Suppr超能文献

利用负载一氧化氮的微泡优化卵母细胞成熟

Optimizing maturation of oocytes with nitric oxide-loaded microbubbles.

作者信息

Qiu Lin, Xu Qi, Lin Yi, Wang Songxue, Zhang Huina, Liu Yi, Zhao Junzhao, Zhao Yingzheng, Xi Haitao

机构信息

Department of Obstetrics and Gynecology, The Second Affiliated Hospital of Wenzhou Medical University, Wenzhou, Zhejiang, China.

School of Pharmaceutical Sciences, Wenzhou Medical University, Wenzhou, Zhejiang, China.

出版信息

Front Cell Dev Biol. 2025 May 13;13:1518226. doi: 10.3389/fcell.2025.1518226. eCollection 2025.

Abstract

INTRODUCTION

Nitric oxide (NO) plays a pivotal role in female reproductive processes, yet its clinical translation is limited by its short half-life and rapid systemic clearance. This study aimed to develop a stabilized NO delivery system to enhance oocyte maturation and quality for potential applications in assisted reproductive technologies (ART).

METHODS

Lipid-based microbubbles (NO-MBs) were constructed via lyophilization to encapsulate and stabilize therapeutic NO gas. The effects of NO-MBs on in vitro oocyte maturation were evaluated using immature mouse oocytes, with conventional NO donors (e.g., SNP) as controls. Oocyte quality was assessed through Ca2+ levels, mitochondrial membrane potential (MMP), and intracellular reactive oxygen species (ROS). studies further examined oocyte retrieval, fertilization rates, and blastocyst cell apoptosis. Mechanistic investigations focused on the ERK signaling pathway.

RESULTS

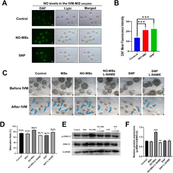
The key parameters of the optimized lipid-based microbubbles for NO gas delivery were as follows: particle concentration (2.23 × 10 MBs/mL) and diameter (0.919 ± 0.807 μm). NO-MBs demonstrated superior biosafety and efficacy compared to conventional NO donors. , NO-MBs significantly increased the maturation rate of immature mouse oocytes (72.00% vs. 57.77% in controls) while improving oocyte quality, as evidenced by elevated Ca2+ levels, enhanced MMP, and reduced ROS. , NO-MBs enhanced oocyte retrieval and fertilization rates and reduced blastocyst cell apoptosis. Mechanistically, NO-MBs uniquely activated phosphorylated ERK, suggesting ERK pathway involvement in oocyte maturation.

DISCUSSION

These findings highlight NO-MBs as a novel, clinically relevant strategy for targeted NO delivery in reproductive medicine. By optimizing NO release and bioavailability, NO-MBs offer a promising approach to improve oocyte quality and developmental outcomes in ART. Further studies are warranted to explore their broader applications in reproductive health.

摘要

引言

一氧化氮(NO)在女性生殖过程中起着关键作用,但其临床应用受到其半衰期短和全身快速清除的限制。本研究旨在开发一种稳定的NO递送系统,以提高卵母细胞成熟度和质量,用于辅助生殖技术(ART)的潜在应用。

方法

通过冻干构建基于脂质的微泡(NO-MBs),以包裹和稳定治疗性NO气体。使用未成熟小鼠卵母细胞评估NO-MBs对体外卵母细胞成熟的影响,以传统NO供体(如SNP)作为对照。通过钙离子水平、线粒体膜电位(MMP)和细胞内活性氧(ROS)评估卵母细胞质量。研究进一步检查了卵母细胞回收、受精率和囊胚细胞凋亡情况。机制研究聚焦于ERK信号通路。

结果

用于NO气体递送的优化脂质微泡的关键参数如下:颗粒浓度(2.23×10个微泡/毫升)和直径(0.919±0.807微米)。与传统NO供体相比,NO-MBs具有更高的生物安全性和疗效。NO-MBs显著提高了未成熟小鼠卵母细胞的成熟率(72.00%对对照组的57.77%),同时改善了卵母细胞质量,表现为钙离子水平升高、MMP增强和ROS减少。此外,NO-MBs提高了卵母细胞回收率和受精率,并减少了囊胚细胞凋亡。从机制上讲,NO-MBs独特地激活了磷酸化ERK,表明ERK通路参与卵母细胞成熟。

讨论

这些发现突出了NO-MBs作为生殖医学中靶向NO递送的一种新型临床相关策略。通过优化NO释放和生物利用度,NO-MBs为提高ART中卵母细胞质量和发育结局提供了一种有前景的方法。有必要进一步研究其在生殖健康中的更广泛应用。

https://cdn.ncbi.nlm.nih.gov/pmc/blobs/6667/12106439/d5d25ca71e7a/fcell-13-1518226-g001.jpg

文献AI研究员

20分钟写一篇综述,助力文献阅读效率提升50倍。

立即体验

用中文搜PubMed

大模型驱动的PubMed中文搜索引擎

马上搜索

文档翻译

学术文献翻译模型,支持多种主流文档格式。

立即体验