Suppr超能文献

头颈部放疗前后患者牙科治疗的针对性方法。

A Targeted Approach to Dental Treatment for Patients Prior To and After Head and Neck Radiation.

作者信息

Tso Theodore V, Park Sohyun S, Miller Jacob A

机构信息

Head and Neck Institute, Cleveland Clinic, Cleveland, Ohio, USA.

Cleveland Clinic Lerner College of Medicine of Case Western Reserve University School of Medicine, Cleveland, Ohio, USA.

出版信息

Spec Care Dentist. 2025 May-Jun;45(3):e70042. doi: 10.1111/scd.70042.

Abstract

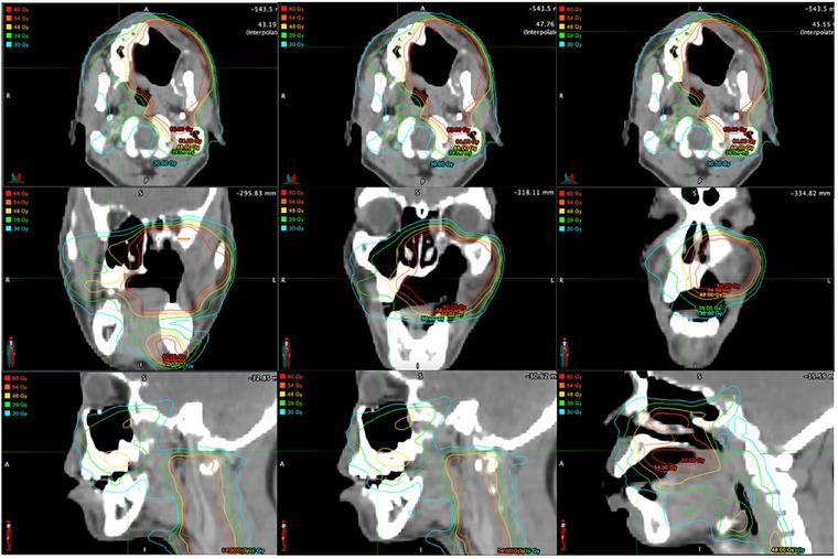
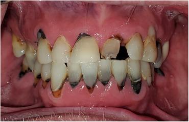
This is a narrative review of contemporary radiotherapy for head and neck cancers, the role of pre-radiation dental clearance, and rationale for a targeted approach to pre-radiation treatment. Emphasis is placed on avoiding delay in the start of radiation. The goals of this article are to facilitate communication between the dentist and radiation oncologist, succinctly summarize current recommendations, and give suggestions on what qualifies as high priority dental care in the pre-radiation setting.

摘要

这是一篇关于当代头颈部癌症放射治疗、放疗前牙齿清理的作用以及放疗前靶向治疗原理的叙述性综述。重点在于避免放疗开始的延迟。本文的目的是促进牙医与放射肿瘤学家之间的沟通,简要总结当前的建议,并就放疗前环境中何种牙科护理属于高度优先事项给出建议。

https://cdn.ncbi.nlm.nih.gov/pmc/blobs/f2e7/12172597/59af5e50d59d/SCD-45-0-g001.jpg

文献AI研究员

20分钟写一篇综述,助力文献阅读效率提升50倍。

立即体验

用中文搜PubMed

大模型驱动的PubMed中文搜索引擎

马上搜索

文档翻译

学术文献翻译模型,支持多种主流文档格式。

立即体验