Suppr超能文献

用于促进糖尿病性骨再生的靶向骨髓间充质干细胞的压电刺激与免疫调节双功能水凝胶

BMSCs-targeting piezoelectric stimulation and immunomodulatory dual-functional hydrogel for promoting diabetic bone regeneration.

作者信息

Dong Jintao, Dong Wengang, Ran Huijie, Wu Dongxu, Wang Xinli, Chen Hongli, Cao Jiahao, Wang Xu, Lin Xinsen, Lei Wei, Wang Tianji, Feng Yafei

机构信息

Department of Orthopedics, Xijing Hospital, The Fourth Military Medical University, Xi'an, 710032, China.

Department of Anesthesiology, The 991th Hospital of Joint Logistic Support Force of People's Liberation Army, Xiangyang, 441000, China.

出版信息

Mater Today Bio. 2025 Jun 25;33:102015. doi: 10.1016/j.mtbio.2025.102015. eCollection 2025 Aug.

Abstract

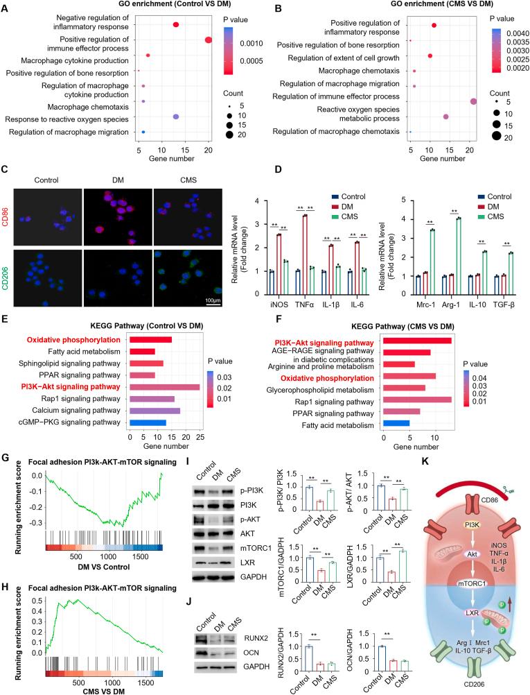
Bone regeneration in diabetic patients poses a significant clinical challenge due to persistent hyperglycemia and chronic inflammation, which disrupt the crucial interaction between the immune microenvironment and bone marrow-derived mesenchymal stem cells (BMSCs), thereby impairing osteogenesis. To address this limitation, ultrasonic-responsive barium titanate (BTO) nanoparticles were coated with BMSC membranes (B-TNs) and subsequently integrated into a carboxylated modified silk fibroin (CMS) hydrogel. This resulted in a dual-functional B-TNs@CMS composite hydrogel designed to combine targeted BMSC stimulation with immunomodulatory properties. Under diabetic conditions, the composite hydrogel facilitated macrophage polarization from the pro-inflammatory M1 phenotype to the anti-inflammatory M2 phenotype. Proteomic analysis and validation assays demonstrated that CMS reprograms macrophages through the PI3K-Akt-mTORC1 signaling axis, thereby restoring an osteogenesis-supportive immune microenvironment conducive to osteogenesis. Simultaneously, the degradation of CMS released B-TNs, which produced a moderate level of reactive oxygen species (ROS) under optimized extracorporeal ultrasound (US) stimulation. This process activated Wnt/β-catenin signaling, enhancing BMSC proliferation and osteogenic differentiation. This study highlights the significant potential of a dual-modular strategy integrating immune modulation with spatially targeted osteogenic stimulation, offering a promising therapeutic approach for diabetic bone regeneration.

摘要

由于持续性高血糖和慢性炎症,糖尿病患者的骨再生面临重大临床挑战,这些因素会破坏免疫微环境与骨髓间充质干细胞(BMSC)之间的关键相互作用,从而损害骨生成。为了解决这一局限性,将超声响应性钛酸钡(BTO)纳米颗粒用BMSC膜(B-TNs)包覆,随后整合到羧基化修饰的丝素蛋白(CMS)水凝胶中。这产生了一种双功能B-TNs@CMS复合水凝胶,旨在将靶向BMSC刺激与免疫调节特性相结合。在糖尿病条件下,复合水凝胶促进巨噬细胞从促炎性M1表型向抗炎性M2表型极化。蛋白质组学分析和验证试验表明,CMS通过PI3K-Akt-mTORC1信号轴对巨噬细胞进行重编程,从而恢复有利于骨生成的支持骨生成的免疫微环境。同时,CMS的降解释放出B-TNs,在优化的体外超声(US)刺激下产生中等水平的活性氧(ROS)。这一过程激活了Wnt/β-连环蛋白信号,增强了BMSC的增殖和成骨分化。本研究强调了将免疫调节与空间靶向成骨刺激相结合的双模块策略的巨大潜力,为糖尿病骨再生提供了一种有前景的治疗方法。

https://cdn.ncbi.nlm.nih.gov/pmc/blobs/0e26/12269990/2929744f8c7c/ga1.jpg

文献AI研究员

20分钟写一篇综述,助力文献阅读效率提升50倍。

立即体验

用中文搜PubMed

大模型驱动的PubMed中文搜索引擎

马上搜索

文档翻译

学术文献翻译模型,支持多种主流文档格式。

立即体验