Suppr超能文献

亚精胺是细胞内寄生虫在宿主红细胞内存活所必需的一种关键多胺。

Spermidine is a key polyamine required by intracellular parasites for survival within host erythrocytes.

作者信息

Singh Pallavi, Choi Jae-Yeon, Cornillot Emmanuel, Mamoun Choukri Ben

机构信息

Department of Internal Medicine, Section of Infectious Diseases, Yale School of Medicine, New Haven, CT, USA.

Institut de Biologie Computationnelle (IBC), and Institut de Recherche en Cancérologie de Montpellier (IRCM - INSERM U1194), Institut régional du Cancer Montpellier (ICM) and Université de Montpellier, Montpellier, France.

出版信息

Sci Adv. 2025 Jun 20;11(25):eadv2397. doi: 10.1126/sciadv.adv2397. Epub 2025 Jun 18.

Abstract

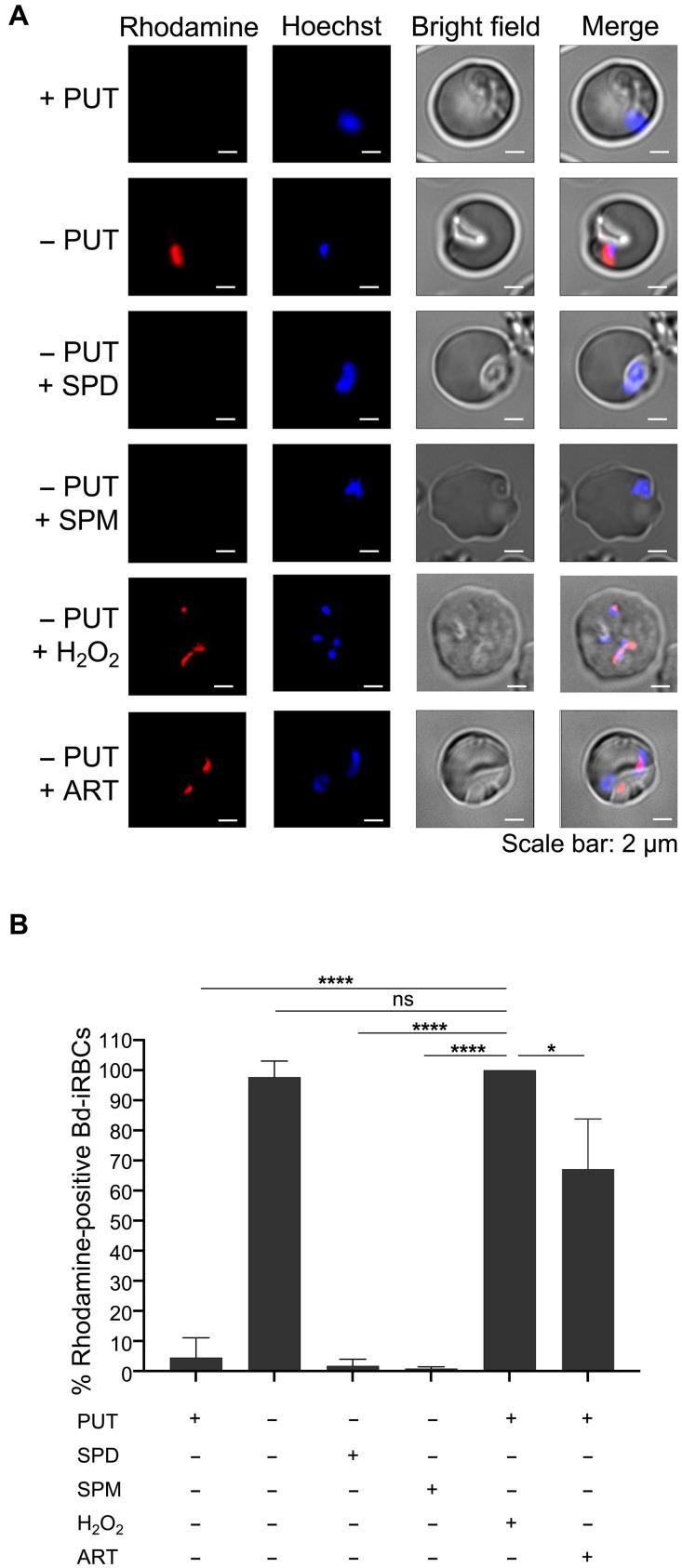
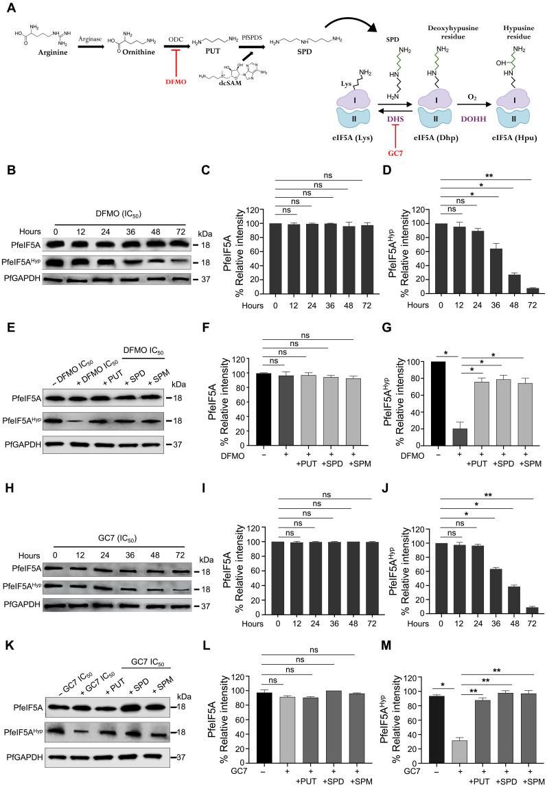
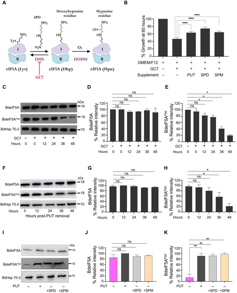
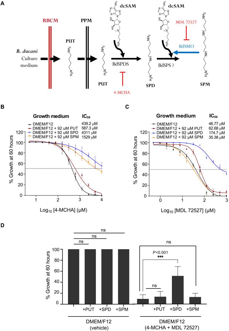
Intracellular parasites, including and , the agents of human babesiosis and malaria, depend on the salvage or de novo synthesis of critical nutrients for survival within human erythrocytes. Among these, polyamines play a pivotal role, but their specific requirements and molecular functions in intraerythrocytic parasites remain poorly understood. We identify spermidine as a key polyamine for and for intraerythrocytic development. We demonstrate that spermidine is indispensable for regulating protein translation through hypusination of the eukaryotic translation initiation factor eIF5A, and its depletion leads to increased production of reactive oxygen species. Disruption of spermidine biosynthesis or its conversion from spermine results in parasite death. We also show that and other species use an ancestral spermidine synthase-like enzyme, highlighting a distinct evolutionary adaptation from . Our results reveal the spermidine's dual role in oxidative stress defense and translation regulation, positioning spermidine biosynthesis as a critical vulnerability and a promising therapeutic target.

摘要

细胞内寄生虫,包括引起人类巴贝斯虫病的巴贝斯虫和引起疟疾的疟原虫,依靠关键营养物质的补救合成或从头合成来在人类红细胞内生存。其中,多胺起着关键作用,但其在红细胞内寄生虫中的具体需求和分子功能仍知之甚少。我们确定亚精胺是疟原虫和巴贝斯虫红细胞内发育的关键多胺。我们证明,亚精胺通过真核翻译起始因子eIF5A的hypusination修饰对调节蛋白质翻译不可或缺,其消耗会导致活性氧的产生增加。亚精胺生物合成的破坏或其从精胺的转化会导致寄生虫死亡。我们还表明,疟原虫和其他疟原虫物种使用一种类似祖先亚精胺合酶的酶,突出了与巴贝斯虫不同的进化适应性。我们的结果揭示了亚精胺在氧化应激防御和翻译调节中的双重作用,将亚精胺生物合成定位为一个关键弱点和一个有前景的治疗靶点。

https://cdn.ncbi.nlm.nih.gov/pmc/blobs/f827/12175890/596ccf7b7331/sciadv.adv2397-f1.jpg

文献AI研究员

20分钟写一篇综述,助力文献阅读效率提升50倍。

立即体验

用中文搜PubMed

大模型驱动的PubMed中文搜索引擎

马上搜索

文档翻译

学术文献翻译模型,支持多种主流文档格式。

立即体验