Suppr超能文献

揭示维格列汀和利格列汀通过1型糖尿病大鼠的NLRP3炎症途径抑制肺损伤中细胞焦亡的机制。

Unravelling the mechanism by which vildagliptin and linagliptin inhibit pyroptosis in lung injury through the NLRP3 inflammatory pathway in type 1 diabetic rats.

作者信息

Sedik Ahmed A, Esmat Nesma, Khalil Wagdy K B, El-Mosallamy Aliaa

机构信息

Pharmacology Department, Medical Research and Clinical Studies Institute, National Research Centre, El- Buhouth St., Dokki, Cairo, 12622, Egypt.

Department of Cell Biology, Biotechnology Research Institute, National Research Centre, El- Buhouth St., Dokki, Cairo, 12622, Egypt.

出版信息

Sci Rep. 2025 Jun 25;15(1):20292. doi: 10.1038/s41598-025-07204-1.

Abstract

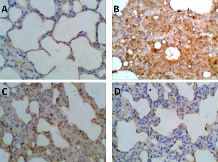
Diabetes mellitus (DM) represents a multifactorial condition linked to hyperglycemia, which, can lead to damage across multiple organs, including the lungs. Nod-like receptor protein-3 (NLRP3)- mediated pyroptosis could contribute to the onset of DM consequences. Several approaches have been established aimed to minimizing the complications associated with DM. Among these, linagliptin and vildagliptin, di-peptidyl peptidase-4 (DPP-4) inhibitors, are known to exert not only antihyperglycemic effects but also additional beneficial biological activities. The current study investigated the impact of linagliptin and vildagliptin on pulmonary function, oxidative stress, and NLRP3-induced pyroptosis in rats. Thirty-two male Sprague Dawley rats were given a 7-day acclimatization period. A single intraperitoneal injection of freshly produced STZ (60 mg/kg) was utilized to develop DM type-1 in rats. Following STZ treatment, all rats were given a 5% glucose solution overnight. Blood glucose levels were monitored in overnight fasted rats 72 h later, with a threshold of 250 mg/dL or higher confirming the onset of DM. The diabetic rats were randomly allocated to treated daily with either vildagliptin (5 mg/kg/p.o.) or linagliptin (5 mg/kg/p.o.) for 30 days. Additionally, the typical control group received merely the vehicle. The findings revealed that vildagliptin improves pulmonary dysfunctions associated with DM by restoring glucose homeostasis, insulin, redox marker levels, and inflammatory indices. Additionally, the NLRP3-pyroptosis-mediated IL-1β was suppressed. Vildagliptin has been shown to mitigate the detrimental effects of diabetes mellitus (DM) on the lungs, as evidenced by a reduction in pathological lung alterations and a decrease in Caspase 3 expression, which is indicative of immunohistochemical changes. In conclusion, pyroptosis triggered by the NLRP3 inflammasome possibly exacerbate diabetic pulmonary injury in rats. Vildagliptin is superior to linagliptin in ameliorating diabetes-induced lung injury primarily via targeting the NLRP3 inflammasome pathway.

摘要

糖尿病(DM)是一种与高血糖相关的多因素疾病,高血糖会导致包括肺在内的多个器官受损。NOD样受体蛋白3(NLRP3)介导的细胞焦亡可能促使糖尿病并发症的发生。已经建立了几种方法来尽量减少与糖尿病相关的并发症。其中,利格列汀和维格列汀这两种二肽基肽酶-4(DPP-4)抑制剂不仅具有降血糖作用,还具有其他有益的生物学活性。本研究调查了利格列汀和维格列汀对大鼠肺功能、氧化应激和NLRP3诱导的细胞焦亡的影响。32只雄性Sprague Dawley大鼠进行了7天的适应性饲养。通过单次腹腔注射新鲜制备的链脲佐菌素(STZ,60 mg/kg)诱导大鼠发生1型糖尿病。STZ处理后,所有大鼠过夜给予5%葡萄糖溶液。72小时后,对过夜禁食的大鼠监测血糖水平,血糖阈值达到250 mg/dL或更高则确认糖尿病发病。将糖尿病大鼠随机分为两组,分别每日口服维格列汀(5 mg/kg)或利格列汀(5 mg/kg),持续30天。此外,典型对照组仅给予赋形剂。结果显示,维格列汀通过恢复葡萄糖稳态、胰岛素、氧化还原标志物水平和炎症指标,改善了与糖尿病相关的肺功能障碍。此外,NLRP3细胞焦亡介导的白细胞介素-1β也受到抑制。维格列汀已被证明可减轻糖尿病(DM)对肺的有害影响,病理肺改变的减少和半胱天冬酶3表达的降低证明了这一点,这表明存在免疫组化变化。总之,NLRP3炎性小体引发的细胞焦亡可能会加重大鼠糖尿病性肺损伤。维格列汀在改善糖尿病诱导的肺损伤方面优于利格列汀,主要是通过靶向NLRP3炎性小体途径。

https://cdn.ncbi.nlm.nih.gov/pmc/blobs/5b15/12198402/f99513b9474a/41598_2025_7204_Fig1_HTML.jpg

文献AI研究员

20分钟写一篇综述,助力文献阅读效率提升50倍。

立即体验

用中文搜PubMed

大模型驱动的PubMed中文搜索引擎

马上搜索

文档翻译

学术文献翻译模型,支持多种主流文档格式。

立即体验