Suppr超能文献

TBX3中的体细胞突变通过加速极低密度脂蛋白(VLDL)分泌促进肝脏克隆性扩增。

Somatic mutations in TBX3 promote hepatic clonal expansion by accelerating VLDL secretion.

作者信息

Mannino Gregory, Quinn Gabriella, Zhu Min, Wang Zixi, Wang Xun, Li Boyuan, Hsieh Meng-Hsiung, Mathews Thomas, Zacharias Lauren, Gu Wen, Gopal Purva, Brzozowska Natalia, Campbell Peter, Hoare Matt, Liszczak Glen, Zhu Hao

机构信息

Children's Research Institute, Department of Pediatrics and Internal Medicine, Center for Regenerative Science and Medicine, Simmons Comprehensive Cancer Center, Children's Research Institute Mouse Genome Engineering Core.

Department of Immunology; and.

出版信息

J Clin Invest. 2025 Jul 10;135(18). doi: 10.1172/JCI191855. eCollection 2025 Sep 16.

Abstract

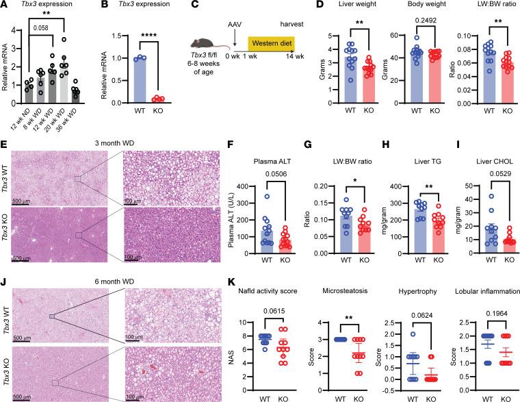
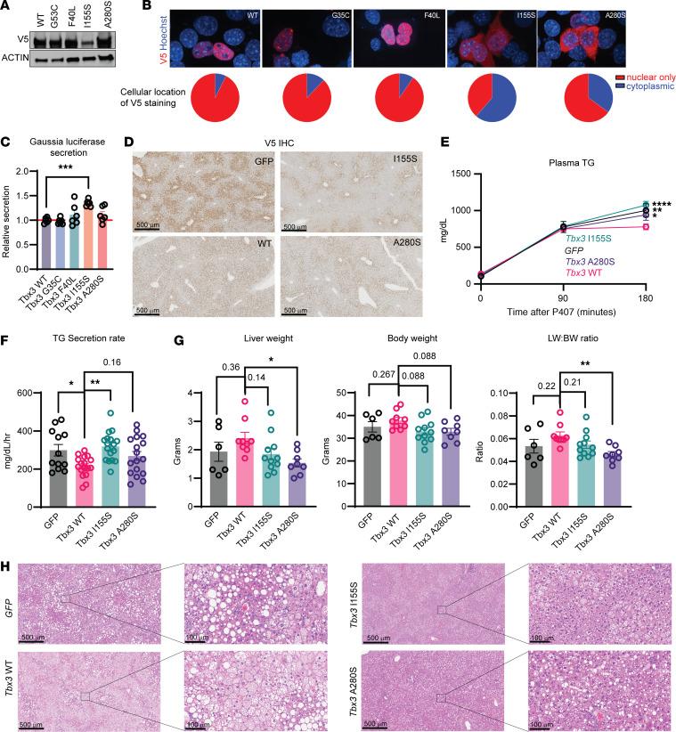
Somatic mutations that increase clone fitness or resist disease are positively selected, but the impact of these mutations on organismal health remains unclear. We previously showed that Tbx3 deletion increases hepatocyte fitness within fatty livers. Here, we detected TBX3 somatic mutations in patients with metabolic dysfunction-associated steatotic liver disease (MASLD). In mice, Tbx3 deletion protected against, whereas Tbx3 overexpression exacerbated, MASLD. Tbx3 deletion reduced lipid overload by accelerating VLDL secretion. Choline-deficient diets, which block VLDL secretion, abrogated this protective effect. TBX3 transcriptionally suppressed the conventional secretory pathway and cholesterol biosynthesis. Hdlbp is a direct target of TBX3 that is responsible for the altered VLDL secretion. In contrast to wild-type TBX3, the TBX3 I155S and A280S mutations found in patients failed to suppress VLDL secretion. In conclusion, TBX3 mutant clones expand during MASLD through increased lipid disposal, demonstrating that clonal fitness can benefit the liver at the cost of hyperlipidemia.

摘要

增加克隆适应性或抵抗疾病的体细胞突变会被正向选择,但这些突变对机体健康的影响仍不清楚。我们之前表明,Tbx3缺失会增加脂肪肝内肝细胞的适应性。在此,我们在代谢功能障碍相关脂肪性肝病(MASLD)患者中检测到TBX3体细胞突变。在小鼠中,Tbx3缺失可预防MASLD,而Tbx3过表达则会加重MASLD。Tbx3缺失通过加速极低密度脂蛋白(VLDL)分泌来减少脂质过载。阻断VLDL分泌的胆碱缺乏饮食消除了这种保护作用。TBX3转录抑制传统分泌途径和胆固醇生物合成。Hdlbp是TBX3的直接靶点,负责改变VLDL分泌。与野生型TBX3不同,在患者中发现的TBX3 I155S和A280S突变未能抑制VLDL分泌。总之,TBX3突变克隆在MASLD期间通过增加脂质处理而扩增,表明克隆适应性可能以高脂血症为代价使肝脏受益。

https://cdn.ncbi.nlm.nih.gov/pmc/blobs/7108/12435840/7e24dc599531/jci-135-191855-g001.jpg

文献AI研究员

20分钟写一篇综述,助力文献阅读效率提升50倍。

立即体验

用中文搜PubMed

大模型驱动的PubMed中文搜索引擎

马上搜索

文档翻译

学术文献翻译模型,支持多种主流文档格式。

立即体验