Suppr超能文献

信号淋巴细胞激活分子家族7(SLAMF7)调节杯状细胞黏液分泌,并对肠道稳态和共生关系产生负面影响。

SLAMF7 regulates goblet cell mucus production and negatively impacts gut homeostasis and commensalism.

作者信息

Zhou Dianrong, Wu Changbu, Li Chengjuan, Li Meisong, Li Zeyu, Li Jiachen, Zhang Yihao, Zhao Hui, Wang Yaxuan, Liang Lujie, Xu Lin, Li Yaxin, Zhong Lan-Lan, Feng Siyuan, Tian Guo-Bao

机构信息

Department of Immunology, School of Medicine, Shenzhen Campus of Sun Yat-sen University, Shenzhen, Guangdong, China.

Advanced Medical Technology Center, The First Affiliated Hospital, Zhongshan School of Medicine, Sun Yat-sen University, Guangzhou, China.

出版信息

Gut Microbes. 2025 Dec;17(1):2527857. doi: 10.1080/19490976.2025.2527857. Epub 2025 Jul 11.

Abstract

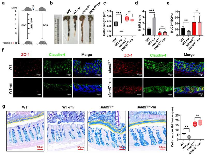
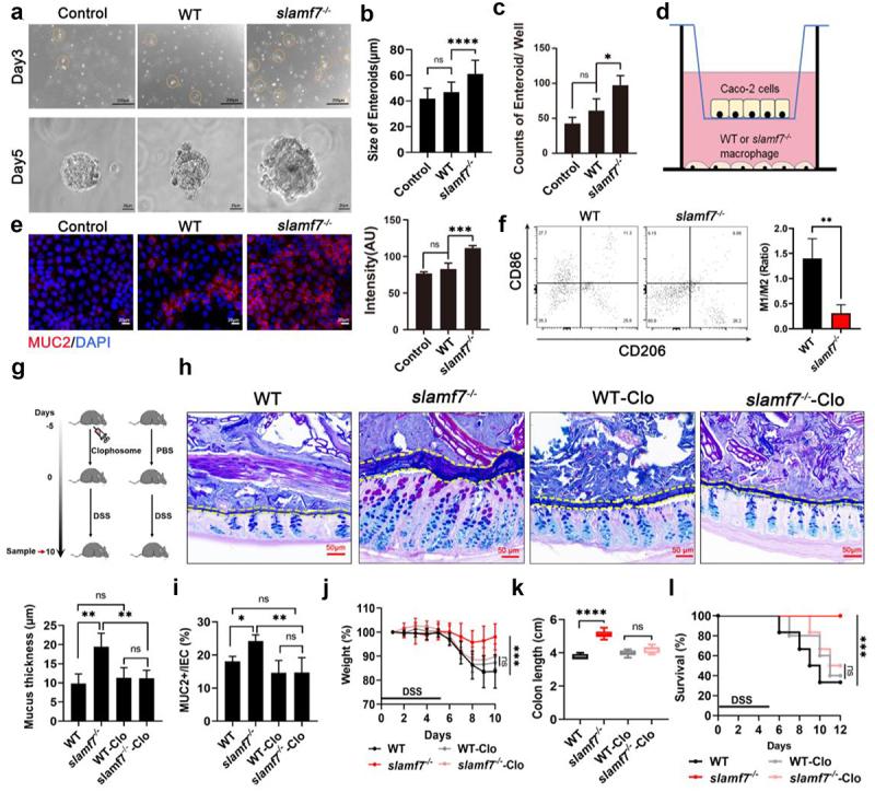
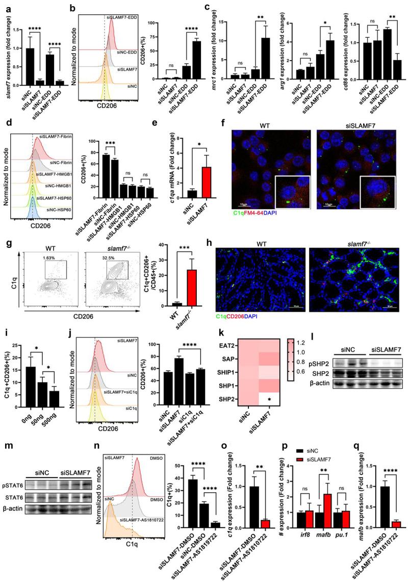
Crosstalk between the intestinal mucosal barrier and the gut microbiota contributes to maintaining intestinal homeostasis. Accumulating evidence suggests that diverse mechanisms are involved in maintaining intestinal homeostasis. Any disturbance in these pathways can compromise gut homeostasis and trigger chronic inflammatory diseases such as inflammatory bowel disease (IBD). However, how host factors regulate the intestinal mucosal barrier and change the gut microbiome has not been well defined. Here, we discovered that disruption of SLAMF7 protects against intestinal inflammation. SLAMF7 deficiency significantly altered the intestinal microbiota composition, specifically the expansion of the mucus-specific bacterium . Moreover, SLAMF7 deficiency resulted in goblet cell generation by increasing the number of M2-like C1q+ macrophages, which may contribute to a thicker mucosal barrier. Mechanistically, SLAMF7 deficiency increased goblet cell generation through C1q+ M2-like macrophage polarization, which partly led to a thicker mucosal barrier. Depletion of SLAMF7 in intestinal macrophages upregulated C1q via activation of the STAT6-MafB pathway. The upregulation of C1q in macrophages resulted in a bias toward the M2 phenotype in response to damage-associated molecular patterns (DAMPs) stimulation. Accordingly, SLAMF7 activation induced a shift in macrophage polarization and reduced mucus secretion, which partially aggravated intestinal inflammation. Conversely, SLAMF7 knockdown mitigated DSS-induced intestinal inflammation to some extent. This work reveals the previously unrecognized functions of SLAMF7 in regulating intestinal inflammation and tissue homeostasis.

摘要

肠道黏膜屏障与肠道微生物群之间的相互作用有助于维持肠道稳态。越来越多的证据表明,多种机制参与维持肠道稳态。这些途径中的任何干扰都可能破坏肠道稳态并引发慢性炎症性疾病,如炎症性肠病(IBD)。然而,宿主因素如何调节肠道黏膜屏障并改变肠道微生物群尚未明确界定。在这里,我们发现SLAMF7的破坏可预防肠道炎症。SLAMF7缺陷显著改变了肠道微生物群组成,特别是黏液特异性细菌的扩增。此外,SLAMF7缺陷通过增加M2样C1q+巨噬细胞的数量导致杯状细胞生成,这可能有助于形成更厚的黏膜屏障。从机制上讲,SLAMF7缺陷通过C1q+ M2样巨噬细胞极化增加杯状细胞生成,这部分导致了更厚的黏膜屏障。肠道巨噬细胞中SLAMF7的缺失通过激活STAT6-MafB途径上调C1q。巨噬细胞中C1q的上调导致在损伤相关分子模式(DAMPs)刺激下偏向M2表型。因此,SLAMF7激活诱导巨噬细胞极化转变并减少黏液分泌,这部分加剧了肠道炎症。相反,SLAMF7敲低在一定程度上减轻了DSS诱导的肠道炎症。这项工作揭示了SLAMF7在调节肠道炎症和组织稳态方面以前未被认识的功能。

https://cdn.ncbi.nlm.nih.gov/pmc/blobs/3ad4/12258210/6982f2247807/KGMI_A_2527857_F0001_OC.jpg

文献AI研究员

20分钟写一篇综述,助力文献阅读效率提升50倍。

立即体验

用中文搜PubMed

大模型驱动的PubMed中文搜索引擎

马上搜索

文档翻译

学术文献翻译模型,支持多种主流文档格式。

立即体验