Suppr超能文献

发酵黑水虻幼虫作为亚洲沼泽鳗鱼饲料中海洋鱼类的可持续替代品。

Fermented black soldier fly larvae as a sustainable replacement for marine fish in Asian swamp eel diets.

作者信息

Xiang Yifan, Gao Shaoqi, Luo Yanhui, Tang Gaojian, Zou Xiuwei, Xie Kai, Niu Wenjie, Li Xinyi, Xiang Junan, Zhang Ling, Tan Zhu, Zeng Xiaoyu, Wang Bo

机构信息

State Key Laboratory of Animal Nutrition and Feeding, Department of Animal Nutrition and Feed Science, College of Animal Science and Technology, China Agricultural University, Beijing, China.

Hunan Airbluer Environmental Protection Technology Co., Ltd., Hunan Changsha, China.

出版信息

Vet World. 2025 Apr;18(4):1002-1013. doi: 10.14202/vetworld.2025.1002-1013. Epub 2025 Apr 25.

Abstract

BACKGROUND AND AIM

Fermented black soldier fly larvae (BSFL) have emerged as a sustainable and economically viable protein source in aquaculture. However, their potential as a replacement for marine fish in the diets of Asian swamp eels (, ASEs) remains underexplored. This study assessed the effects of partially substituting marine fish with fermented BSFL on ASE growth performance, intestinal development, and hepatic health.

MATERIALS AND METHODS

A total of 480 ASEs were randomly assigned to four dietary groups: control (40% marine fish), BSFL34 (13.4% BSFL), BSFL61 (24.1% BSFL), and BSFL82 (32.8% BSFL), replacing marine fish on a dry matter basis. All diets were isonitrogenous and isoenergetic. Fish were reared in net cages for over 90 days, and parameters including survival rate, growth metrics, muscle and liver histology, intestinal morphology, gene expression (quantitative real-time polymerase chain reaction), and inflammatory protein levels (Western blotting) were assessed.

RESULTS

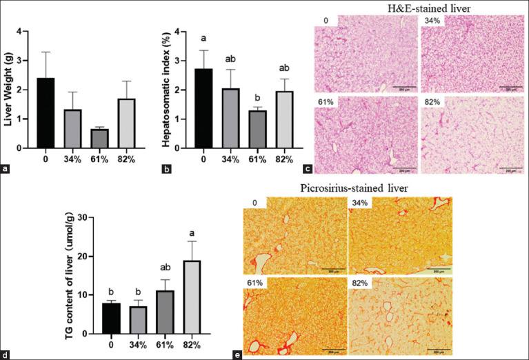
Survival rate was significantly higher in the BSFL61 group (p < 0.05). Growth performance was not impaired across BSFL-fed groups, although BSFL61 showed reduced body weight compared to BSFL82 (p < 0.05). Muscle fiber size, satellite cell number, and muscle triglyceride (TG) content remained unchanged. BSFL82 showed increased hepatic TG accumulation (p < 0.05) and reduced liver fibrosis, while BSFL61 exhibited a significantly lower hepatosomatic index and increased fibrosis. Intestinal villus height was reduced in BSFL34 and BSFL61, while goblet cell density increased in all BSFL groups. Notch1 expression was upregulated in BSFL61 and BSFL82, whereas ctnnb1 and wnt5a were downregulated. Inflammatory markers nuclear factor-kappa B and interleukin-1 beta were elevated in BSFL-fed groups, indicating an activated mucosal immune response.

CONCLUSION

Partial replacement of marine fish with fermented BSFL enhanced ASE survival, modulated intestinal immunity, and improved mucosal barrier function, without compromising overall growth performance. However, excessive inclusion may induce hepatic lipid accumulation and affect intestinal morphology. These findings support the use of fermented BSFL as a sustainable aquafeed ingredient, though inclusion levels should be carefully optimized to balance health benefits and growth efficiency.

摘要

背景与目的

发酵黑水虻幼虫已成为水产养殖中一种可持续且经济可行的蛋白质来源。然而,它们在亚洲沼泽鳗鱼(ASEs)日粮中替代海鱼的潜力仍未得到充分探索。本研究评估了用发酵黑水虻幼虫部分替代海鱼对亚洲沼泽鳗鱼生长性能、肠道发育和肝脏健康的影响。

材料与方法

总共480条亚洲沼泽鳗鱼被随机分配到四个日粮组:对照组(40%海鱼)、BSFL34组(13.4%黑水虻幼虫)、BSFL61组(24.1%黑水虻幼虫)和BSFL82组(32.8%黑水虻幼虫),以干物质为基础替代海鱼。所有日粮均为等氮和等能。鱼在网箱中饲养90多天,评估包括存活率、生长指标、肌肉和肝脏组织学、肠道形态、基因表达(定量实时聚合酶链反应)和炎症蛋白水平(蛋白质免疫印迹法)等参数。

结果

BSFL61组的存活率显著更高(p < 0.05)。尽管与BSFL82组相比,BSFL61组的体重有所降低(p < 0.05),但喂食黑水虻幼虫的各组生长性能均未受损。肌纤维大小、卫星细胞数量和肌肉甘油三酯(TG)含量保持不变。BSFL82组肝脏TG积累增加(p < 0.05)且肝纤维化减轻,而BSFL61组的肝体指数显著降低且纤维化增加。BSFL34组和BSFL61组的肠绒毛高度降低,而所有黑水虻幼虫组的杯状细胞密度增加。BSFL61组和BSFL82组中Notch1表达上调,而ctnnb1和wnt5a表达下调。喂食黑水虻幼虫的各组炎症标志物核因子-κB和白细胞介素-1β升高,表明黏膜免疫反应被激活。

结论

用发酵黑水虻幼虫部分替代海鱼可提高亚洲沼泽鳗鱼的存活率,调节肠道免疫,改善黏膜屏障功能,且不影响总体生长性能。然而,过量添加可能会导致肝脏脂质积累并影响肠道形态。这些发现支持将发酵黑水虻幼虫用作可持续的水产饲料成分,不过应仔细优化添加水平以平衡健康益处和生长效率。

https://cdn.ncbi.nlm.nih.gov/pmc/blobs/3550/12123264/bb62af3a175e/Vetworld-18-1002-g001.jpg

文献AI研究员

20分钟写一篇综述,助力文献阅读效率提升50倍。

立即体验

用中文搜PubMed

大模型驱动的PubMed中文搜索引擎

马上搜索

文档翻译

学术文献翻译模型,支持多种主流文档格式。

立即体验