Suppr超能文献

抑制CD36棕榈酰化可通过调节脂质代谢稳态和自噬改善心肌梗死后的心功能。

Inhibiting CD36 palmitoylation improves cardiac function post-infarction by regulating lipid metabolic homeostasis and autophagy.

作者信息

Zhang Qingwei, Li Jiamin, Liu Xin, Chen Ximing, Zhu Liwei, Zhang Zhen, Hu Yingying, Zhao Tong, Lou Han, Xu Henghui, Zhao Wenjie, Dong Xinxin, Sun Zeqi, Sun Xiuxiu, Yang Baofeng, Zhang Yong

机构信息

State Key Laboratory of Frigid Zone Cardiovascular Diseases (SKLFZCD), College of Pharmacy, and Department of Cardiology, the Second Affiliated Hospital, Harbin Medical University, Harbin, China.

Department of Pharmacology (SKLFZCD, State Key Laboratory - Province Key Laboratories of Biomedicine-Pharmaceutics of China, Key Laboratory of Cardiovascular Research, Ministry of Education), College of Pharmacy, Harbin Medical University, Harbin, China.

出版信息

Nat Commun. 2025 Jul 17;16(1):6602. doi: 10.1038/s41467-025-61875-y.

Abstract

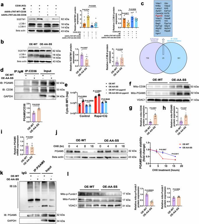
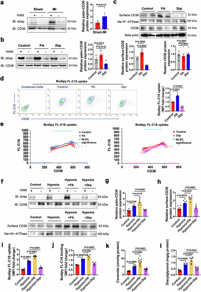
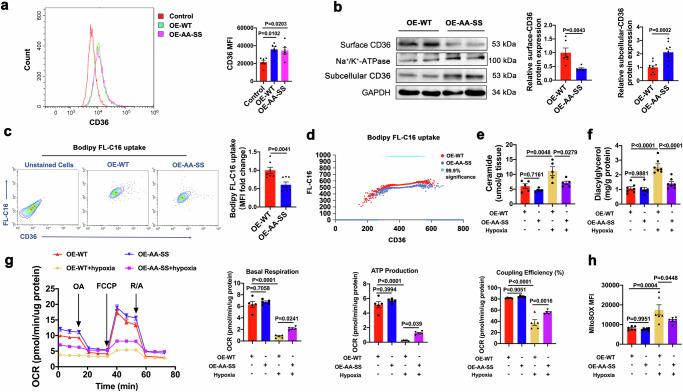
Alterations in myocardial energy substrate metabolism and mitochondrial injury following myocardial infarction (MI) lead to structural and functional abnormalities of the heart. The fatty acid translocase CD36 (CD36) plays a pivotal role in regulating lipid homeostasis and mitochondrial metabolism. Here, we demonstrate that inhibiting the palmitoylation of CD36 and the resulting alteration in its subcellular localization alleviates lipid metabolism disorders and mitochondrial dysfunction in cardiomyocytes of male mice post-MI. Mechanistically, the inhibition of CD36 palmitoylation enhances cardiac function through a dual mechanism: first, by alleviating fatty acid overload mediated by plasma membrane CD36, thereby restoring lipid metabolic balance; second, by augmenting the activity of the mitochondrial CD36-PGAM5 signaling axis and modulating Fundc1 and Drp1 Dephosphorylation, which subsequently improves mitophagy efficiency. Overall, our study highlights the significant role of CD36 palmitoylation in preserving heart function by regulating downstream metabolic signaling pathways, suggesting that targeting CD36 palmitoylation could be a promising therapeutic strategy for MI.

摘要

心肌梗死(MI)后心肌能量底物代谢的改变和线粒体损伤会导致心脏的结构和功能异常。脂肪酸转运蛋白CD36在调节脂质稳态和线粒体代谢中起关键作用。在此,我们证明抑制CD36的棕榈酰化及其亚细胞定位的改变可减轻雄性小鼠心肌梗死后心肌细胞中的脂质代谢紊乱和线粒体功能障碍。从机制上讲,抑制CD36棕榈酰化通过双重机制增强心脏功能:第一,通过减轻质膜CD36介导的脂肪酸过载,从而恢复脂质代谢平衡;第二,通过增强线粒体CD36-PGAM5信号轴的活性并调节Fundc1和Drp1的去磷酸化,进而提高线粒体自噬效率。总体而言,我们的研究强调了CD36棕榈酰化在通过调节下游代谢信号通路来维持心脏功能方面的重要作用,表明靶向CD36棕榈酰化可能是一种有前景的心肌梗死治疗策略。

https://cdn.ncbi.nlm.nih.gov/pmc/blobs/6005/12271414/58fcda388f39/41467_2025_61875_Fig1_HTML.jpg

文献AI研究员

20分钟写一篇综述,助力文献阅读效率提升50倍。

立即体验

用中文搜PubMed

大模型驱动的PubMed中文搜索引擎

马上搜索

文档翻译

学术文献翻译模型,支持多种主流文档格式。

立即体验