Suppr超能文献

放射性颌骨坏死合并RET融合阳性晚期甲状腺癌患者的成功手术治疗:病例报告

Successful surgical management of a patient with osteoradionecrosis of the jaw with RET fusion-positive advanced thyroid cancer: A case report.

作者信息

Kimura Taku, Sakata Ken-Ichiro, Yoshikawa Kazuhito, Munekata Takeshi, Itagaki Tatsuki, Maeda Taku, Kanayama Junichi, Sato Jun, Yanagawa Matsuda Aya, Kitagawa Yoshimasa

机构信息

Department of Oral Diagnosis and Medicine, Hokkaido University Graduate School of Dental Medicine, Sapporo, Hokkaido 060-8586, Japan.

Department of Plastic and Reconstructive Surgery, Faculty of Medicine and Graduate School of Medicine, Hokkaido University, Sapporo, Hokkaido 060-8638, Japan.

出版信息

Exp Ther Med. 2025 May 29;30(2):148. doi: 10.3892/etm.2025.12898. eCollection 2025 Aug.

Abstract

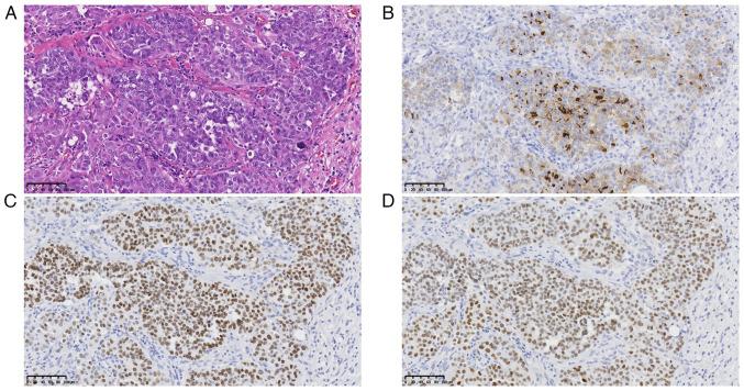
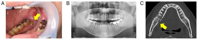
Osteoradionecrosis (ORN) of the jaw is a severe complication of radiotherapy for head and neck cancer. Extensive surgical resection has shown promising outcomes; however, patients' prognosis must be considered. Papillary thyroid carcinoma (PTC) generally has a favorable prognosis, whereas metastatic PTC is considered a refractory disease against conventional treatment. Recently, comprehensive genomic profiling (CGP) has enabled clinicians to provide personalized medicine, offering patients with intractable disease further therapeutic options. The present case study reported on a patient with advanced PTC who developed ORN during lenvatinib treatment; extensive surgical treatment with submandibular dissection for ORN provided a favorable outcome. Pathological examination unexpectedly revealed PTC metastases in the dissected right submandibular gland. Postoperatively, the patient experienced worsening metastases to the lung and liver. CGP identified a CCDC6-RET fusion, prompting selpercatinib treatment, which achieved a partial response. This report aims to emphasize that extensive surgical treatment for ORN should be considered, even in patients with advanced cancer, if the patients' condition is stable. In addition, submandibular dissection is warranted in selected patients, particularly when thyroid cancer exhibits an aggressive phenotype with occult metastases. Furthermore, this report highlights the importance of integrating personalized medicine in the management of advanced cancer cases and emphasizes the availability of genomic profiling to guide treatment decisions.

摘要

颌骨放射性骨坏死(ORN)是头颈部癌放疗的一种严重并发症。广泛的手术切除已显示出有前景的结果;然而,必须考虑患者的预后。甲状腺乳头状癌(PTC)通常预后良好,而转移性PTC被认为是一种对传统治疗难治的疾病。最近,全面基因组分析(CGP)使临床医生能够提供个性化医疗,为患有难治性疾病的患者提供更多治疗选择。本病例研究报告了一名晚期PTC患者,在乐伐替尼治疗期间发生ORN;针对ORN进行的包括下颌下淋巴结清扫的广泛手术治疗取得了良好结果。病理检查意外发现右侧下颌下腺切除标本中有PTC转移灶。术后,患者出现肺和肝转移恶化。CGP检测到CCDC6-RET融合,促使使用塞尔帕替尼治疗,获得了部分缓解。本报告旨在强调,即使是晚期癌症患者,如果病情稳定,也应考虑对ORN进行广泛手术治疗。此外,对于选定的患者,特别是当甲状腺癌表现出具有隐匿性转移的侵袭性表型时,有必要进行下颌下淋巴结清扫。此外,本报告强调了在晚期癌症病例管理中整合个性化医疗的重要性,并强调了基因组分析对指导治疗决策的可用性。

https://cdn.ncbi.nlm.nih.gov/pmc/blobs/41c0/12150676/b8f69e66c172/etm-30-02-12898-g00.jpg

文献AI研究员

20分钟写一篇综述,助力文献阅读效率提升50倍。

立即体验

用中文搜PubMed

大模型驱动的PubMed中文搜索引擎

马上搜索

文档翻译

学术文献翻译模型,支持多种主流文档格式。

立即体验