Suppr超能文献

作为法布里病卓越中心的多学科护理模式:韩国临床专科诊断与管理实用指南

Multidisciplinary Care Model as a Center of Excellence for Fabry Disease: A Practical Guide to Diagnosis and Management by Clinical Specialty in South Korea.

作者信息

Lee Soo Yong, Kim Il Young, Ahn Sung-Ho, Kim Su Jin, Lee Hyun-Min, Lee Ji Eun, Byeon Gyeong-Jo, Ko Hyun-Chang, Lee Hyun Jung, Choi Songhwa, Cheon Chong Kun

机构信息

Division of Cardiology, Department of Internal Medicine, Pusan National University Yangsan Hospital, Pusan National University School of Medicine, Yangsan 50612, Republic of Korea.

Research Institute for Convergence of Biomedical Science and Technology, Pusan National University Yangsan Hospital, Yangsan 50612, Republic of Korea.

出版信息

J Clin Med. 2025 Jun 20;14(13):4400. doi: 10.3390/jcm14134400.

Abstract

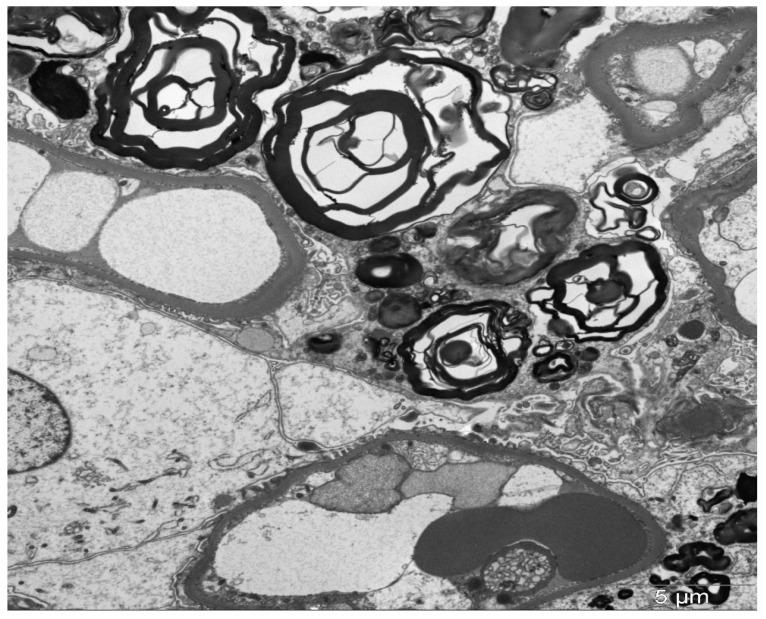
Fabry disease (FD) is a lysosomal storage disorder caused by pathogenic variants in the gene encoding alpha-galactosidase A (GLA). Deficiency of GLA results in the progressive accumulation of glycosphingolipids in virtually all organs, resulting in a progressive multisystem disease. Due to multi-organ involvement in FD, a comprehensive, multidisciplinary approach to diagnosis and treatment with regular follow-ups is essential. The Pusan National University Yangsan Hospital (PNUYH) multidisciplinary care model of FD aims to provide detailed practice guidelines and evidence-based recommendations for the diagnosis, screening, and treatment of FD according to specialty. This guideline focuses on the "quarterback" type of multidisciplinary team (MDT) operation and is limited in its applicability to the Korean insurance system. However, it reflects our team's extensive experience and insights into optimizing MDT operations within these constraints and is expected to be highly beneficial for centers initiating MDTs for the effective treatment of FD.

摘要

法布里病(FD)是一种溶酶体贮积症,由编码α-半乳糖苷酶A(GLA)的基因中的致病性变异引起。GLA缺乏导致糖鞘脂在几乎所有器官中进行性蓄积,从而引发一种进行性多系统疾病。由于FD累及多个器官,因此采用全面、多学科的方法进行诊断、治疗并定期随访至关重要。釜山国立大学梁山医院(PNUYH)的FD多学科护理模式旨在根据专业为FD的诊断、筛查和治疗提供详细的实践指南和循证建议。本指南侧重于“四分卫”式多学科团队(MDT)运作,其适用性受限于韩国保险系统。然而,它反映了我们团队在这些限制条件下优化MDT运作的丰富经验和见解,预计对启动MDT以有效治疗FD的中心非常有益。

https://cdn.ncbi.nlm.nih.gov/pmc/blobs/1aa9/12250164/1453df9cf4f5/jcm-14-04400-g001.jpg

文献AI研究员

20分钟写一篇综述,助力文献阅读效率提升50倍。

立即体验

用中文搜PubMed

大模型驱动的PubMed中文搜索引擎

马上搜索

文档翻译

学术文献翻译模型,支持多种主流文档格式。

立即体验