Suppr超能文献

三级转诊中心临床诊断的新冠肺炎病例的横断面头颅CT影像表现及模式

Cross-sectional Cranial CT Imaging Findings and Patterns in Clinically Diagnosed COVID-19 Cases in a Tertiary Referral Center.

作者信息

Sacdalan Dennis Raymond L, Catibog Jolly Jason S, de Guzman Cesar C

机构信息

Vascular and Interventional Radiology Section, Department of Radiology, Philippine General Hospital, University of the Philippines Manila.

出版信息

Acta Med Philipp. 2025 Jun 13;59(7):62-66. doi: 10.47895/amp.vi0.10069. eCollection 2025.

Abstract

BACKGROUND

Coronavirus Disease 2019 (COVID-19), caused by the SARS-CoV-2 virus, presents not only as a respiratory ailment but also poses risks of neurological complications whose underlying mechanisms remain unclear. These complications range from mild to severe and may involve direct invasion of the central nervous system (CNS), disruption of the blood-brain barrier, or systemic cytokine effects. Diagnostic challenges persist due to the suboptimal sensitivity of RT-PCR assays.

OBJECTIVE

The present study aimed to review the contrast and non-contrast enhanced cranial CT images of all diagnosed COVID-19 patients in a tertiary referral center with the clinical impression of non-traumatic and nonoperative CNS pathologies.

METHODS

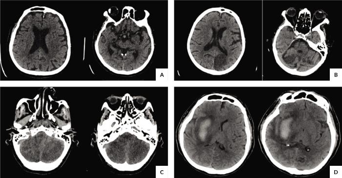
We conducted a cross-sectional study analyzing CT images of COVID-19 patients with neurological symptoms. Among 51 included patients, plain CT scans were predominantly used, revealing no acute infarcts or hemorrhages in the majority, while frontal lobe involvement was notable in cases with pathology. Chronic infarcts or ischemic changes were observed in over half of the cases, primarily affecting the anterior circulation. Only one case of meningitis was documented.

RESULTS

In the final analysis, 51 patients met the inclusion criteria out of the initial 64 enrolled. The study population, predominantly male with a mean age of 58.02 ± 20.87 years, mainly comprised patients solely diagnosed with COVID-19. Plain CT scans were favored over contrast-enhanced scans (76.50%, n = 39). While most patients had no acute infarcts or hemorrhages, the frontal lobe was commonly affected among stroke patients (9.8%, n = 5). Additionally, a significant portion of patients without acute stroke findings exhibited chronic infarcts or ischemic changes (57.69%, n = 15).

CONCLUSIONS

This study sheds light on the radiological patterns of CNS involvement in COVID-19 patients, highlighting frequent frontal lobe involvement possibly attributed to hypercoagulability and endotheliitis. Further research with larger sample sizes and MRI utilization is recommended to enhance our understanding of CNS manifestations in COVID-19. This study contributes to understanding COVID-19 neurological sequelae, particularly in terms of radiological patterns, among patients presenting with neurological symptoms. The findings highlight the need for comprehensive evaluation and management of neurological complications in COVID-19 patients.

摘要

背景

2019冠状病毒病(COVID-19)由严重急性呼吸综合征冠状病毒2型(SARS-CoV-2)引起,不仅表现为呼吸系统疾病,还存在神经并发症风险,其潜在机制尚不清楚。这些并发症从轻度到重度不等,可能涉及中枢神经系统(CNS)的直接侵袭、血脑屏障破坏或全身细胞因子效应。由于逆转录聚合酶链反应(RT-PCR)检测的敏感性欠佳,诊断仍面临挑战。

目的

本研究旨在回顾一家三级转诊中心所有确诊COVID-19患者的头颅CT平扫及增强扫描图像,这些患者临床上疑似患有非创伤性、非手术性CNS病变。

方法

我们进行了一项横断面研究,分析有神经症状的COVID-19患者的CT图像。在纳入的51例患者中,主要采用了头颅CT平扫,大多数患者未发现急性梗死或出血,而有病变的病例中额叶受累较为明显。超过半数的病例观察到慢性梗死或缺血性改变,主要影响前循环。仅记录到1例脑膜炎病例。

结果

最终分析时,最初纳入的64例患者中有51例符合纳入标准。研究人群以男性为主,平均年龄为58.02±20.87岁,主要为仅诊断为COVID-19的患者。头颅CT平扫比增强扫描更常用(76.50%,n = 39)。虽然大多数患者没有急性梗死或出血,但中风患者中额叶常受累(9.8%,n = 5)。此外,相当一部分无急性中风表现的患者存在慢性梗死或缺血性改变(57.69%,n = 15)。

结论

本研究揭示了COVID-19患者中枢神经系统受累的影像学特征,突出了额叶频繁受累可能归因于高凝状态和血管内皮炎。建议进一步开展更大样本量且使用磁共振成像(MRI)的研究,以加深我们对COVID-19中枢神经系统表现的理解。本研究有助于了解COVID-19神经后遗症,特别是在有神经症状患者中的影像学特征。研究结果强调了对COVID-19患者神经并发症进行综合评估和管理的必要性。

https://cdn.ncbi.nlm.nih.gov/pmc/blobs/ba9c/12257562/17e01ab7b397/AMP-59-7-10069-g001.jpg

文献AI研究员

20分钟写一篇综述,助力文献阅读效率提升50倍。

立即体验

用中文搜PubMed

大模型驱动的PubMed中文搜索引擎

马上搜索

文档翻译

学术文献翻译模型,支持多种主流文档格式。

立即体验