Suppr超能文献

肠道炎症与微生物群调节影响耳蜗功能:肠道-耳轴的新见解

Intestinal inflammation and microbiota modulation impact cochlear function: emerging insights in gut-ear axis.

作者信息

Pisani Anna, Petito Valentina, Paciello Fabiola, Emoli Valeria, Masi Letizia, Hizam Veronica Mohamed, Puca Pierluigi, Montuoro Raffaele, Chierico Federica Del, Putignani Lorenza, Grassi Claudio, Galli Jacopo, Taglialatela Maurizio, Caristo Maria Emiliana, Ianiro Gianluca, Lopetuso Loris Riccardo, Cammarota Giovanni, Gasbarrini Antonio, Fetoni Anna Rita, Scaldaferri Franco

机构信息

Dipartimento di Neuroscienze, Unità di Audiologia, Università degli Studi di Napoli Federico II, Naples, 80131, Italy.

CeMAD Translational Research Laboratories Digestive Disease Center, Department of Medical and Surgical sciences, Fondazione Policlinico Universitario "A. Gemelli" IRCCS, Rome, 00168, Italy.

出版信息

Cell Commun Signal. 2025 Jul 26;23(1):357. doi: 10.1186/s12964-025-02338-1.

Abstract

BACKGROUND

Although several evidence demonstrates a "gut-microbiota-brain axis", suggesting a bidirectional communication between gut microbiota and the central nervous system, less is known about a possible link between the gut and the peripheral nervous system, including the inner ear.

METHODS

Here, we investigated the impact of intestinal inflammation and the modulation of gut microbiota through fecal microbiota transplantation on hearing sensitivity. Female C57BL/6 mice were assigned to four groups: control (Ctrl), DSS-induced colitis (DSS), FMT from patients with active ulcerative colitis (FMT aUC), and FMT from patients with ulcerative colitis in remission (FMT rUC). Auditory function was evaluated by auditory brainstem responses (ABR). Morphological and molecular analyses on cochlear tissues were performed using immunofluorescence, histological staining, and Western blot to assess inflammation, oxidative stress, and blood-labyrinth barrier integrity. Donor microbiota composition was characterized by 16S rRNA sequencing, and systemic inflammation was evaluated by measuring serum lipopolysaccharide (LPS) levels.

RESULTS

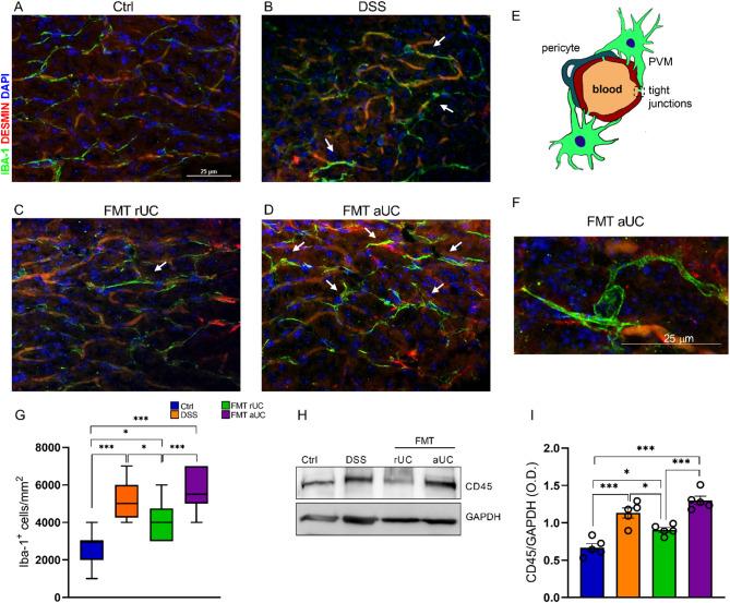
We found that intestinal dysbiosis is associated with functional, morphological, and molecular alterations in the cochlea, such as increased oxidative stress, inflammation, and altered blood-labyrinth barrier permeability. This leads to macrophage infiltration and immune response activation through the MyD88/NF-κB pathway. Notably, these effects were exacerbated by FMT from subjects with aUC, while FMT from patients with rUC provided a protective effect on cochlear functions.

CONCLUSIONS

Overall, our findings suggest that gut inflammation, microbiota alteration, or its therapeutic modulation can impact inner ear pathology: worsening gut inflammatory status negatively affects hearing sensitivity, while the restoration of gut microbiota positively impacts auditory function.

摘要

背景

尽管有多项证据表明存在“肠道微生物群-脑轴”,提示肠道微生物群与中枢神经系统之间存在双向通信,但对于肠道与包括内耳在内的周围神经系统之间可能的联系了解较少。

方法

在此,我们研究了肠道炎症以及通过粪便微生物群移植对肠道微生物群进行调节对听力敏感性的影响。将雌性C57BL/6小鼠分为四组:对照组(Ctrl)、葡聚糖硫酸钠诱导的结肠炎组(DSS)、来自活动期溃疡性结肠炎患者的粪便微生物群移植组(FMT aUC)和来自缓解期溃疡性结肠炎患者的粪便微生物群移植组(FMT rUC)。通过听性脑干反应(ABR)评估听觉功能。使用免疫荧光、组织学染色和蛋白质印迹法对耳蜗组织进行形态学和分子分析,以评估炎症、氧化应激和血迷路屏障完整性。通过16S rRNA测序对供体微生物群组成进行表征,并通过测量血清脂多糖(LPS)水平评估全身炎症。

结果

我们发现肠道微生物群失调与耳蜗的功能、形态和分子改变有关,如氧化应激增加、炎症以及血迷路屏障通透性改变。这会通过MyD88/NF-κB途径导致巨噬细胞浸润和免疫反应激活。值得注意的是,来自aUC受试者的粪便微生物群移植加剧了这些影响,而来自rUC患者的粪便微生物群移植对耳蜗功能具有保护作用。

结论

总体而言,我们的研究结果表明肠道炎症、微生物群改变或其治疗性调节可影响内耳病理:肠道炎症状态恶化会对听力敏感性产生负面影响,而肠道微生物群的恢复则会对听觉功能产生积极影响。

https://cdn.ncbi.nlm.nih.gov/pmc/blobs/3dc4/12297715/b7a9df4844bf/12964_2025_2338_Fig1_HTML.jpg

文献AI研究员

20分钟写一篇综述,助力文献阅读效率提升50倍。

立即体验

用中文搜PubMed

大模型驱动的PubMed中文搜索引擎

马上搜索

文档翻译

学术文献翻译模型,支持多种主流文档格式。

立即体验