Suppr超能文献

补充唾液酸类似物通过加剧内质网应激克服三阴性乳腺癌的放疗抗性。

Supplementing sialic acid analogs overcomes radiotherapy resistance in triple-negative breast cancer by exacerbating ER stress.

作者信息

Yang Muwen, Shi Dongni, Lyu Jianbo, Pan Yibing, Lyv Yiyang, Chen Xiangfu, Ouyang Ying, Liu Yajie, Li Yue, Song Libing

机构信息

Department of Radiation Oncology, Shenzhen Key Laboratory of Gastrointestinal Cancer Translational Research, Cancer Institute, Peking University Shenzhen Hospital, Shenzhen Peking University-Hong Kong University of Science & Technology Medical Center, Shenzhen, 518036, China.

Department of Experimental Research, State Key Laboratory of Oncology in South China, Collaborative Innovation Center for Cancer Medicine, Sun Yat-sen University Cancer Center, Guangzhou, 510060, China.

出版信息

Redox Biol. 2025 Jun 7;85:103712. doi: 10.1016/j.redox.2025.103712.

Abstract

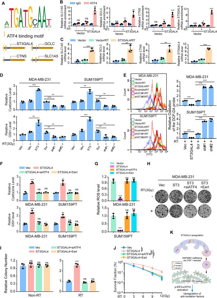
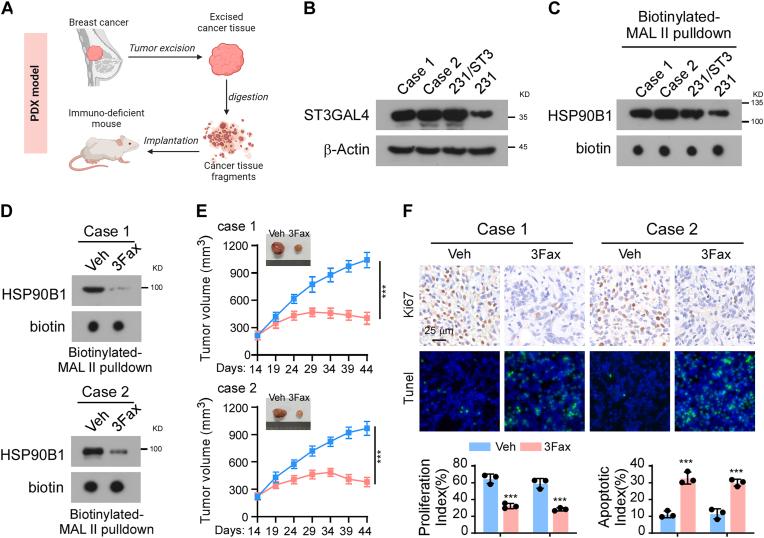
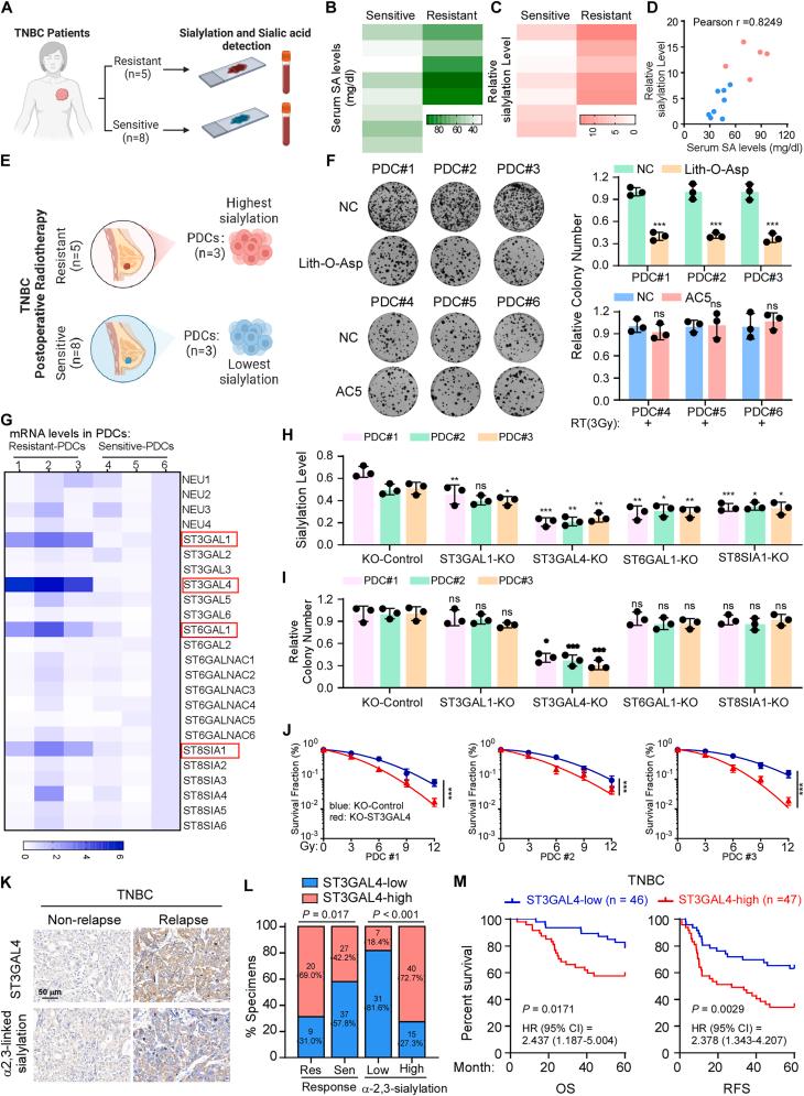
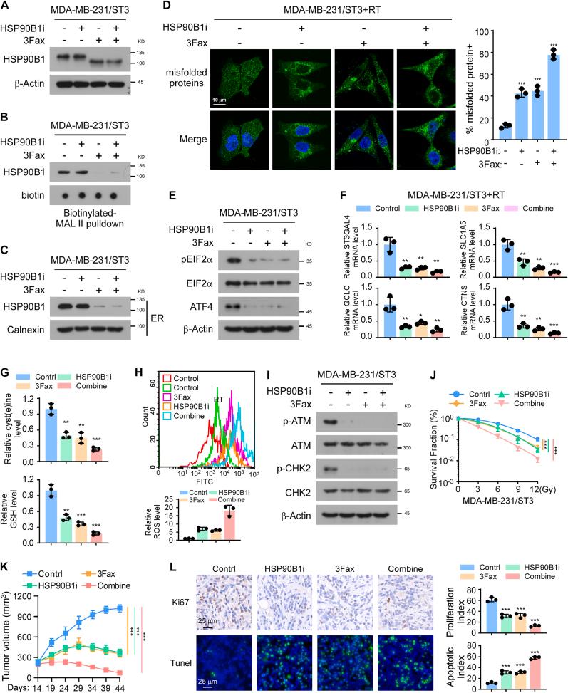
Radiotherapy is a cornerstone treatment for triple-negative breast cancer (TNBC), and its incorporation has significantly delayed tumor recurrence. However, the emergence of radiotherapy resistance remains a major clinical challenge, substantially compromising treatment efficacy. Sialylation play a pivotal role in tumor therapeutic resistance which refers to the covalent linkage of sialic acids at the terminal ends of glycoproteins, a process catalyzed by a family of sialyltransferases. However, the function and mechanisms of sialylation in radiotherapy resistance remain elusive. In this study, upregulation of Galbeta1-4 GlcNAc alpha 2,3 sialyltransferase (ST3GAL4) was observed in association with sialylation in TNBC patients with radiotherapy resistance and predicted poorer survival. ST3GAL4 catalyzed α2,3-sialylation of HSP90B1, then facilitates its retrograde trafficking from the Golgi to ER mediated by SURF4 cargo receptor. ER-localized HSP90B1 accelerates the clearance of radiotherapy-induced misfolded proteins and upregulates the PERK-EIF2α-ATF4 pathway, which further transcriptionally upregulates antioxidant factors, such as SLC1A5, GCLC, and CTNS, to inhibit radiotherapy-induced ROS accumulation, ultimately leading to radiotherapy resistance, and poor clinical outcomes. Most importantly, sialic acid analogs (SAA) 3Fax-NeuAc inhibited the sialylation of HSP90B1 and its transport to the ER, thereby effectively overcomed radiotherapy resistance in TNBC. This study suggests that ST3GAL4 confers radiotherapy resistance through the induction of adaptive ER stress by sialylated HSP90B1, while the application of SAA provides a novel therapeutic option against radioresistance of TNBC.

摘要

放射治疗是三阴性乳腺癌(TNBC)的基石性治疗方法,其应用显著延迟了肿瘤复发。然而,放疗抵抗的出现仍然是一个重大的临床挑战,严重影响了治疗效果。唾液酸化在肿瘤治疗抵抗中起关键作用,它指的是唾液酸在糖蛋白末端的共价连接,这一过程由唾液酸转移酶家族催化。然而,唾液酸化在放疗抵抗中的功能和机制仍不清楚。在本研究中,在放疗抵抗的TNBC患者中观察到β1,4 - N - 乙酰氨基葡萄糖α2,3唾液酸转移酶(ST3GAL4)的上调与唾液酸化相关,并预示着较差的生存率。ST3GAL4催化HSP90B1的α2,3 - 唾液酸化,然后促进其由SURF4货物受体介导从高尔基体逆行转运至内质网(ER)。内质网定位的HSP90B1加速放疗诱导的错误折叠蛋白的清除,并上调PERK - EIF2α - ATF4途径,该途径进一步转录上调抗氧化因子,如SLC1A5、GCLC和CTNS,以抑制放疗诱导的活性氧(ROS)积累,最终导致放疗抵抗和不良临床结果。最重要的是,唾液酸类似物(SAA)3Fax - NeuAc抑制HSP90B1的唾液酸化及其向内质网的转运,从而有效克服TNBC中的放疗抵抗。本研究表明,ST3GAL4通过唾液酸化的HSP90B1诱导适应性内质网应激赋予放疗抵抗,而SAA的应用为对抗TNBC放疗抵抗提供了一种新的治疗选择。

https://cdn.ncbi.nlm.nih.gov/pmc/blobs/e298/12182378/2d77a072fc2c/ga1.jpg

文献AI研究员

20分钟写一篇综述,助力文献阅读效率提升50倍。

立即体验

用中文搜PubMed

大模型驱动的PubMed中文搜索引擎

马上搜索

文档翻译

学术文献翻译模型,支持多种主流文档格式。

立即体验