Suppr超能文献

促纤维增生性反应、肿瘤芽生及肿瘤浸润淋巴细胞在食管鳞状细胞癌中的预后意义

The prognostic significance of desmoplastic reaction, tumor budding and tumor-infiltrating lymphocytes in esophageal squamous cell carcinomas.

作者信息

Gunizi Ozlem Ceren, Altunay Busra, Turgut Selin Didar, Elpek Gulsum Ozlem

机构信息

Department of Pathology, Akdeniz University Medical School, Antalya, Turkey.

出版信息

BMC Gastroenterol. 2025 Jul 1;25(1):476. doi: 10.1186/s12876-025-03984-y.

Abstract

BACKGROUND

Recent research has demonstrated the importance of the tumor microenvironment (TME) in the behavior of solid tumors. Numerous discoveries suggest that tumor progression in a variety of malignancies, including those of the gastrointestinal tract, may be predicted by pathological evaluation of the desmoplastic reaction (DR), tumor budding (TB) and tumor-infiltrating lymphocytes (TIL). While some studies have demonstrated the prognostic impact of TIL in patients with squamous cell carcinoma of the esophagus (ESCC), the data have not reached agreement. Furthermore, few studies have investigated the relationship of DR and TB with disease progression. The relationships between DR, TB and TIL in these tumors remain to be investigated. Therefore, this study was undertaken to explore the relationships between DR, TB and TIL and histopathological parameters related to tumor behavior and assess their prognostic role in predicting survival in patients with ESCC.

METHODS

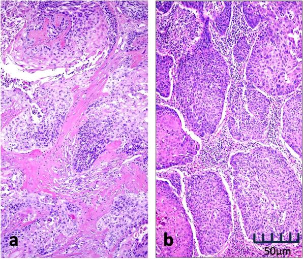
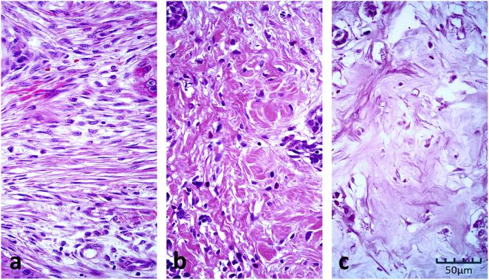
The retrospective case series included 98 patients diagnosed with ESCC. DR was assessed on the basis of the maturation of the tumor stroma. TB was evaluated according to the International Tumor Budding Conference (ITBCC) criteria. A semiquantitative method with a 5% threshold value was used to evaluate TIL.

RESULTS

A significant correlation was identified between DR and sex (p = 0.023) and between DR and depth of invasion (T) (p = 0.006). TB and TIL were correlated with T (p < 0.001 and p = 0.002), lymph node metastasis (LNM) (p = 0.006 and p = 0.018), tumor stage (p < 0.001) and p = 0.003). Although DR was significantly positively correlated with TB (p < 0.001), no correlation was detected with TIL. A negative correlation between TIL and TB was also observed (p = 0.04). The results of the univariate analysis revealed significant correlations between poor survival rates and T (p < 0.001), LNM (p = 0.002), stage (p < 0.001), DR (p < 0.001), TB (p < 0.001), and TIL (p = 0.009). The multivariate analysis revealed that DR (p < 0.001), TB (p < 0.001), and T (p < 0.001) were independent prognostic factors.

CONCLUSION

Our study emphasized that the assessment of DR and TB can be used to categorize individuals with ESCC for therapy and prognosis. Further research is needed to clarify the prognostic roles of TIL and their subtypes in ESCC and how they are associated with DR, depending on their association with TB.

摘要

背景

近期研究已证明肿瘤微环境(TME)在实体瘤行为中的重要性。众多发现表明,包括胃肠道肿瘤在内的多种恶性肿瘤的肿瘤进展可通过对促结缔组织增生反应(DR)、肿瘤芽生(TB)和肿瘤浸润淋巴细胞(TIL)的病理评估来预测。虽然一些研究已证明TIL对食管鳞状细胞癌(ESCC)患者的预后影响,但数据尚未达成一致。此外,很少有研究调查DR和TB与疾病进展的关系。这些肿瘤中DR、TB和TIL之间的关系仍有待研究。因此,本研究旨在探讨DR、TB和TIL之间的关系以及与肿瘤行为相关的组织病理学参数,并评估它们在预测ESCC患者生存中的预后作用。

方法

回顾性病例系列研究纳入了98例经诊断为ESCC的患者。根据肿瘤基质的成熟度评估DR。根据国际肿瘤芽生会议(ITBCC)标准评估TB。采用阈值为5%的半定量方法评估TIL。

结果

DR与性别(p = 0.023)以及DR与浸润深度(T)(p = 0.006)之间存在显著相关性。TB和TIL与T(p < 0.001和p = 0.002)、淋巴结转移(LNM)(p = 0.006和p = 0.018)、肿瘤分期(p < 0.001)以及p = 0.003相关。虽然DR与TB显著正相关(p < 0.001),但未检测到与TIL相关。还观察到TIL与TB之间呈负相关(p = 0.04)。单因素分析结果显示,生存率低与T(p < 0.001)、LNM(p = 0.002)、分期(p < 0.001)、DR(p < 0.001)、TB(p < 0.001)和TIL(p = 0.009)之间存在显著相关性。多因素分析显示,DR(p < 0.001)、TB(p < 0.001)和T(p < 0.001)是独立的预后因素。

结论

我们的研究强调,对DR和TB的评估可用于对ESCC患者进行治疗和预后分类。需要进一步研究以阐明TIL及其亚型在ESCC中的预后作用,以及它们如何根据与TB的关联与DR相关联。

https://cdn.ncbi.nlm.nih.gov/pmc/blobs/394d/12211902/eae47ed9d615/12876_2025_3984_Fig1_HTML.jpg

文献AI研究员

20分钟写一篇综述,助力文献阅读效率提升50倍。

立即体验

用中文搜PubMed

大模型驱动的PubMed中文搜索引擎

马上搜索

文档翻译

学术文献翻译模型,支持多种主流文档格式。

立即体验