Suppr超能文献

YTHDF2介导的m⁶A修饰调控mRNA稳定性以调节诱导性牛乳腺炎中的细胞死亡。

YTHDF2-mediated mA modification regulates mRNA stability of to modulate cell death in induced bovine mastitis.

作者信息

Xing Yue, Mi Siyuan, Chen Siqian, Tao Xinyue, Zhang Zihan, Shi Yuanjun, Wang Xingping, Yu Ying

机构信息

State Key Laboratory of Animal Biotech Breeding, National Engineering Laboratory for Animal Breeding, Breeding and Reproduction of Ministry of Agriculture and Rural Affairs, College of Animal Science and Technology, China Agricultural University, Beijing, China.

School of Life Sciences, Westlake University, Hangzhou, Zhejiang, China.

出版信息

Front Cell Infect Microbiol. 2025 May 30;15:1542647. doi: 10.3389/fcimb.2025.1542647. eCollection 2025.

Abstract

BACKGROUND

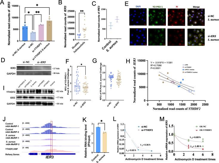
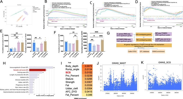
()-induced bovine mastitis is a major challenge for dairy production, causing significant economic losses. The regulatory mechanisms underlying host cell apoptosis and inflammation during infection remain unclear. Therefore, this study investigates the role of N6-methyladenosine (mA) modification and its reader protein YTHDF2 in regulating mRNA stability, apoptosis, and inflammation in bovine mammary epithelial cells (Mac-T cells) under challenge.

METHODS

MeRIP-seq, RIP-seq, and RT-qPCR were used to analyze mA-modified mRNA and its interaction with YTHDF2. Apoptosis, necrosis, and mitochondrial function were assessed using YO-PRO-1/PI staining and JC-1 assays.

RESULTS

infection significantly downregulated expression in Mac-T cells, leading to destabilization of mA-modified mRNA. This resulted in increased reactive oxygen species (ROS) levels, mitochondrial dysfunction, and cell apoptosis. Overexpression of restored mRNA stability, reduced apoptosis, and preserved mitochondrial function.

CONCLUSION

YTHDF2 regulates mA-modified mRNA stability to modulate apoptosis and inflammation during infection. These findings provide new insights into understanding the molecular mechanisms of bovine mastitis and provide genetic markers for breeding mastitis-resistant dairy cows.

摘要

背景

()诱导的牛乳腺炎是奶牛生产中的一个重大挑战,会造成重大经济损失。感染期间宿主细胞凋亡和炎症的调控机制仍不清楚。因此,本研究调查了N6-甲基腺苷(m⁶A)修饰及其阅读蛋白YTHDF2在()挑战下调节牛乳腺上皮细胞(Mac-T细胞)中mRNA稳定性、凋亡和炎症的作用。

方法

采用MeRIP-seq、RIP-seq和RT-qPCR分析m⁶A修饰的mRNA及其与YTHDF2的相互作用。使用YO-PRO-1/PI染色和JC-1检测评估凋亡、坏死和线粒体功能。

结果

()感染显著下调Mac-T细胞中()的表达,导致m⁶A修饰的mRNA不稳定。这导致活性氧(ROS)水平升高、线粒体功能障碍和细胞凋亡。()的过表达恢复了mRNA稳定性,减少了凋亡,并维持了线粒体功能。

结论

YTHDF2调节m⁶A修饰的mRNA稳定性,以调节()感染期间的凋亡和炎症。这些发现为理解牛乳腺炎的分子机制提供了新见解,并为培育抗乳腺炎奶牛提供了遗传标记。

https://cdn.ncbi.nlm.nih.gov/pmc/blobs/c115/12162568/41d285d46b16/fcimb-15-1542647-g001.jpg

文献AI研究员

20分钟写一篇综述,助力文献阅读效率提升50倍。

立即体验

用中文搜PubMed

大模型驱动的PubMed中文搜索引擎

马上搜索

文档翻译

学术文献翻译模型,支持多种主流文档格式。

立即体验