Suppr超能文献

减毒活速殖子与灭活速殖子作为弓形虫病候选疫苗的比较评价

Comparative evaluation of live attenuated and killed tachyzoites as vaccine candidates for toxoplasmosis.

作者信息

El Shanawany Eman E, Abdel-Rahman Eman H, Nemr Waleed A, Hassan Soad E, Hassan Noha M F, Desouky Hassan M, Zalat Rabab, Nofal Amany Ebrahim, Shaapan Raafat M, Younis Salwa Sami

机构信息

Parasitology and Animal Diseases Department, Veterinary Research Institute, National Research Centre, Dokki, Giza, Egypt.

Department of Radiation Microbiology, National Center for Radiation Research and Technology, Egyptian Atomic Energy Authority, Cairo, Egypt.

出版信息

AMB Express. 2025 Jul 10;15(1):102. doi: 10.1186/s13568-025-01889-3.

Abstract

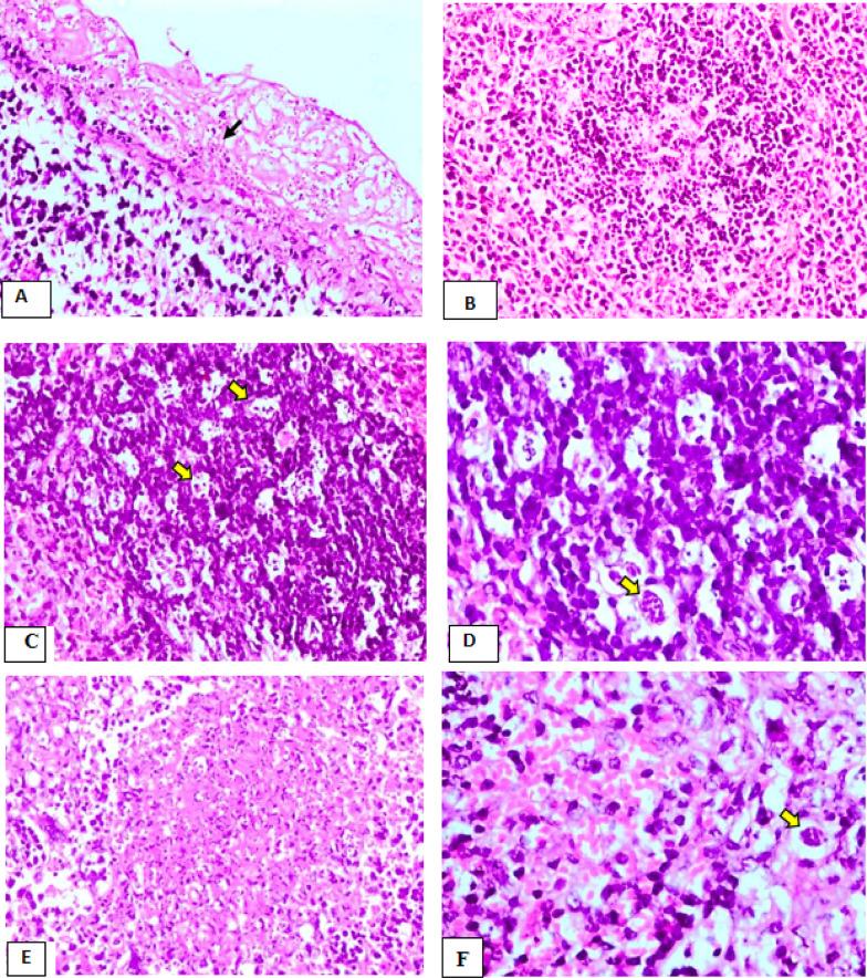
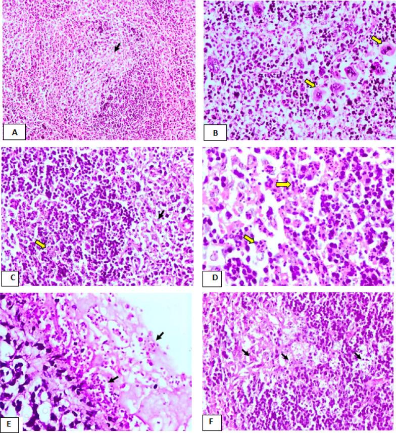
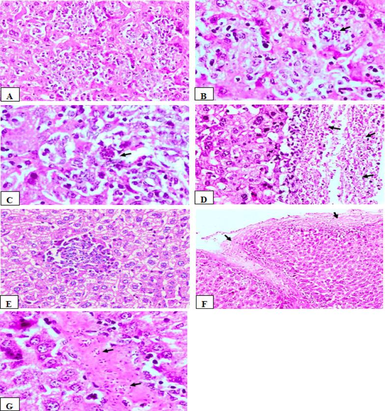
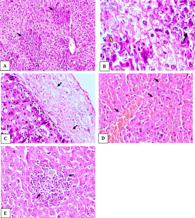
() an obligate intracellular protozoan, causes toxoplasmosis, leading to significant economic losses and posing serious public health challenges worldwide. Developing an effective vaccine for toxoplasmosis in humans remains difficult. In this study, we evaluated the protective immunity of tachyzoites local virulent strain exposed to 0.25 KGy as a live attenuated vaccine and 1.5 KGy as a killed vaccine. Swiss albino mice were immunized with three doses of each vaccine at 2-week intervals. Four weeks after the final immunization, mice were challenged with 2500 tachyzoites of RH HXGPRT (–) strain. Mice immunized with live attenuated vaccine showed a significant  < 0.05 increase in survival time (67.778 ± 26.4 days) compared to a control group, mice group immunized with killed tachyzoites, and the group injected with adjuvant. In the live attenuated vaccinated group, the mice percentage that still survived along six months of follow-up was 57.1% without any signs of acute toxoplasmosis. The infection reduction percentage was significantly higher (99.8%) in the live attenuated vaccine group, with the complete absence of tachyzoites in liver impression smears. Our results demonstrated that live attenuated vaccine triggered a strong immune response, marked by significantly elevated levels of IFN-γ, IL-12, and IL-17 cytokines, and increased percentages of CD4  and CD8 T-lymphocytes. High levels of -specific IgG were maintained. Histopathological analysis showed a complete absence of the parasite in the liver and spleen of mice vaccinated with live attenuated vaccine, with hepatic cells appearing normal and moderate aggregations of inflammatory cells observed in the hepatic portal area. In conclusion, the comparison between the use of killed and live attenuated tachyzoites proved that the use of live gamma-irradiated attenuated tachyzoites is effective in eliciting cellular and humoral immune responses against acute toxoplasmosis in mice, presenting potential candidate prepared by conventional approach for the development of a vaccine against toxoplasmosis. The sheep isolate strain used in our study represents a virulent strain with characteristics similar to those that circulate in natural populations, which makes it an appropriate candidate for vaccine development in livestock and then for humans.

摘要

()是一种专性细胞内原生动物,可引起弓形虫病,导致重大经济损失,并在全球范围内构成严重的公共卫生挑战。开发一种有效的人类弓形虫病疫苗仍然很困难。在本研究中,我们评估了暴露于0.25 KGy的速殖子本地强毒株作为减毒活疫苗和1.5 KGy作为灭活疫苗的保护性免疫。以2周的间隔用每种疫苗的三剂对瑞士白化小鼠进行免疫。在最后一次免疫后四周,用2500个RH HXGPRT(–)株的速殖子对小鼠进行攻击。与对照组、用灭活速殖子免疫的小鼠组和注射佐剂的组相比,用减毒活疫苗免疫的小鼠存活时间显著增加(<0.05)(67.778±26.4天)。在减毒活疫苗接种组中,在六个月的随访中仍存活的小鼠百分比为57.1%,没有任何急性弓形虫病的迹象。减毒活疫苗组的感染减少百分比显著更高(99.8%),肝脏印片涂片中完全没有速殖子。我们的结果表明,减毒活疫苗引发了强烈的免疫反应,其特征是IFN-γ、IL-12和IL-17细胞因子水平显著升高,以及CD4和CD8 T淋巴细胞百分比增加。维持了高水平的特异性IgG。组织病理学分析显示,用减毒活疫苗接种的小鼠肝脏和脾脏中完全没有寄生虫,肝细胞外观正常,在肝门区域观察到中度炎症细胞聚集。总之,使用灭活和减毒活速殖子的比较证明,使用γ射线照射的减毒活速殖子可有效引发针对小鼠急性弓形虫病的细胞和体液免疫反应,为开发抗弓形虫病疫苗提供了传统方法制备的潜在候选物。我们研究中使用的绵羊分离株代表了一种强毒株,其特征与自然种群中传播的毒株相似,这使其成为家畜疫苗开发以及随后人类疫苗开发的合适候选物。

https://cdn.ncbi.nlm.nih.gov/pmc/blobs/cfa5/12246356/36c84790b8c8/13568_2025_1889_Fig1_HTML.jpg

文献AI研究员

20分钟写一篇综述,助力文献阅读效率提升50倍。

立即体验

用中文搜PubMed

大模型驱动的PubMed中文搜索引擎

马上搜索

文档翻译

学术文献翻译模型,支持多种主流文档格式。

立即体验