Suppr超能文献

L-精氨酸及其提取物对氟虫腈诱导的大鼠雄性生殖系统干扰的调节作用:抗氧化潜力、雄激素受体与一氧化氮合酶的相互作用

Modulating Effects of L-Arginine and Extract on Fipronil-Induced Interference in the Male Reproductive System of Rats: Antioxidant Potential, Androgen Receptors, and Nitric Oxide Synthase Interplay.

作者信息

Elsayed Doaa H, Bakhashwain Ahmed A, Ahmed Eman A, Al-Abbadi Hatim A, Abdelrazek Heba M A, El-Menyawy Menna Allah I, Teleb Wafaa K, Tawfik Noran M, Helal Ibrahim E, El-Hak Heba N Gad

机构信息

Department of Theriogenology, Faculty of Veterinary Medicine, Suez Canal University, Ismailia 41522, Egypt.

Department of Agriculture, Faculty of Environment Sciences, King Abdulaziz University, Jeddah 80269, Saudi Arabia.

出版信息

Toxics. 2025 May 2;13(5):371. doi: 10.3390/toxics13050371.

Abstract

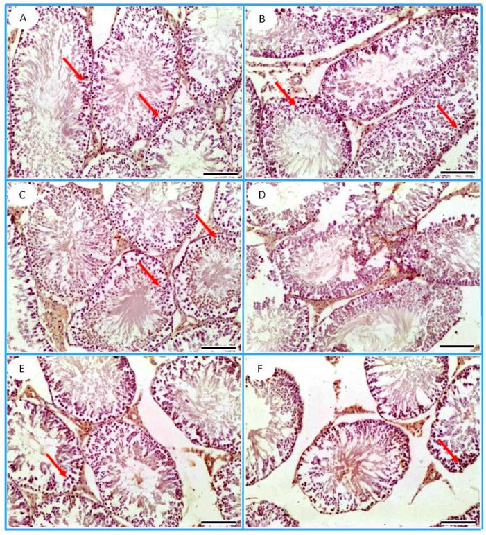
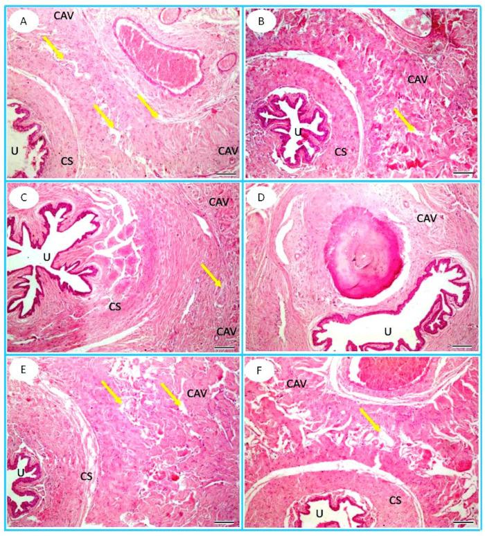
The protective potentials of (TT) and L-arginine (L-Arg) against reproductive toxicity induced by fipronil (FPN) in male rats were investigated. A total of 36 male rats were allocated into six groups: control, TT, L-Arg, FPN, FPN + TT, and FPN + L-Arg groups. The body and sex organ weights, semen criteria, serum testosterone levels, and testicular oxidative stress were determined. Sexual behavior, testicular and penile androgen receptor (AR), penile nitric oxide synthase (NOS), immunohistochemistry of proliferating cell nuclear antigen (PCNA), and histopathology were also assessed. FPN disrupted reproductive health by influencing the expression and activity of NOS and AR, leading to compromised erectile function, sexual dysfunction, and hormonal imbalance. Significant improvements in body weight, reproductive organ weights, the expression of NOS and AR, and testosterone levels were observed in the TT- and L-Arg-treated groups. Behavioral assessments indicated improved sexual performance in the TT- and L-Arg-treated groups. Histopathological studies of the testes and penis tissue, immunohistochemical expression of PCNA in testicular tissues, and biochemical analyses further confirmed the protective effects of TT and L-Arg. Collectively, these findings highlighted the potential of TT and L-Arg in counteracting FPN-induced reproductive impairments.

摘要

研究了番茄红素(TT)和L-精氨酸(L-Arg)对氟虫腈(FPN)诱导的雄性大鼠生殖毒性的保护作用。将36只雄性大鼠分为六组:对照组、TT组、L-Arg组、FPN组、FPN + TT组和FPN + L-Arg组。测定了体重、性器官重量、精液指标、血清睾酮水平和睾丸氧化应激。还评估了性行为、睾丸和阴茎雄激素受体(AR)、阴茎一氧化氮合酶(NOS)、增殖细胞核抗原(PCNA)的免疫组织化学以及组织病理学。FPN通过影响NOS和AR的表达和活性破坏生殖健康,导致勃起功能受损、性功能障碍和激素失衡。在TT和L-Arg处理组中观察到体重、生殖器官重量、NOS和AR的表达以及睾酮水平有显著改善。行为评估表明,TT和L-Arg处理组的性行为表现有所改善。睾丸和阴茎组织的组织病理学研究、睾丸组织中PCNA的免疫组织化学表达以及生化分析进一步证实了TT和L-Arg的保护作用。总体而言,这些发现突出了TT和L-Arg在对抗FPN诱导的生殖损伤方面的潜力。

https://cdn.ncbi.nlm.nih.gov/pmc/blobs/9009/12115952/3643521678a8/toxics-13-00371-g003.jpg

文献AI研究员

20分钟写一篇综述,助力文献阅读效率提升50倍。

立即体验

用中文搜PubMed

大模型驱动的PubMed中文搜索引擎

马上搜索

文档翻译

学术文献翻译模型,支持多种主流文档格式。

立即体验