Suppr超能文献

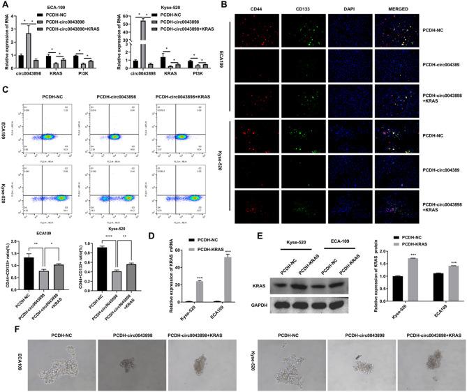
KRAS的过表达增强了被circ0043898过表达抑制的食管癌细胞的干性。

Overexpression of KRAS enhanced the stemness of esophageal cancer cells inhibited by overexpression of circ0043898.

作者信息

Wang Wei, Song Yuankai, Liu Shiqiang, Xiong Xinming, Yang Xin

机构信息

Department of Thoracic Surgery, the Second Affiliated Hospital of Guangzhou Medical University, No.250 Changgang East Road, Haizhu District, 510260, Guangzhou, China.

The Second Clinical College of Guangzhou Medical University, Guangzhou, 511436, China.

出版信息

BMC Cancer. 2025 Jul 1;25(1):1039. doi: 10.1186/s12885-025-14358-8.

Abstract

BACKGROUND

Our previous study revealed that circ0043898 is downregulated in esophageal cancer (EC), and its overexpression attenuates the progression of EC. The objective of this article is to explore whether circ0043898 inhibits tumor progression by inhibiting cancer stem cells (CSCs) in EC.

METHODS

PCDH-circ0043898 plasmid was transfected into EC cells, and the effect of overexpression was verified by qRT-PCR. Immunofluorescence, flow cytometry, and stem cell spheroidization were used to detect CSCs phenotype changes. RNA sequencing was adopted to identify downstream regulatory genes and p-PI3K, PI3K, and KRAS expressions were validated by western blot. To investigate whether KRAS functions downstream of circ0043898 in regulating cancer stemness, we co-transfected EC cells with both KRAS and circ0043898 plasmids and examined CSCs phenotypes.

RESULTS

circ0043898 was overexpressed in the EC cells, and reduced stem cell markers (CD44 and CD133) and the number of stem cell spheroidization. In addition, overexpression of circ0043898 changed many genes expression, including reduced p-PI3K, PI3K, and KRAS expressions. Moreover, overexpression of KRAS attenuated the effect of overexpressed circ0043898 on CSCs phenotype.

CONCLUSIONS

Overexpression of circ0043898 reduced CSCs markers and the number of stem cell spheroidization. However, the overexpression of KRAS attenuated the inhibition effect of overexpressed circ0043898 on CSCs marker and the number of stem cell spheroidization. These findings identify a potential therapeutic target for the EC.

摘要

背景

我们之前的研究表明,环状RNA 0043898(circ0043898)在食管癌(EC)中表达下调,其过表达可减弱EC的进展。本文旨在探讨circ0043898是否通过抑制EC中的癌症干细胞(CSCs)来抑制肿瘤进展。

方法

将PCDH-circ0043898质粒转染至EC细胞中,通过qRT-PCR验证过表达效果。采用免疫荧光、流式细胞术和干细胞球化实验检测CSCs表型变化。通过RNA测序鉴定下游调控基因,并通过蛋白质免疫印迹法验证磷酸化磷脂酰肌醇-3激酶(p-PI3K)、磷脂酰肌醇-3激酶(PI3K)和KRAS的表达。为了研究KRAS是否在circ0043898调节癌症干性的下游发挥作用,我们将KRAS和circ0043898质粒共转染至EC细胞中,并检测CSCs表型。

结果

circ0043898在EC细胞中过表达,降低了干细胞标志物(CD44和CD133)的表达以及干细胞球化数量。此外,circ0043898的过表达改变了许多基因的表达,包括降低p-PI3K、PI3K和KRAS的表达。此外,KRAS的过表达减弱了circ0043898过表达对CSCs表型的影响。

结论

circ0043898过表达降低了CSCs标志物的表达和干细胞球化数量。然而,KRAS的过表达减弱了circ0043898过表达对CSCs标志物和干细胞球化数量的抑制作用。这些发现确定了一种针对EC的潜在治疗靶点。

https://cdn.ncbi.nlm.nih.gov/pmc/blobs/765a/12210846/8d995fb1ccf5/12885_2025_14358_Fig1_HTML.jpg

文献AI研究员

20分钟写一篇综述,助力文献阅读效率提升50倍。

立即体验

用中文搜PubMed

大模型驱动的PubMed中文搜索引擎

马上搜索

文档翻译

学术文献翻译模型,支持多种主流文档格式。

立即体验