Suppr超能文献

免疫功能低下患者的危重症:对严重急性呼吸综合征冠状病毒2(SARS-CoV-2)复发或持续感染的见解:病例系列报告

Critical illness in immunocompromised patients: insights into relapse or persistent severe acute respiratory syndrome coronavirus 2 (SARS-CoV-2): case series report.

作者信息

Hernández-Ortiz Olga H, Llano Juan Felipe, Sánchez Ana Milena, Jaimes Fabian, Moreno A Melissa, Perez-Restrepo Laura S, Usuga Jaime, Camacho Erwin, Osorio Jorge E, Hernández-Ortiz Juan Pablo

机构信息

Global Health Institute (GHI) One Health Colombia and One Health Genomic Laboratory, Universidad Nacional de Colombia, Medellín, Colombia.

Clínica Medellín-Grupo Quirónsalud, Medellín, Colombia.

出版信息

J Med Case Rep. 2025 Jul 27;19(1):371. doi: 10.1186/s13256-025-05431-8.

Abstract

BACKGROUND

Upon the pandemic transitioning into a new phase, research into the immune pathophysiology of severe and critical coronavirus disease 2019 has become increasingly crucial. Such studies are pivotal in shaping advanced treatment strategies and driving the development of innovative therapeutics, including more effective vaccines targeting the virus. High-risk comorbidities and pre-existing immunocompromised states have been identified as significant factors contributing to increased susceptibility to severe coronavirus disease 2019. Moreover, cases of severe infections, particularly those characterized by relapses or viral persistence, provide invaluable insights into the evolving behavior and dynamics of this pathogen.

CASES SERIES PRESENTATION

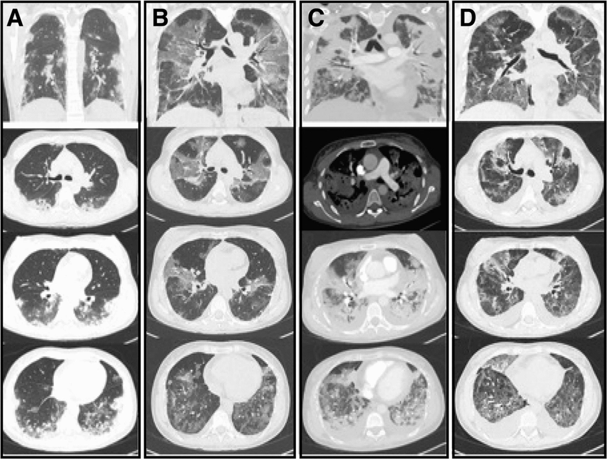
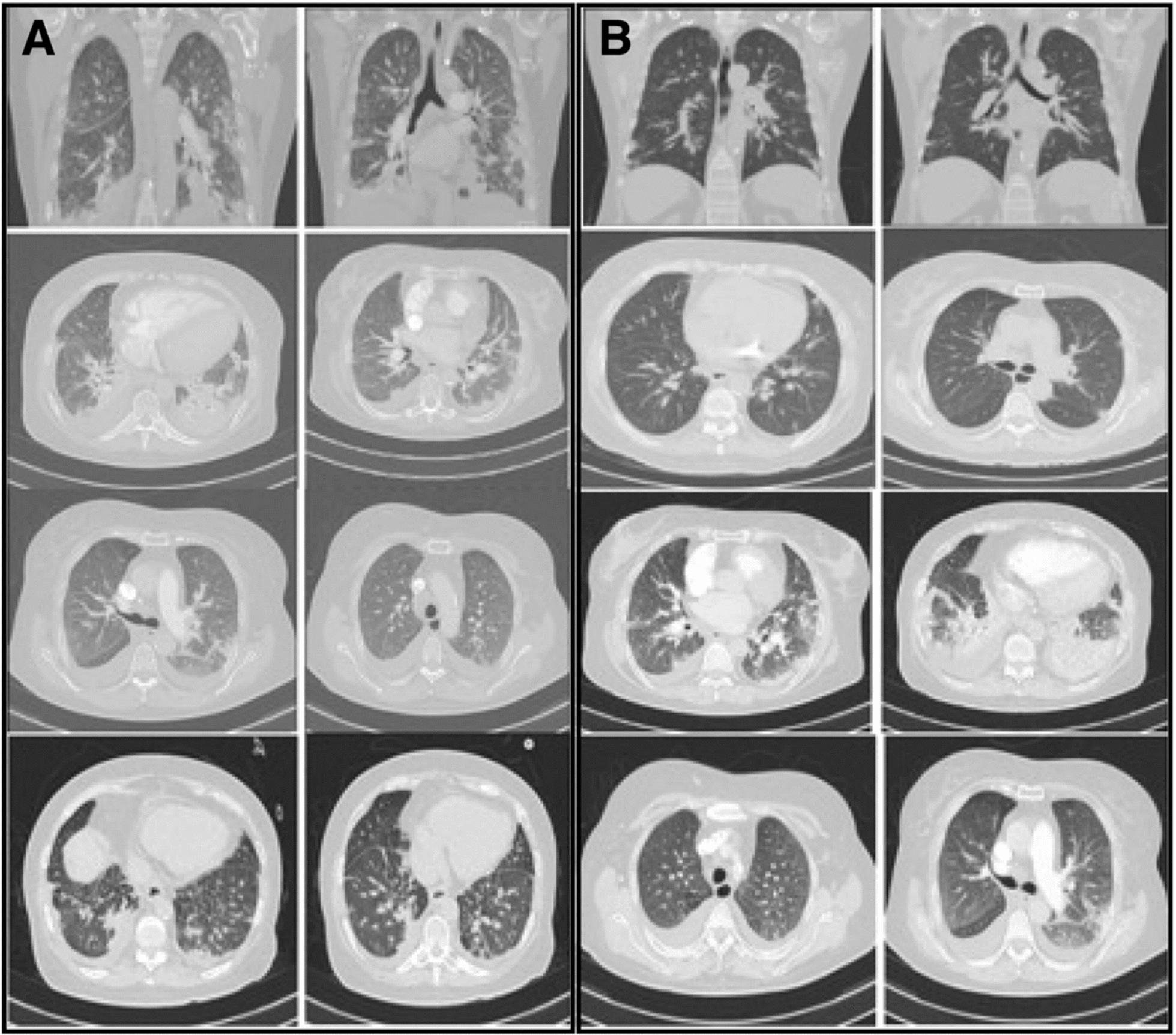
We report three cases involving mixed-race Colombian female patients aged 58, 35, and 63 years who experienced multiple episodes of coronavirus disease 2019 infection, with the most recent episode progressing to critical illness. These cases were characterized by relapses or persistent infections, and genomic analyses consistently identified the Omicron severe acute respiratory syndrome coronavirus 2 lineage as the causative variant. Notably, individuals with underlying immunosuppressive conditions developed severe acute respiratory syndrome coronavirus 2 infections that were more severe, leading to fatal outcomes that included acute respiratory distress syndrome, multiorgan dysfunction, and death. In contrast, one vaccinated patient with significant comorbidities exhibited persistent critical coronavirus disease 2019 but responded positively to treatment with tocilizumab.

CONCLUSIONS

The key takeaway is the critical need for continued investigation into coronavirus disease 2019 among individuals with high-risk comorbidities and those undergoing immunosuppressive therapy. Recurrent episodes of infection, including cases marked by relapses or persistent viral presence in these populations, create conditions conducive to viral replication and adaptation. Such environments may potentially act as breeding grounds for the emergence of significant new viral mutations.

摘要

背景

随着疫情进入新阶段,对2019年冠状病毒病严重和危重症免疫病理生理学的研究变得愈发关键。此类研究对于制定先进的治疗策略以及推动创新疗法的开发至关重要,这些创新疗法包括针对该病毒的更有效疫苗。高风险合并症和既往存在的免疫功能低下状态已被确定为导致2019年冠状病毒病易感性增加的重要因素。此外,严重感染病例,尤其是那些以复发或病毒持续存在为特征的病例,为了解这种病原体不断演变的行为和动态提供了宝贵的见解。

病例系列介绍

我们报告了三例涉及不同种族的哥伦比亚女性患者的病例,年龄分别为58岁、35岁和63岁,她们经历了多次2019年冠状病毒病感染,最近一次感染进展为危重症。这些病例的特征是复发或持续感染,基因组分析一致确定奥密克戎严重急性呼吸综合征冠状病毒2谱系为致病变体。值得注意的是,患有潜在免疫抑制疾病的个体发生的严重急性呼吸综合征冠状病毒2感染更为严重,导致包括急性呼吸窘迫综合征、多器官功能障碍和死亡在内的致命后果。相比之下,一名患有严重合并症的接种疫苗患者表现出持续的2019年冠状病毒病危重症,但对托珠单抗治疗反应良好。

结论

关键要点是迫切需要继续对患有高风险合并症的个体以及接受免疫抑制治疗的个体进行2019年冠状病毒病研究。这些人群中反复出现的感染,包括以复发或病毒持续存在为特征的病例,为病毒复制和适应创造了有利条件。这样的环境可能潜在地成为重要新病毒突变出现的温床。

https://cdn.ncbi.nlm.nih.gov/pmc/blobs/a276/12302890/5c9c1843233c/13256_2025_5431_Fig1_HTML.jpg

文献AI研究员

20分钟写一篇综述,助力文献阅读效率提升50倍。

立即体验

用中文搜PubMed

大模型驱动的PubMed中文搜索引擎

马上搜索

文档翻译

学术文献翻译模型,支持多种主流文档格式。

立即体验