Suppr超能文献

间充质干细胞与多能分化应激耐受细胞的比较:对健康寿命优化的潜在应用

Comparison of MSCs and Muse cells: the possible use for healthspan optimization.

作者信息

Dezawa Mari

机构信息

Department of Stem Cell Biology and Histology, Tohoku University Graduate School of Medicine, 2-1 Seiryo-Machi, Aoba-Ku, Sendai, 980-8575, Japan.

出版信息

Biogerontology. 2025 Jul 2;26(4):139. doi: 10.1007/s10522-025-10275-2.

Abstract

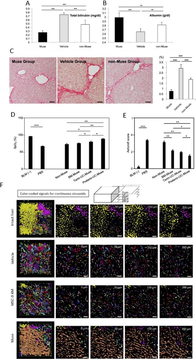
The exploration for safe, effective intervention strategies to improve longevity and aging-related diseases is attracting attention to prolong the healthy lifespan. Since aging is based on cellular changes, including telomere attrition, DNA damage, and mitochondrial dysfunction, therapies related to stem cells are expected to be a rational strategy for solving aging problems at the cellular level. Mesenchymal stem cells (MSCs) are an easily accessible, safe candidate, as they supply paracrine factors and extracellular vesicles to deliver pleiotropic effects for aging tissues. Multilineage-differentiating stress enduring (Muse) cells represent endogenous, reparative macrophage-like/pluripotent-like stem cells distributed in various tissues, including extraembryonic tissues such as the umbilical cord, and are also found in MSCs as a small percentage of the total population. Muse cell characteristics are different from those of MSCs. Intravenously injected Muse cells sharply sense the universal damage signal sphingosine-1-P and selectively migrate to damaged tissue rather than being trapped in the lung, phagocytose damaged/apoptotic cells in the tissue and directly differentiate into the same cell type. Muse cells then repair the three dimensional structure of the tissue by replacing multiple tissue component with healthy cells through pluripotent-like differentiation. Clinical trials have shown that HLA-mismatched donor Muse cells escape immune rejection and survive in the recipient tissue for an extended period without immunosuppressant treatment. Therefore, the pleiotropic bystander effects of Muse cells are more potent than those of MSCs. Due to heterogeneity, the properties of MSCs are still not fully understood; they have limited differentiation ability into osteogenic, chondrogenic, and adipogenic cells, and the main biological action in vivo is bystander effects. Muse cells are key, not only to the medical benefits of MSCs, but also to their potential use in anti-aging therapy. Enriching and purifying Muse cells will significantly enhance the therapeutic effect of MSCs, leading to further expansion of the use of MSCs. This review discusses the fundamental differences between MSCs and Muse cells and their potential applications in anti-aging therapy.

摘要

探索安全、有效的干预策略以延长寿命和改善与衰老相关的疾病,正吸引着人们的关注,以延长健康寿命。由于衰老基于细胞变化,包括端粒磨损、DNA损伤和线粒体功能障碍,与干细胞相关的疗法有望成为在细胞水平解决衰老问题的合理策略。间充质干细胞(MSCs)是一种易于获取且安全的候选细胞,因为它们能分泌旁分泌因子和细胞外囊泡,为衰老组织带来多效性作用。多谱系分化应激耐受(Muse)细胞是分布于包括脐带等胚外组织在内的各种组织中的内源性、具有修复能力的巨噬细胞样/多能样干细胞,在MSCs中也有少量存在,占其总数的一小部分。Muse细胞的特性与MSCs不同。静脉注射的Muse细胞能敏锐地感知通用损伤信号鞘氨醇-1-磷酸,并选择性地迁移到受损组织,而不是被困在肺部,它们吞噬组织中的受损/凋亡细胞,并直接分化为相同的细胞类型。然后,Muse细胞通过多能样分化用健康细胞替代多种组织成分,从而修复组织的三维结构。临床试验表明,HLA不匹配的供体Muse细胞能逃避免疫排斥,在没有免疫抑制治疗的情况下在受体组织中长时间存活。因此,Muse细胞的多效性旁观者效应比MSCs更强。由于存在异质性,MSCs的特性仍未被完全了解;它们向成骨细胞、软骨细胞和成脂细胞的分化能力有限,其在体内的主要生物学作用是旁观者效应。Muse细胞不仅是MSCs发挥医学益处的关键,也是其在抗衰老治疗中潜在应用的关键。富集和纯化Muse细胞将显著增强MSCs的治疗效果,从而进一步扩大MSCs的应用范围。本综述讨论了MSCs和Muse细胞之间的根本差异及其在抗衰老治疗中的潜在应用。

https://cdn.ncbi.nlm.nih.gov/pmc/blobs/ea72/12222320/76ca0bc365da/10522_2025_10275_Fig1_HTML.jpg

文献AI研究员

20分钟写一篇综述,助力文献阅读效率提升50倍。

立即体验

用中文搜PubMed

大模型驱动的PubMed中文搜索引擎

马上搜索

文档翻译

学术文献翻译模型,支持多种主流文档格式。

立即体验