Suppr超能文献

同型半胱氨酸通过抑制大脑中的NAD/Sirt1途径干扰Ndufa1,导致线粒体功能障碍:高同型半胱氨酸血症与神经退行性变之间的可能联系。

Homocysteine interferes with Ndufa1 leading to mitochondrial dysfunction through repression of the NAD/Sirt1 pathway in the brain: a possible link between hyperhomocysteinemia and neurodegeneration.

作者信息

Chai Gaoshang, Mao Yuming, Gong Juan, Bi Shuguang, Zhang Yuqi, Wu Jiajun, Yang Liu, Gao Tianlong, Fu Haitian, Yu Chunjing, Ren Caili, Zhang Guofu, Zhu Xuming, Guan Xin, Yu Haoting, Tang Caijing, Nie Yunjuan, Yu Haitao

机构信息

Department of Fundamental Medicine, Wuxi School of Medicine, Jiangnan University, Wuxi, Jiangsu, China.

MOE Medical Basic Research Innovation Center for Gut Microbiota and Chronic Diseases, Wuxi School of Medicine, Jiangnan University, Wuxi, Jiangsu, China.

出版信息

Cell Death Dis. 2025 Jul 7;16(1):499. doi: 10.1038/s41419-025-07834-3.

Abstract

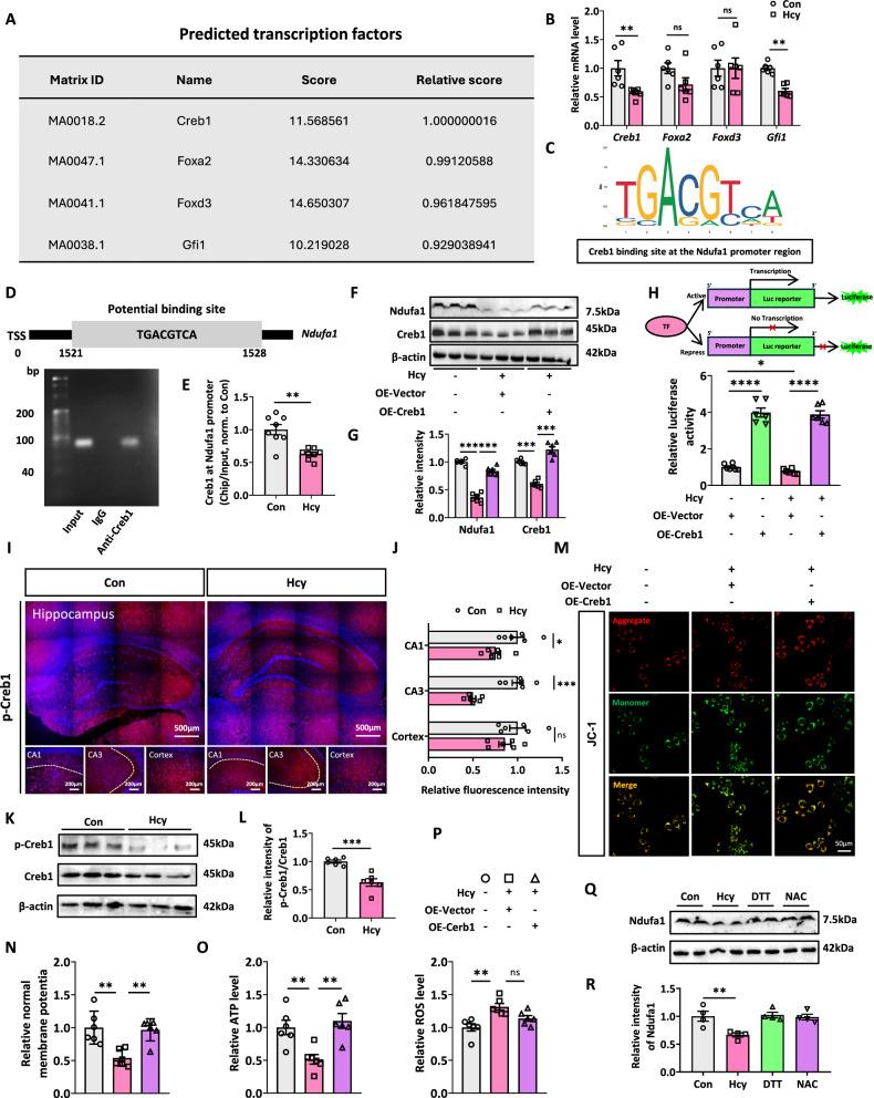
Mitochondrial defects are early pathological changes in neurodegenerative disease (ND). Homocysteine (Hcy) is an independent risk factor for ND. However, whether and how Hcy induces mitochondrial defects during the process of neurodegeneration is unclear. Here, we revealed that Hcy interfered with mitochondrial oxidative phosphorylation (OXPHOS) by inhibiting the mitochondrial electron transport chain (ETC) complex I, resulting in increased levels of reactive oxygen species (ROS) in the hippocampus of rats. Specifically, Hcy suppressed Ndufa1 expression, which is essential for complex I assembly and activation, by interfering with its transcription factor Creb1. Moreover, we found that Hcy induced neurodegeneration-like pathological changes in mitochondria in the brain via the inhibition of the NAD/Sirt1 pathway, including defects in mitochondrial morphology, mitochondrial biogenesis, and mitophagy, ultimately leading to impairments in synapses and cognition, all of which were reversed by Ndufa1 upregulation. Thus, Ndufa1 is a key molecular switch of Hcy-induced mitochondrial damage, and appropriately targeting Ndufa1 or NAD replenishment may serve as a novel therapeutic strategy for Hcy-induced neurodegeneration and cognitive impairment.

摘要

线粒体缺陷是神经退行性疾病(ND)早期的病理变化。同型半胱氨酸(Hcy)是ND的一个独立危险因素。然而,在神经退行性变过程中,Hcy是否以及如何诱导线粒体缺陷尚不清楚。在此,我们发现Hcy通过抑制线粒体电子传递链(ETC)复合体I干扰线粒体氧化磷酸化(OXPHOS),导致大鼠海马体中活性氧(ROS)水平升高。具体而言,Hcy通过干扰其转录因子Creb1抑制Ndufa1表达,而Ndufa1对于复合体I的组装和激活至关重要。此外,我们发现Hcy通过抑制NAD/Sirt1途径诱导大脑线粒体发生类似神经退行性变的病理变化,包括线粒体形态、线粒体生物发生和线粒体自噬缺陷,最终导致突触和认知功能受损,而Ndufa1上调可逆转所有这些变化。因此,Ndufa1是Hcy诱导线粒体损伤的关键分子开关,适当靶向Ndufa1或补充NAD可能成为治疗Hcy诱导的神经退行性变和认知障碍的新策略。

https://cdn.ncbi.nlm.nih.gov/pmc/blobs/732e/12234694/6b937b929591/41419_2025_7834_Fig1_HTML.jpg

文献AI研究员

20分钟写一篇综述,助力文献阅读效率提升50倍。

立即体验

用中文搜PubMed

大模型驱动的PubMed中文搜索引擎

马上搜索

文档翻译

学术文献翻译模型,支持多种主流文档格式。

立即体验