Suppr超能文献

槲皮素联合shTERT通过P53/Bax途径诱导卵巢癌细胞凋亡,且RGD-MSN/QR/shTERT纳米颗粒增强了治疗效果。

Quercetin combined with shTERT induces apoptosis in ovarian cancer via the P53/Bax pathway, and RGD-MSN/QR/shTERT nanoparticles enhance the therapeutic efficacy.

作者信息

Chen Guojie, Song Weiwei, Wang Xing, Mao Guangyao, Hu Weifeng, Dou Rongrong, Zhu He, Zhang Yongkang, Fu Xianhua, Lin Mei

机构信息

Clinical Laboratory, Affiliated Taizhou People's Hospital of Nanjing Medical University, Taizhou, 225300, Jiangsu, People's Republic of China.

Medical School of Nantong University, Nantong, 226001, Jiangsu, People's Republic of China.

出版信息

J Nanobiotechnology. 2025 Jul 22;23(1):536. doi: 10.1186/s12951-025-03546-0.

Abstract

BACKGROUND

Ovarian cancer (OC) is a highly malignant gynecological tumor with poor current treatment effects. Telomerase reverse transcriptase (TERT) is an important component of telomerase and plays an important role in the progression of ovarian cancer. Quercetin(QR) has been shown to inhibit the cell cycle and induce the apoptosis in various types of tumors. However, the mechanism of quercetin in ovarian cancer and whether it can be applied in the treatment of ovarian cancer has not been fully understood.

RESULTS

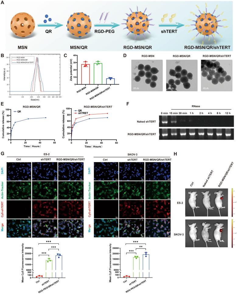
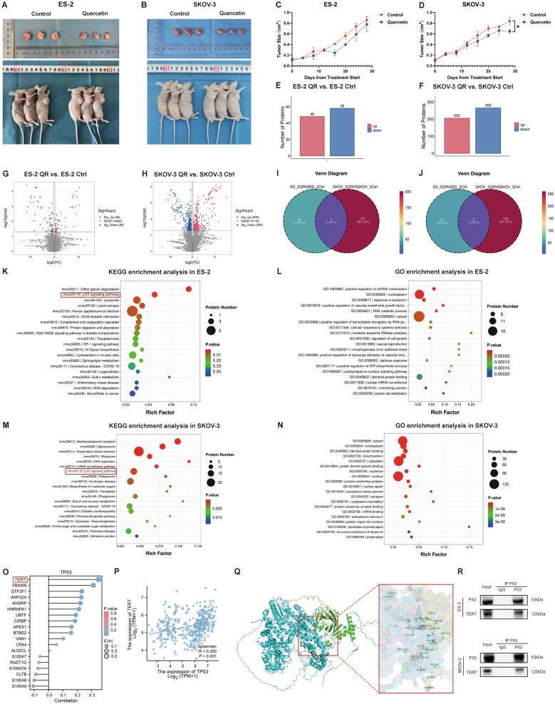
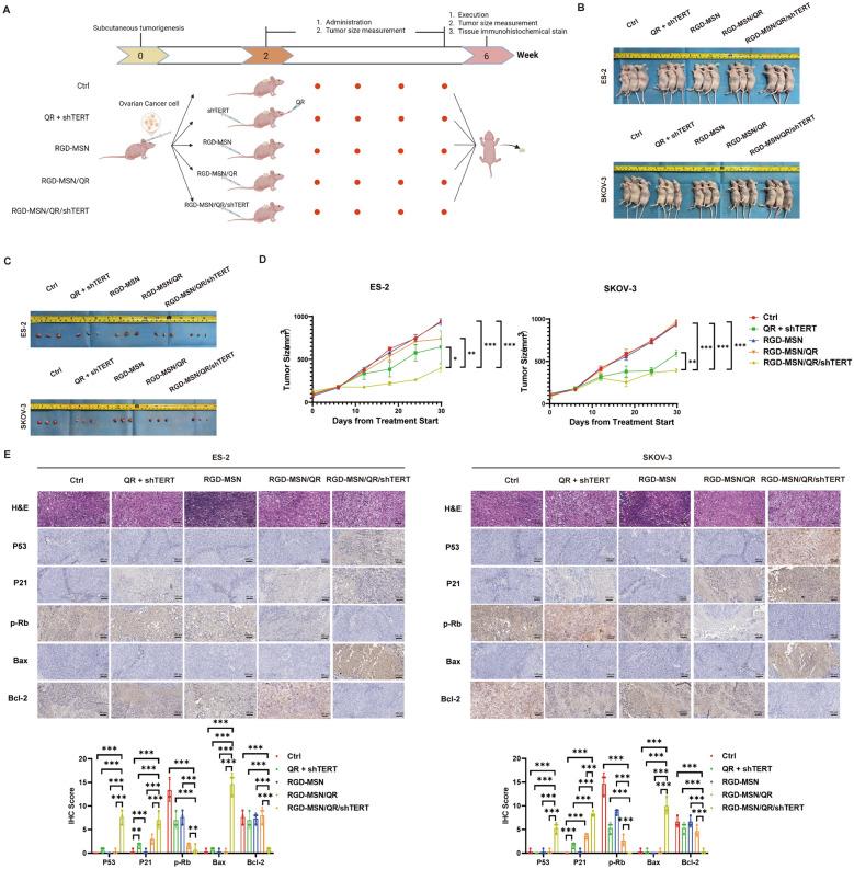
OC cells were intervened with QR in vitro and it was found that QR only inhibited the cell cycle but not induced cell apoptosis. By conducting network pharmacology, proteomics and TCGA-OV database analysis, we found that QR inhibited the cell cycle by binding to P53 and P21. However, in this study, overexpressed TERT in OC could bind to P53 and inhibit the binding of QR to P53, failing to induce tumor cell apoptosis. After TERT was knocked down, QR significantly suppressed the cell cycle of OC cells and induced apoptosis.To realize high drug delivery efficiency and drug targeting to improve the effect of inhibiting OC, we designed and prepared RGD-MSN/QR/shTERT nanoparticles for the combined administration of QR and shTERT. As confirmed by the in vivo experiments, RGD-MSN/QR/shTERT possessed good targeting ability and significant OC inhibiting effect, with no adverse reactions, and improved the survival benefits.

CONCLUSIONS

This study demonstrated the mechanistic and therapeutic advantages of combining QR with shTERT in the treatment of OC. Based on this mechanism, we synthesized the novel nanoparticles (RGD-MSN/QR/shTERT) and verified the favorable OC inhibiting effect in vivo, providing a novel strategy for the treatment of OC.

摘要

背景

卵巢癌(OC)是一种高度恶性的妇科肿瘤,目前治疗效果不佳。端粒酶逆转录酶(TERT)是端粒酶的重要组成部分,在卵巢癌进展中起重要作用。槲皮素(QR)已被证明可抑制多种肿瘤的细胞周期并诱导其凋亡。然而,槲皮素在卵巢癌中的作用机制以及它是否可用于卵巢癌治疗尚未完全明确。

结果

体外使用QR干预OC细胞,发现QR仅抑制细胞周期但不诱导细胞凋亡。通过网络药理学、蛋白质组学和TCGA-OV数据库分析,我们发现QR通过与P53和P21结合来抑制细胞周期。然而,在本研究中,OC中过表达的TERT可与P53结合并抑制QR与P53的结合,无法诱导肿瘤细胞凋亡。敲低TERT后,QR显著抑制OC细胞的细胞周期并诱导凋亡。为实现高药物递送效率和药物靶向性以提高抑制OC的效果,我们设计并制备了RGD-MSN/QR/shTERT纳米颗粒用于QR和shTERT的联合给药。体内实验证实,RGD-MSN/QR/shTERT具有良好的靶向能力和显著的OC抑制作用,无不良反应,并提高了生存获益。

结论

本研究证明了QR与shTERT联合治疗OC的作用机制和治疗优势。基于此机制,我们合成了新型纳米颗粒(RGD-MSN/QR/shTERT)并在体内验证了其良好的OC抑制效果,为OC治疗提供了一种新策略。

https://cdn.ncbi.nlm.nih.gov/pmc/blobs/5a4e/12285142/3d6169aebfa4/12951_2025_3546_Sch1_HTML.jpg

文献AI研究员

20分钟写一篇综述,助力文献阅读效率提升50倍。

立即体验

用中文搜PubMed

大模型驱动的PubMed中文搜索引擎

马上搜索

文档翻译

学术文献翻译模型,支持多种主流文档格式。

立即体验