Suppr超能文献

VEGFD/VEGFR2轴诱导高内皮微静脉去分化并损害淋巴细胞归巢。

VEGFD/VEGFR2 axis induces the dedifferentiation of high endothelial venules and impairs lymphocyte homing.

作者信息

Yang Weichang, Wu Juan, Cai Shanshan, Xing Hongquan, Xiang Jiajia, Zhang Xinyi, Su Xiaoyan, Ye Xiaoqun

机构信息

Department of Respiratory and Critical Care Medicine, The Second Affiliated Hospital of Nanchang University, JiangxiMedical College, Nanchang University, Nanchang, Jiangxi, China.

Jiangxi Key Laboratory of Molecular Medicine, Nanchang, Jiangxi, China.

出版信息

JCI Insight. 2025 Jul 22;10(14). doi: 10.1172/jci.insight.191041.

Abstract

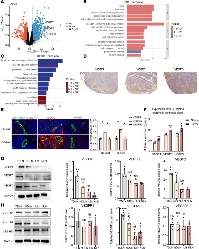
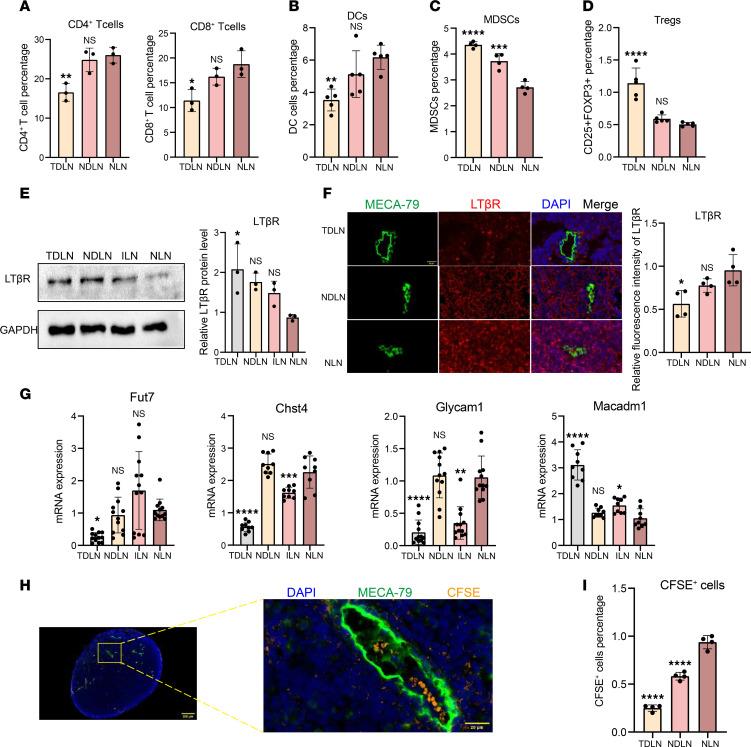
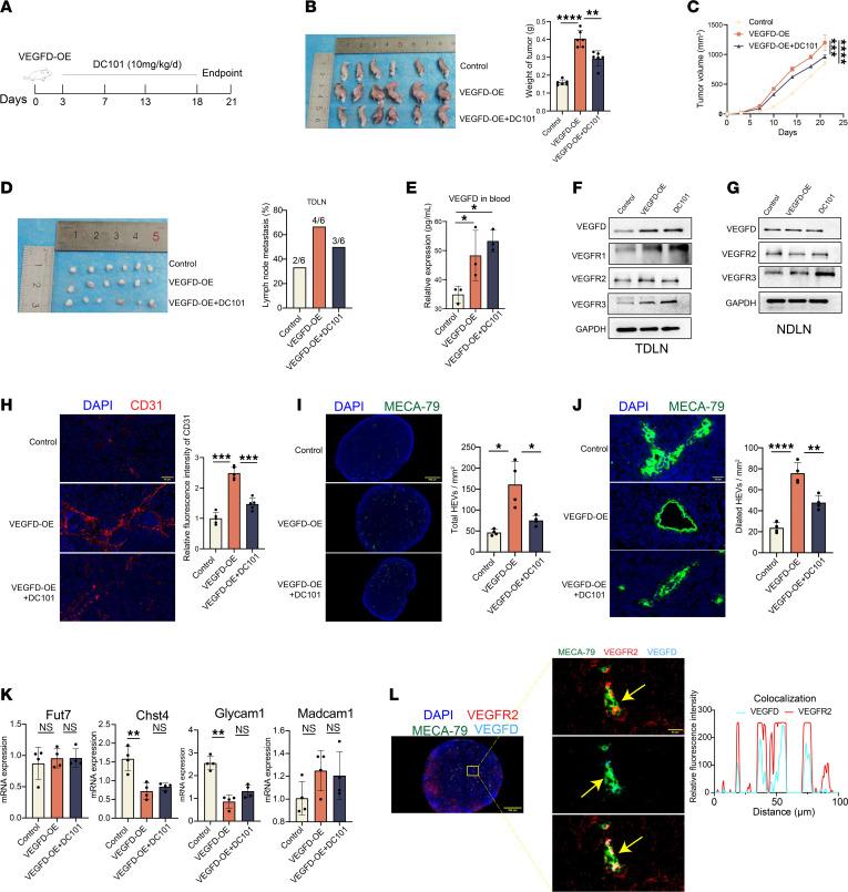
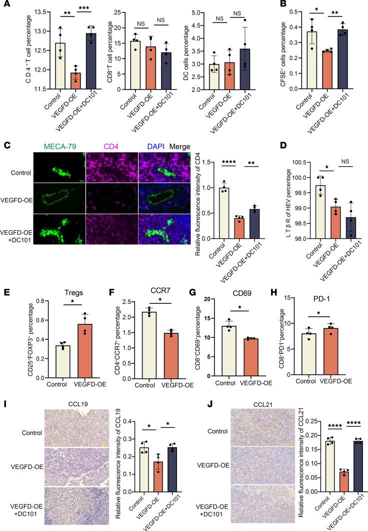
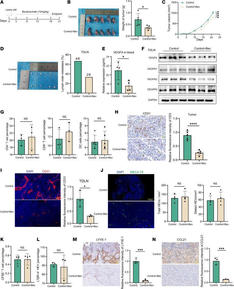
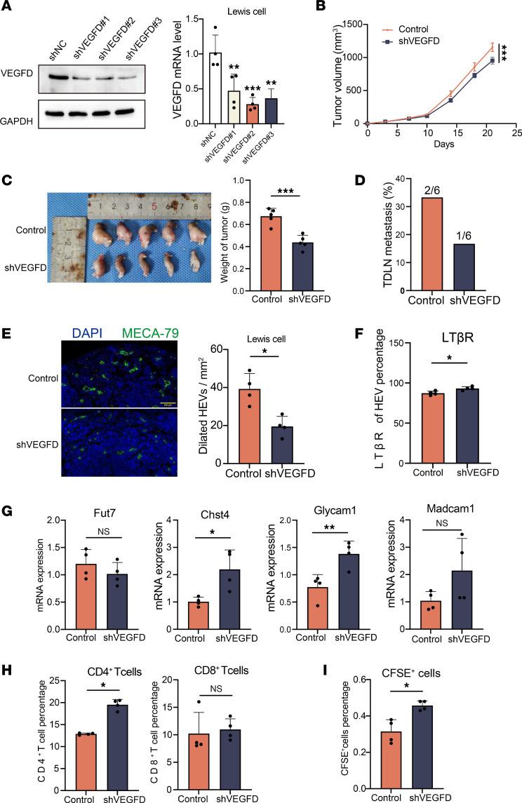
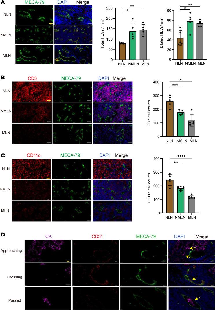
High endothelial venules (HEVs) are important structures in lymph nodes (LNs) that mediate lymphocyte homing, and their dedifferentiation is a necessary step before LN metastasis. Whether vascular endothelial growth factor-related (VEGF-related) signaling, which plays an important role in LN metastasis, is involved in the dedifferentiation of HEVs remains unclear. Here, we confirmed increased expression of VEGFA, VEGFC, and VEGFD; HEV dedifferentiation; and impaired lymphocyte homing function in tumor-draining LNs (TDLNs). Furthermore, we demonstrated that tumor-secreted VEGFA induced lymphangiogenesis in TDLNs to promote premetastatic niche (PMN) formation; VEGFC promoted HEV proliferation but did not affect its lymphocyte homing function. Notably, we showed that VEGFD induced the dedifferentiation of HEVs by binding to VEGFR2 on the endothelial surface of HEVs and further impaired the lymphocyte homing function of TDLNs. Overall, we revealed that tumor-secreted VEGFD interacted with VEGFR2, induced HEV dedifferentiation, and reduced lymphocyte homing, providing potential insights for the prevention and treatment of LN metastasis.

摘要

高内皮微静脉(HEV)是淋巴结(LN)中介导淋巴细胞归巢的重要结构,其去分化是LN转移前的必要步骤。在LN转移中起重要作用的血管内皮生长因子相关(VEGF相关)信号是否参与HEV的去分化仍不清楚。在此,我们证实了肿瘤引流淋巴结(TDLN)中VEGFA、VEGFC和VEGFD的表达增加;HEV去分化;以及淋巴细胞归巢功能受损。此外,我们证明肿瘤分泌的VEGFA诱导TDLN中的淋巴管生成以促进前转移微环境(PMN)形成;VEGFC促进HEV增殖,但不影响其淋巴细胞归巢功能。值得注意的是,我们表明VEGFD通过与HEV内皮表面的VEGFR2结合诱导HEV去分化,并进一步损害TDLN的淋巴细胞归巢功能。总体而言,我们揭示了肿瘤分泌的VEGFD与VEGFR2相互作用,诱导HEV去分化,并减少淋巴细胞归巢,为LN转移的预防和治疗提供了潜在的见解。

https://cdn.ncbi.nlm.nih.gov/pmc/blobs/0745/12288975/f8eb825e0108/jciinsight-10-191041-g263.jpg

文献AI研究员

20分钟写一篇综述,助力文献阅读效率提升50倍。

立即体验

用中文搜PubMed

大模型驱动的PubMed中文搜索引擎

马上搜索

文档翻译

学术文献翻译模型,支持多种主流文档格式。

立即体验