Suppr超能文献

雪貂和猫对猪德尔塔冠状病毒的易感性:雪貂感染的证据,但猫未感染。

Susceptibility of Ferret and Cat to Porcine Deltacoronavirus: Evidence of Infection in Ferrets But Not Cats.

作者信息

Meng Shuhuai, Liu Renqiang, Zhang Hao, Hu Guangli, Shuai Lei, Guo Huijuan, Dang Yijing, Cao Yongchang, Bu Zhigao, Wen Zhiyuan

机构信息

State Key Laboratory for Animal Disease Control and Prevention, Harbin Veterinary Research Institute, Chinese Academy of Agricultural Sciences, Harbin 150069, Heilongjiang, China.

State Key Laboratory of Biocontrol, School of Life Sciences, Sun Yat-sen University, Guangzhou 510006, Guangdong, China.

出版信息

Transbound Emerg Dis. 2025 Jun 10;2025:9997711. doi: 10.1155/tbed/9997711. eCollection 2025.

Abstract

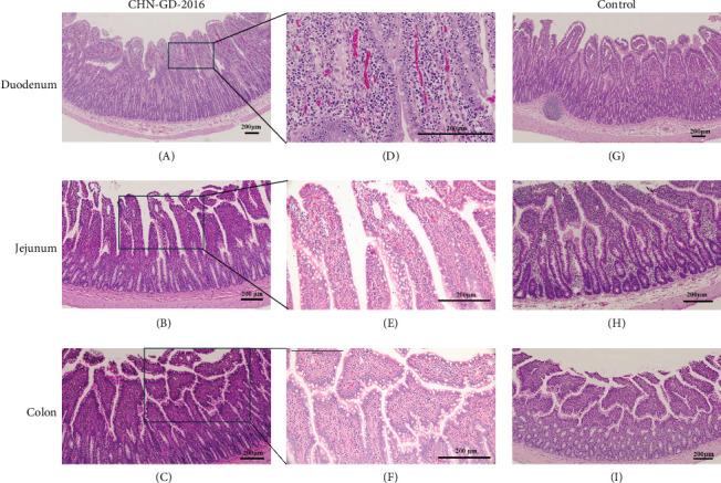
Coronaviruses (CoVs) cause gastrointestinal and respiratory disorders and have a wide host range. Porcine deltacoronavirus (PDCoV) is an enteropathogenic CoV and a member of the (δ-CoV) genus and was discovered in 2012. With a high fatality rate, PDCoV is primarily responsible for severe diarrhea in pigs, especially in newborn piglets, and has been reported worldwide since the first outbreak in 2014. PDCoV is confirmed as a zoonotic virus, and one of the few CoVs currently known to infect both birds and mammals, including humans. Infection studies have demonstrated the susceptibility of mice and calves to PDCoV, but little is known about its transmission in other mammals. Before it was reported in pigs, deltacoronavruses had been reported in ferret badgers and Asian leopard cats in China in 2007. This implies the possibility that wild mustelids and feline species contribute to the virus's spread. In this study, we investigated the susceptibility of ferrets and domestic cats to PDCoV. The results revealed that ferrets can be infected with PDCoV, while cats cannot. In ferrets, viral RNA was detected in the intestines, parenchymal organs, and feces. Histopathological analysis showed no visible lesions in the intestine of infected ferret and cat. Neither infected ferrets nor cats exhibited any clinical signs of diarrhea, but seroconversion occurred in ferrets 14 days post-inoculation (dpi). In brief, ferrets may play a significant role in the interspecies transmission of PDCoV. Our study expands the known host range of PDCoV and provides valuable insights into the interspecies transmission of the virus.

摘要

冠状病毒(CoVs)可引起胃肠道和呼吸道疾病,宿主范围广泛。猪德尔塔冠状病毒(PDCoV)是一种肠道致病性冠状病毒,属于δ冠状病毒属,于2012年被发现。PDCoV致死率高,主要导致猪严重腹泻,尤其是新生仔猪,自2014年首次爆发以来已在全球范围内报道。PDCoV被确认为一种人畜共患病毒,是目前已知的少数能感染鸟类和哺乳动物(包括人类)的冠状病毒之一。感染研究表明小鼠和犊牛对PDCoV易感,但对其在其他哺乳动物中的传播了解甚少。在猪身上报道之前,2007年在中国的鼬獾和豹猫中已报道了德尔塔冠状病毒。这意味着野生鼬科动物和猫科动物可能促成了该病毒的传播。在本研究中,我们调查了雪貂和家猫对PDCoV的易感性。结果显示雪貂可被PDCoV感染,而猫则不会。在雪貂的肠道、实质器官和粪便中检测到病毒RNA。组织病理学分析显示,感染的雪貂和猫的肠道没有可见病变。感染的雪貂和猫均未表现出任何腹泻的临床症状,但接种后14天(dpi)雪貂出现了血清转化。简而言之,雪貂可能在PDCoV的种间传播中发挥重要作用。我们的研究扩展了已知的PDCoV宿主范围,并为该病毒的种间传播提供了有价值的见解。

https://cdn.ncbi.nlm.nih.gov/pmc/blobs/4500/12173537/d2f2b00349f2/TBED2025-9997711.001.jpg

文献AI研究员

20分钟写一篇综述,助力文献阅读效率提升50倍。

立即体验

用中文搜PubMed

大模型驱动的PubMed中文搜索引擎

马上搜索

文档翻译

学术文献翻译模型,支持多种主流文档格式。

立即体验