Suppr超能文献

EZH2抑制剂SHR2554通过STAT1增强HDAC抑制剂西达本胺在T细胞淋巴瘤中的抗肿瘤疗效。

EZH2 inhibitor SHR2554 enhances the anti-tumor efficacy of HDAC inhibitor Chidamide through STAT1 in T-cell lymphoma.

作者信息

Wu Jiajin, Hu Dingyao, Yu Hui, Wang Dedao, Ye Yingying, Cao Jiaowu, Pan Tao, Mi Lan, Song Yuqin, Wu Meng, Ping Lingyan, Zhu Jun

机构信息

Key Laboratory of Carcinogenesis and Translational Research (Ministry of Education), Department of Lymphoma, Peking University Cancer Hospital & Institute, Beijing, 100142, China.

出版信息

Cell Death Dis. 2025 Jul 14;16(1):522. doi: 10.1038/s41419-025-07775-x.

Abstract

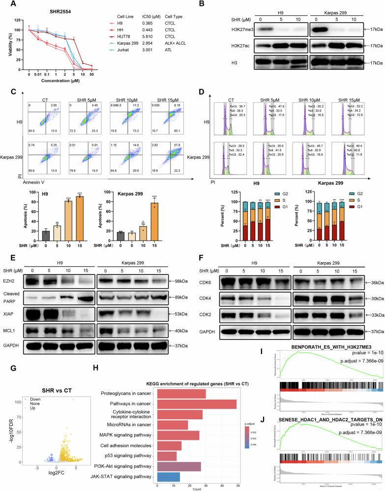
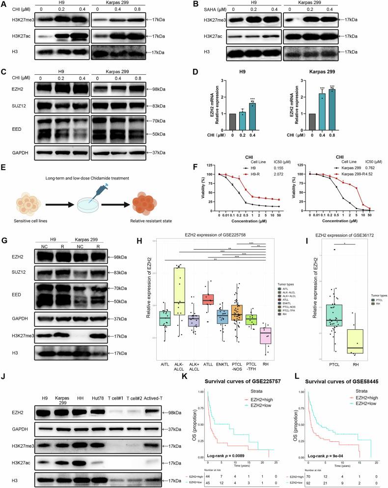
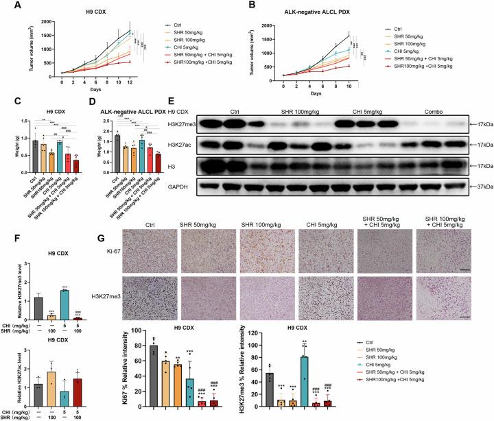
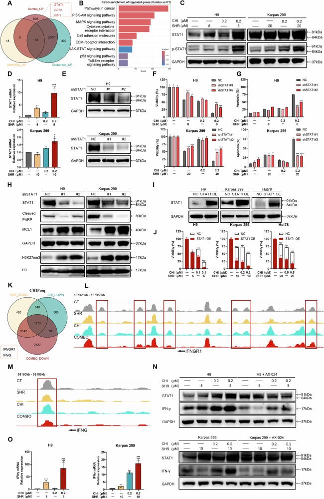
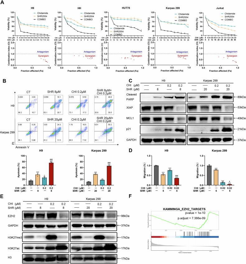
T-cell lymphoma (TCL) is a rare subtype of non-Hodgkin lymphoma (NHL) that is associated with a poor prognosis. Although HDAC inhibitors have been approved for TCL treatment for several years, their expected therapeutic efficacy remains unmet in some patients. In this study, we discovered that TCL tumor cells develop resistance to HDAC inhibitor treatment by upregulating the methylation of lysine 27 on histone H3 (H3K27me3) levels. Furthermore, we confirmed the pharmacological efficacy of the EZH2 inhibitor SHR2554 and demonstrated a synergistic effect when combined with the HDAC inhibitor Chidamide through commercial TCL cell lines, in vivo cell-derived xenograft, and patient-derived xenograft cancer models. We inferred that STAT1 was the key driver of the synergistic effect using RNA-seq and ChIP-seq analysis. Our findings provide sufficient preclinical evidence in support of a potential combination therapy strategy for TCL patients.

摘要

T细胞淋巴瘤(TCL)是一种罕见的非霍奇金淋巴瘤(NHL)亚型,预后较差。尽管HDAC抑制剂已获批用于TCL治疗数年,但在一些患者中其预期的治疗效果仍未达到。在本研究中,我们发现TCL肿瘤细胞通过上调组蛋白H3赖氨酸27(H3K27me3)水平的甲基化来产生对HDAC抑制剂治疗的抗性。此外,我们通过商业化的TCL细胞系、体内细胞来源异种移植模型和患者来源异种移植癌症模型,证实了EZH2抑制剂SHR2554的药理作用,并证明其与HDAC抑制剂西达本胺联合使用时具有协同效应。我们通过RNA测序和染色质免疫沉淀测序分析推断,STAT1是协同效应的关键驱动因素。我们的研究结果提供了充分的临床前证据,支持针对TCL患者的潜在联合治疗策略。

https://cdn.ncbi.nlm.nih.gov/pmc/blobs/38b5/12259945/f4d926eac03e/41419_2025_7775_Fig1_HTML.jpg

文献AI研究员

20分钟写一篇综述,助力文献阅读效率提升50倍。

立即体验

用中文搜PubMed

大模型驱动的PubMed中文搜索引擎

马上搜索

文档翻译

学术文献翻译模型,支持多种主流文档格式。

立即体验