90% inhibition of , even at sub-lethal antibiotic doses. PAS treatment significantly prolongs the lifespan of -infected . Compared to cocktail phage therapy, PAS demonstrates a superior reduction in bacterial load. In conclusion, the combination of phages and antibiotic holds potential for addressing clinical challenges associated with MDR infection.

摘要

噬菌体在调节细菌种群和进化方面发挥着关键作用,尤其是面对不断上升的抗菌耐药性时,作为潜在的治疗剂重新受到关注,例如对免疫功能低下个体具有重大临床意义的多重耐药病原体。在此背景下,本研究旨在评估两种裂解性噬菌体KPKp(巨型噬菌体)和KSKp作为噬菌体治疗潜在候选物的治疗潜力。初步纯化和透射电镜表征显示它们分别属于(KPKp)和(KSKp)家族。一步生长曲线分析表明,KPKp和KSKp的裂解量分别约为98和121,潜伏期分别为8分钟和12分钟。基因组分析揭示其基因组为线性双链DNA,大小分别为206,819 bp(KPKp)和167,101 bp(KSKp),缺乏毒力或溶原性基因,表明它们适合用于治疗。将噬菌体作为混合物进行评估表明,其裂解能力有显著提高,与单个噬菌体相比,在感染复数(MOI)为1时可实现临床分离株的完全(100%)裂解,而单个噬菌体在MOI为1时的裂解率分别为50%和25%。研究表明,噬菌体混合物可显著减少浮游细胞和固着细胞。此外,即使在亚致死抗生素剂量下,噬菌体 - 抗生素协同作用(PAS)对[具体细菌名称未给出]的抑制率也超过90%。PAS治疗可显著延长[具体宿主未给出]感染后的存活时间。与噬菌体混合物疗法相比,PAS在降低细菌载量方面表现更优。总之,噬菌体与抗生素的联合使用在应对与多重耐药[具体细菌名称未给出]感染相关的临床挑战方面具有潜力。

https://cdn.ncbi.nlm.nih.gov/pmc/blobs/238e/12092377/841c8d928f7c/fmicb-16-1588472-g001.jpg

文献AI研究员

20分钟写一篇综述,助力文献阅读效率提升50倍。

立即体验

用中文搜PubMed

大模型驱动的PubMed中文搜索引擎

马上搜索

文档翻译

学术文献翻译模型,支持多种主流文档格式。

立即体验