Suppr超能文献

年轻血浆通过调节NLRP3炎性小体和坏死性凋亡逆转年龄相关肝脏炎症的治疗潜力。

Therapeutic potential of young plasma in reversing age-related liver inflammation via modulation of NLRP3 inflammasome and necroptosis.

作者信息

Baba Burcu, Ceylani Taha, Teker Hikmet Taner, Keskin Seda, Genc Aysun Inan, Gurbanov Rafig, Acikgoz Eda

机构信息

Department of Medical Biochemistry, Faculty of Medicine, Yuksek Ihtisas University, Ankara, Turkey.

Department of Molecular Biology and Genetics, Faculty of Science and Literature, Mus Alparslan University, Mus, Turkey.

出版信息

Biogerontology. 2025 May 26;26(3):117. doi: 10.1007/s10522-025-10260-9.

Abstract

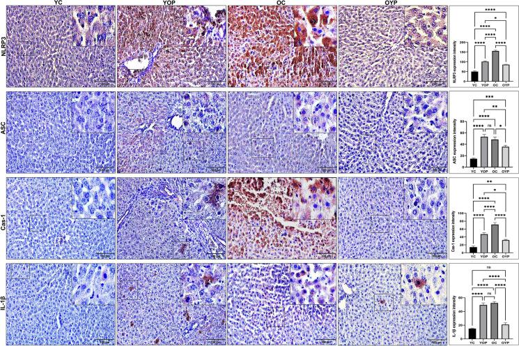
The phenomenon of inflammaging, characterized by an increase in low-grade chronic inflammation, is closely associated with diseases related to liver dysfunction. This study investigated daily plasma exchange between 5-week-old and 24-month-old Sprague Dawley rats for 30 days, focusing on protein secondary structures, NLRP3 inflammasome, and necroptosis. Conformation changes in protein secondary structures were identified by infrared spectroscopy-based pattern recognition analysis. Liver biopsies with histochemical and immunohistochemical staining were used to assess molecules associated with inflammation, necroptosis and NLRP3 inflammasome complex. Expression levels of NLRP3 components were determined by qPCR. Enhanced random coils, 3 helices, β-turns, and loop structures were identified in old rats and young rats with old plasma. Young rats and old rats with young plasma displayed higher α-helices and β-sheet structures. Young rats with old plasma showed increased NLRP3, ASC, caspase-1, IL-1β, and IL-18 mRNA levels, indicating an inflammatory response. Whereas old rats with young plasma exhibited lower inflammation levels. Histological evaluations revealed that young rats receiving aged plasma showed significantly increased levels of NLRP3, ASC, caspase-1, IL-1β, TNF-α, VEGFR2, RIPK1, and MLKL immunoreactivity, whereas decreased immunoreactivity in aged rats receiving young plasma. These findings suggest that young plasma reduces NLRP3 inflammasome activation and necroptosis in aged rats.

摘要

炎症衰老现象的特征是低度慢性炎症增加,与肝功能障碍相关疾病密切相关。本研究对5周龄和24月龄的Sprague Dawley大鼠进行了为期30天的每日血浆置换,重点关注蛋白质二级结构、NLRP3炎性小体和坏死性凋亡。通过基于红外光谱的模式识别分析确定蛋白质二级结构的构象变化。采用组织化学和免疫组织化学染色的肝脏活检来评估与炎症、坏死性凋亡和NLRP3炎性小体复合物相关的分子。通过qPCR测定NLRP3成分的表达水平。在老年大鼠和输注老年血浆的幼年大鼠中发现无规卷曲、α螺旋、β转角和环结构增强。输注年轻血浆的幼年大鼠和老年大鼠表现出更高的α螺旋和β折叠结构。输注老年血浆的幼年大鼠显示NLRP3、ASC、caspase-1、IL-1β和IL-18 mRNA水平升高,表明存在炎症反应。而输注年轻血浆的老年大鼠炎症水平较低。组织学评估显示,接受老年血浆的幼年大鼠NLRP3、ASC、caspase-1、IL-1β、TNF-α、VEGFR2、RIPK1和MLKL免疫反应性显著升高,而接受年轻血浆的老年大鼠免疫反应性降低。这些发现表明,年轻血浆可降低老年大鼠NLRP3炎性小体的激活和坏死性凋亡。

https://cdn.ncbi.nlm.nih.gov/pmc/blobs/295a/12106525/c5bd77ff601e/10522_2025_10260_Fig1_HTML.jpg

文献AI研究员

20分钟写一篇综述,助力文献阅读效率提升50倍。

立即体验

用中文搜PubMed

大模型驱动的PubMed中文搜索引擎

马上搜索

文档翻译

学术文献翻译模型,支持多种主流文档格式。

立即体验