Suppr超能文献

通过综合生物标志物和组织病理学分析评估聚乙烯微塑料对淡水水蛭(环节动物门,蛭纲)的影响。

Assessing the Effect of Polyethylene Microplastics in the Freshwater Leech (Annelida, Hirudinida) Through Integrated Biomarkers and Histopathological Analysis.

作者信息

Ben Ahmed Raja, Khaled Ichrak, El Ayari Tahani, Saidi Issam, Harrath Abdel Halim

机构信息

Ecology, Biology and Physiology of Aquatic Organisms Laboratory, Department of Biology, Faculty of Sciences of Tunis, University of Tunis El Manar, Tunis 2092, Tunisia.

Laboratory of Biotechnology and Biomonitoring of the Environment and Oasis Ecosystems (LBBEEO), Faculty of Sciences of Gafsa, University of Gafsa, Gafsa 2112, Tunisia.

出版信息

Animals (Basel). 2025 May 14;15(10):1417. doi: 10.3390/ani15101417.

Abstract

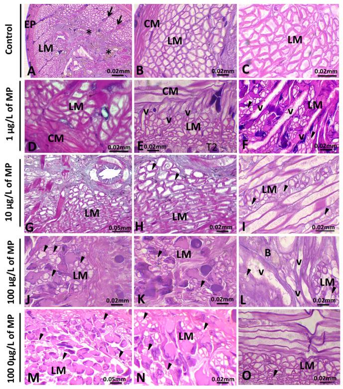
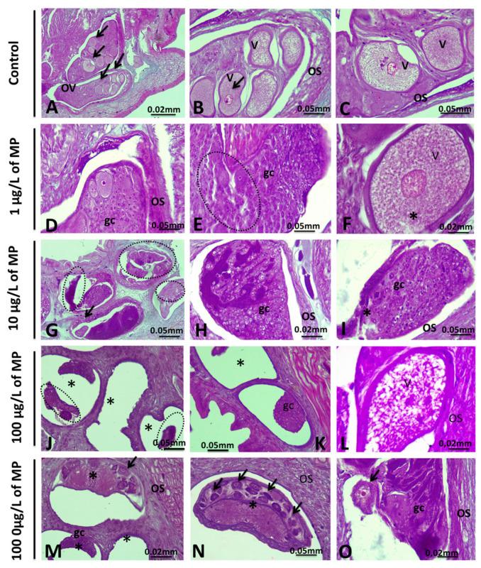
Microplastics (MPs) are contaminants of emerging concern, and the study of their effects on several species, especially freshwater organisms, has not been exhausted. , a freshwater leech, was used as a model in this study for the assessment of the potentially toxic effects of polyethylene microplastics (PE-MPs) 40-48 µm in size under controlled laboratory conditions. PE-MP toxicity was assessed in the examined leech using four increasing concentrations (1, 10, 100, and 1000 µg/L) during an exposure period of 7 days. Oxidative damage was detected through the increase in malondialdehyde (MDA) levels, reflecting the occurrence of lipid peroxidation. The activities of enzymes involved in the antioxidant response, such as catalase (CAT), superoxide dismutase (SOD), and glutathione peroxidase (GPx), increased. Furthermore, the histopathology of the body wall, muscle cells, botryoidal cells, and ovaries was assessed to understand and evaluate the acute toxicity of PE-MPs. The histopathological changes detected in PE-MP-treated leeches varied in a concentration-dependent manner. Overall, this research indicated that even at environmentally relevant concentrations, PE-MPs had biological effects on the studied leeches and, consequently, on the freshwater invertebrate clade. This finding could provide novel insights into the effects of plastic pollution on freshwater ecosystems, particularly on invertebrate health and biodiversity.

摘要

微塑料(MPs)是新出现的受关注污染物,对其对多种物种,尤其是淡水生物影响的研究尚未穷尽。在本研究中,一种淡水水蛭被用作模型,以评估在受控实验室条件下,尺寸为40 - 48微米的聚乙烯微塑料(PE - MPs)的潜在毒性作用。在7天的暴露期内,使用四种递增浓度(1、10、100和1000微克/升)对受试水蛭的PE - MP毒性进行评估。通过丙二醛(MDA)水平的升高检测氧化损伤,这反映了脂质过氧化的发生。参与抗氧化反应的酶,如过氧化氢酶(CAT)、超氧化物歧化酶(SOD)和谷胱甘肽过氧化物酶(GPx)的活性增加。此外,评估了体壁、肌肉细胞、葡萄状细胞和卵巢的组织病理学,以了解和评估PE - MPs的急性毒性。在经PE - MP处理的水蛭中检测到的组织病理学变化呈浓度依赖性变化。总体而言,本研究表明,即使在与环境相关的浓度下,PE - MPs对所研究的水蛭以及因此对淡水无脊椎动物类群都有生物学影响。这一发现可为塑料污染对淡水生态系统的影响,特别是对无脊椎动物健康和生物多样性的影响提供新的见解。

https://cdn.ncbi.nlm.nih.gov/pmc/blobs/e3e7/12108401/486f5f2b1ee2/animals-15-01417-g001.jpg

文献AI研究员

20分钟写一篇综述,助力文献阅读效率提升50倍。

立即体验

用中文搜PubMed

大模型驱动的PubMed中文搜索引擎

马上搜索

文档翻译

学术文献翻译模型,支持多种主流文档格式。

立即体验