Suppr超能文献

EZH2抑制和5-氮杂胞苷通过激活病毒模拟反应增强PTEN缺陷型胶质母细胞瘤的抗肿瘤免疫力。

EZH2 inhibition and 5-azacytidine enhance antitumor immunity in PTEN-deficient glioblastoma by activation viral mimicry response.

作者信息

Zhu Dandan, Li Zeying, Feng Huolun, Zheng Jiabin, Xiao Xiao, Huang Zuda, Zheng Liangying, Guo Jieqing, Ling Fa, Li Yong, Xing Fan

机构信息

Guangdong Center for Clinical Laboratory, Guangdong Provincial People's Hospital (Guangdong Academy of Medical Sciences), Southern Medical University, Guangzhou, Guangdong, China.

Department of Endocrinology, Guangdong Provincial People's Hospital (Guangdong Academy of Medical Sciences), Southern Medical University, Guangzhou, Guangdong, China.

出版信息

J Immunother Cancer. 2025 Jun 13;13(6):e011650. doi: 10.1136/jitc-2025-011650.

Abstract

BACKGROUND

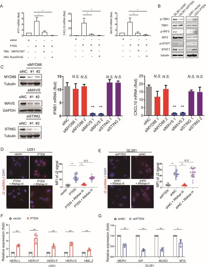
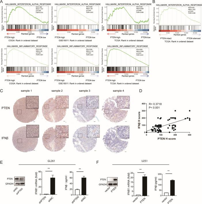
PTEN-deficient glioblastoma (GBM) is characterized by an immunosuppressive tumor microenvironment (TME), therapeutic resistance, and poor prognosis. Emerging evidence suggests that dysregulation of the endogenous retrovirus (ERV)-MAVS-IFN pathway may contribute to immune evasion in cancer, but its role in PTEN-deficient GBM remains unclear.

METHODS

Using flow cytometry and single-cell RNA sequencing, we analyzed the immune landscape of PTEN-deficient GBM. We evaluated the effects of 5-azacytidine (5-AZA) monotherapy and its combination with EZH2 inhibition (EZH2i) on ERV reactivation, type I interferon (IFN) responses, and TME remodeling. Mechanistic studies focused on H3K27me3-mediated epigenetic regulation of ERV expression.

RESULTS

We found that PTEN deficiency suppresses type I IFN responses by impairing viral mimicry through dysregulation of the ERV-MAVS-IFN pathway, thereby sustaining an immunosuppressive TME. While 5-AZA alone failed to reactivate ERVs or overcome therapeutic resistance, combining it with EZH2i synergistically restored robust type I IFN signaling. This combination therapy reduced H3K27me3 levels, promoting ERV transcriptional activation and enhancing 5-AZA-induced viral mimicry. Consequently, the dual treatment reprogrammed the TME to boost antitumor immunity and suppress tumor progression.

CONCLUSIONS

Our study demonstrates that PTEN-deficient GBM evades immune surveillance by suppressing the ERV-MAVS-IFN axis. The combination of EZH2i and 5-AZA overcomes this resistance by epigenetically reactivating viral mimicry, offering a promising therapeutic strategy to enhance antitumor immunity and improve outcomes in patients with PTEN-deficient GBM.

摘要

背景

PTEN 缺失的胶质母细胞瘤(GBM)具有免疫抑制性肿瘤微环境(TME)、治疗抵抗性和预后不良的特征。新出现的证据表明,内源性逆转录病毒(ERV)-MAVS-IFN 通路的失调可能导致癌症中的免疫逃逸,但其在 PTEN 缺失的 GBM 中的作用仍不清楚。

方法

我们使用流式细胞术和单细胞 RNA 测序分析了 PTEN 缺失的 GBM 的免疫格局。我们评估了 5-氮杂胞苷(5-AZA)单药治疗及其与 EZH2 抑制(EZH2i)联合使用对 ERV 重新激活、I 型干扰素(IFN)反应和 TME 重塑的影响。机制研究聚焦于 H3K27me3 介导的 ERV 表达的表观遗传调控。

结果

我们发现 PTEN 缺失通过 ERV-MAVS-IFN 通路失调损害病毒模拟,从而抑制 I 型 IFN 反应,进而维持免疫抑制性 TME。虽然单独使用 5-AZA 未能重新激活 ERV 或克服治疗抵抗,但将其与 EZH2i 联合使用可协同恢复强大的 I 型 IFN 信号。这种联合治疗降低了 H3K27me3 水平,促进了 ERV 的转录激活并增强了 5-AZA 诱导的病毒模拟。因此,双重治疗重新编程了 TME 以增强抗肿瘤免疫力并抑制肿瘤进展。

结论

我们的研究表明,PTEN 缺失的 GBM 通过抑制 ERV-MAVS-IFN 轴逃避免疫监视。EZH2i 和 5-AZA 的联合使用通过表观遗传重新激活病毒模拟克服了这种抵抗,为增强抗肿瘤免疫力和改善 PTEN 缺失的 GBM 患者的预后提供了一种有前景的治疗策略。

https://cdn.ncbi.nlm.nih.gov/pmc/blobs/67af/12164629/3946a60c8e5f/jitc-13-6-g001.jpg

文献AI研究员

20分钟写一篇综述,助力文献阅读效率提升50倍。

立即体验

用中文搜PubMed

大模型驱动的PubMed中文搜索引擎

马上搜索

文档翻译

学术文献翻译模型,支持多种主流文档格式。

立即体验