Suppr超能文献

COTE1通过靶向WWP1激活来调节AMPKα2去泛素化,从而促进小细胞肺癌的增殖和自噬。

COTE1 Regulates AMPKα2 Deubiquitination by Targeting WWP1 Activation to Promote Proliferation and Autophagy in Small Cell Lung Cancer.

作者信息

Ma Yuhui, Song Bin, Guo Hongxia, Chen Ying, Cao Caihong, Hao Yuchen, Zheng Yanmin, Li Xu

机构信息

Department of Cancer Center, Shanxi Bethune Hospital, Shanxi Academy of Medical Sciences, Tongji Shanxi Hospital, Third Hospital of Shanxi Medical University, Taiyuan, P. R. China.

Department of Thoracic Surgery, Shanxi Bethune Hospital, Shanxi Academy of Medical Sciences, Tongji Shanxi Hospital, Third Hospital of Shanxi Medical University, Taiyuan, P. R. China.

出版信息

J Biochem Mol Toxicol. 2025 Jul;39(7):e70342. doi: 10.1002/jbt.70342.

Abstract

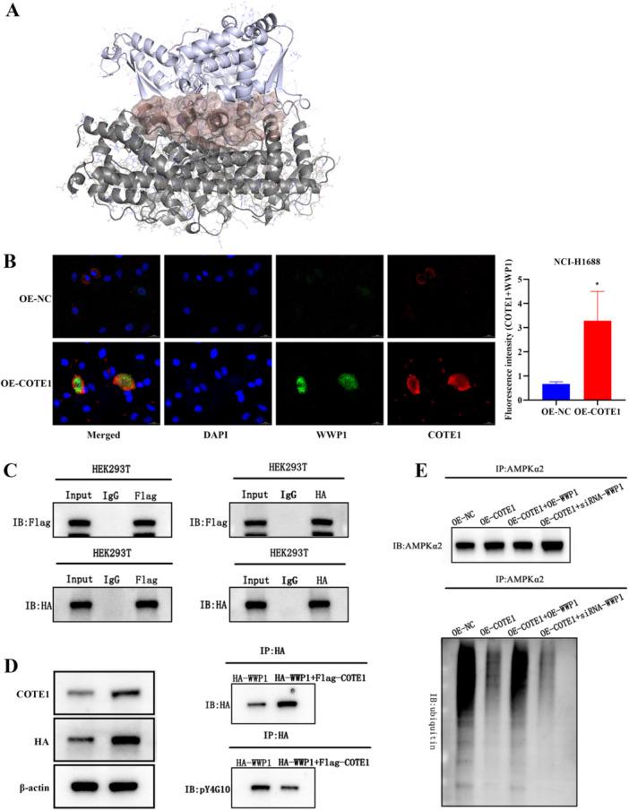
COTE1 expression is significantly upregulated in small cell lung cancer (SCLC) tissues compared to normal lung tissues and promotes SCLC cell proliferation and migration. However, the mechanism by which COTE1 promotes these behaviors in SCLC is unclear. This study aimed to explore the role and mechanism of COTE1 in promoting the progression of SCLC and to identify potential targets for the clinical treatment of SCLC. The cells were transfected with the COTE1 overexpression plasmid or WWP1 overexpression plasmid (WT, MUT), etc., and the expression of AMPKα2 was detected via qRT-PCR and western blotting. Double immunofluorescence staining was used to observe the colocalization of COTE1 and WWP1, and protein interactions between COTE1 and WWP1 were analyzed via Co-IP. CCK-8, cell colony formation, scratch wound healing, and Transwell assays were used to assess cell proliferation, migration, and invasion. Transmission electron microscopy was used to observe cell autophagy, and western blotting was used to analyze the expression of the autophagy-related proteins AMPKα2 and p-ULK1 (Ser555). A mouse model was used to verify the effects of COTE1 on SCLC tumor growth and autophagy. We found via cell-based and In Vivo experiments that COTE1 binds to WWP1 and that high expression of COTE1 alters WWP1 expression, which in turn mediates AMPKα2 deubiquitination and promotes SCLC cell proliferation, migration, tumorigenicity, and autophagy. The overexpression of WWP1 (MUT) reversed the above effects of COTE1 on SCLC cells. In conclusion, COTE1 regulates AMPKα2 deubiquitination by targeting WWP1 activation to promote the proliferation and autophagy of SCLC cells.

摘要

与正常肺组织相比,COTE1在小细胞肺癌(SCLC)组织中的表达显著上调,并促进SCLC细胞的增殖和迁移。然而,COTE1在SCLC中促进这些行为的机制尚不清楚。本研究旨在探讨COTE1在促进SCLC进展中的作用和机制,并确定SCLC临床治疗的潜在靶点。将细胞用COTE1过表达质粒或WWP1过表达质粒(野生型、突变型)等进行转染,通过qRT-PCR和蛋白质印迹法检测AMPKα2的表达。采用双重免疫荧光染色观察COTE1和WWP1的共定位,并通过免疫共沉淀分析COTE1和WWP1之间的蛋白质相互作用。采用CCK-8、细胞集落形成、划痕伤口愈合和Transwell实验评估细胞增殖、迁移和侵袭。采用透射电子显微镜观察细胞自噬,并通过蛋白质印迹法分析自噬相关蛋白AMPKα2和p-ULK1(Ser555)的表达。使用小鼠模型验证COTE1对SCLC肿瘤生长和自噬的影响。我们通过基于细胞的实验和体内实验发现,COTE1与WWP1结合,COTE1的高表达改变了WWP1的表达,进而介导AMPKα2去泛素化,并促进SCLC细胞增殖、迁移、致瘤性和自噬。WWP1(突变型)的过表达逆转了COTE1对SCLC细胞的上述作用。总之,COTE1通过靶向激活WWP1调节AMPKα2去泛素化,从而促进SCLC细胞的增殖和自噬。

https://cdn.ncbi.nlm.nih.gov/pmc/blobs/1a86/12199221/2bc8adaf679e/JBT-39-e70342-g005.jpg

文献AI研究员

20分钟写一篇综述,助力文献阅读效率提升50倍。

立即体验

用中文搜PubMed

大模型驱动的PubMed中文搜索引擎

马上搜索

文档翻译

学术文献翻译模型,支持多种主流文档格式。

立即体验