Suppr超能文献

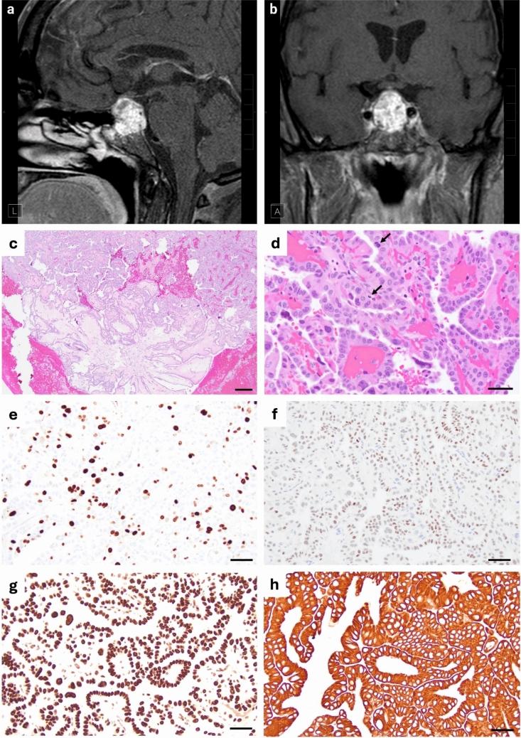
Primary papillary epithelial tumor of the sella harboring an EZH2 Y646F mutation.

作者信息

Fares Jawad, Jamshidi Pouya, Congivaram Harrshavasan T, Oyon Daniel, Bautista Melissa Mejia, Kern Robert C, Brat Daniel J, Youngblood Mark W, Chandler James P

机构信息

Department of Neurological Surgery, Feinberg School of Medicine, Northwestern University, Chicago, IL, 606011, USA.

Northwestern Medicine Malnati Brain Tumor Institute, Robert H. Lurie Comprehensive Cancer Center, Chicago, IL, 60611, USA.

出版信息

Acta Neuropathol. 2025 Jul 15;150(1):4. doi: 10.1007/s00401-025-02910-6.

Abstract
摘要
https://cdn.ncbi.nlm.nih.gov/pmc/blobs/db02/12263792/38f588fc364c/401_2025_2910_Fig1_HTML.jpg

文献AI研究员

20分钟写一篇综述,助力文献阅读效率提升50倍。

立即体验

用中文搜PubMed

大模型驱动的PubMed中文搜索引擎

马上搜索

文档翻译

学术文献翻译模型,支持多种主流文档格式。

立即体验