Suppr超能文献

糖蛋白Ibα依赖性血小板活化对于肿瘤细胞与血小板相互作用及实验性转移至关重要。

Glycoprotein Ibα-Dependent Platelet Activation is Essential for Tumor Cell-Platelet Interaction and Experimental Metastasis.

作者信息

Zhou Kangxi, Li Qing, Xia Yue, Sun Chenglin, Wang Jing, Sun Yueyue, Ge Xinxin, Yang Mengnan, Li Yu, Zhang Sai, Zhao Lili, Liu Chunliang, Shoaib Khan Muhammad, Xiao Weiling, Hu Renping, Dai Kesheng, Yan Rong

机构信息

Jiangsu Institute of Hematology The First Affiliated Hospital of Soochow University, Cyrus Tang Medical Institute Suzhou Medical College, Soochow University, NHC Key Laboratory of Thrombosis and Hemostasis, National Clinical Research Center for Hematological Diseases Suzhou Jiangsu China.

出版信息

MedComm (2020). 2025 Jun 9;6(6):e70217. doi: 10.1002/mco2.70217. eCollection 2025 Jun.

Abstract

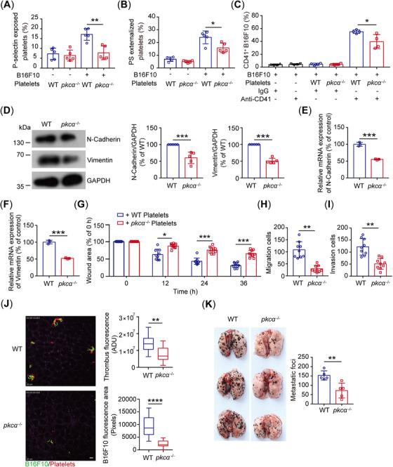
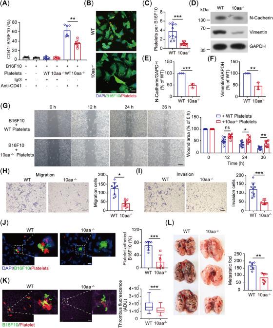
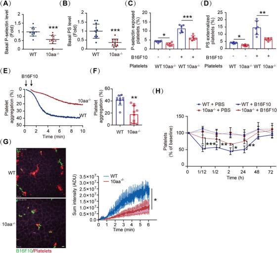
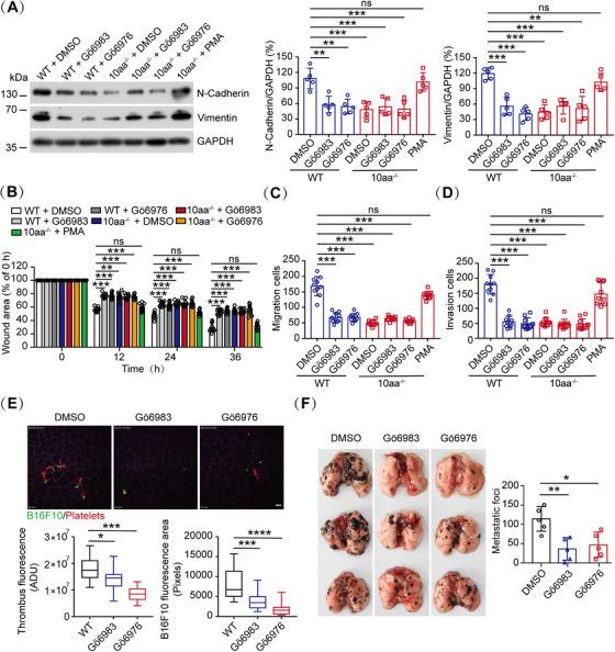
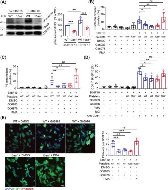
Metastasis is the main cause of cancer-related deaths and the biggest challenge in improving cancer prognosis. Platelet-tumor cell aggregates are a prerequisite for hematogenous metastasis. However, the internal relation and molecular mechanism of platelets and their receptor glycoprotein (GP) Ibα in platelet-tumor cell interaction and metastasis remain elusive. Here, we find that in the absence of the full-length GPIbα or its cytoplasmic tail, platelets maintain a more resting state and exhibit reduced tumor cell-induced platelet activation. The deficiency of the cytoplasmic tail of GPIbα inhibits tumor cell-platelet interaction, platelet-induced tumor cell migration and invasion, and metastasis. Using a state-of-the-art spinning disk intravital microscopy, we observe a rapid accumulation of platelets on tumor cells, forming numerous tumor cell-platelet aggregates in vivo. We also find that the cytoplasmic tail of GPIbα regulates the tumor cell-induced platelet protein kinase C-α (PKCα) activation, and both the pharmacological inhibition and genetic ablation of platelet PKCα attenuate tumor cell-induced platelet activation, tumor cell-platelet interaction, tumor cell migration and invasion, and metastasis. Overall, our findings reveal for the first time that GPIbα promotes experimental metastasis through its cytoplasmic tail-regulated platelet activation, and suggest a potential target to regulate tumor hematogenous metastasis.

摘要

转移是癌症相关死亡的主要原因,也是改善癌症预后的最大挑战。血小板 - 肿瘤细胞聚集体是血行转移的先决条件。然而,血小板及其受体糖蛋白(GP)Ibα在血小板 - 肿瘤细胞相互作用和转移中的内在关系及分子机制仍不清楚。在此,我们发现,在缺乏全长GPIbα或其胞质尾的情况下,血小板维持更静止的状态,并表现出肿瘤细胞诱导的血小板活化降低。GPIbα胞质尾的缺陷抑制肿瘤细胞 - 血小板相互作用、血小板诱导的肿瘤细胞迁移和侵袭以及转移。使用先进的旋转盘活体显微镜,我们观察到血小板在肿瘤细胞上快速积聚,在体内形成大量肿瘤细胞 - 血小板聚集体。我们还发现,GPIbα的胞质尾调节肿瘤细胞诱导的血小板蛋白激酶C-α(PKCα)活化,并且血小板PKCα的药理学抑制和基因敲除均减弱肿瘤细胞诱导的血小板活化、肿瘤细胞 - 血小板相互作用、肿瘤细胞迁移和侵袭以及转移。总体而言,我们的研究结果首次揭示GPIbα通过其胞质尾调节的血小板活化促进实验性转移,并提示了一个调节肿瘤血行转移的潜在靶点。

https://cdn.ncbi.nlm.nih.gov/pmc/blobs/0109/12146664/95246eca7793/MCO2-6-e70217-g003.jpg

文献AI研究员

20分钟写一篇综述,助力文献阅读效率提升50倍。

立即体验

用中文搜PubMed

大模型驱动的PubMed中文搜索引擎

马上搜索

文档翻译

学术文献翻译模型,支持多种主流文档格式。

立即体验