Suppr超能文献

如何进行心脏对比增强超声检查(cCEUS):第一部分。

How to Perform Cardiac Contrast-Enhanced Ultrasound (cCEUS): Part I.

作者信息

Becher Harald, Helfen Andreas, Michels Guido, Gaibazzi Nicola, Senior Roxy, Dietrich Christoph Frank

机构信息

Mazankowski Alberta Heart Institute, Edmonton, AB T6G 2B7, Canada.

St. Marien Hospital, 44534 Lünen, Germany.

出版信息

Diagnostics (Basel). 2025 Jul 9;15(14):1743. doi: 10.3390/diagnostics15141743.

Abstract

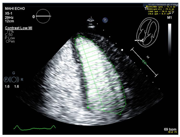
Ultrasound enhancing agents (UEAs, formerly called contrast agents) for assessments of the left heart have improved the applicability of echocardiography and the accuracy of echocardiographic measurements. UEAs have been recommended for several diagnostic echocardiographic procedures by national and supernational agencies. The increased use of UEAs during the last years provided more evidence and experience in clinical practice data which is helpful for optimizing the UEA procedures and which will be useful for both newcomers to UEA in echocardiography and sonographers/physicians with experience in echocardiography with UEAs. In two parts, this review focuses on the "how to do" for the approved UEA applications. This is part 1, covering the available UEAs and providing specific guidance on the assessment of global and regional LV function. Part 2 covers the imaging of myocardial disease and masses as well as myocardial perfusion. Recommendations include the application of UEAs in two-dimensional echocardiography as there is limited data on three-dimensional echocardiography. A step-by-step approach is proposed for each of the procedures as well as guidance on how to interpret recordings and how to report them.

摘要

用于左心评估的超声增强剂(UEAs,以前称为造影剂)提高了超声心动图的适用性和超声心动图测量的准确性。国家和跨国机构已推荐将UEAs用于多种诊断性超声心动图检查程序。在过去几年中,UEAs使用的增加为临床实践数据提供了更多证据和经验,这有助于优化UEA程序,对超声心动图领域UEA的新手以及有UEA超声心动图经验的超声检查医师/医生都将有所帮助。本综述分两部分,重点关注已获批UEA应用的“如何操作”。这是第1部分,涵盖现有的UEAs,并为整体和局部左室功能评估提供具体指导。第2部分涵盖心肌疾病和肿块的成像以及心肌灌注。建议在二维超声心动图中应用UEAs,因为三维超声心动图的数据有限。针对每个检查程序都提出了逐步方法,以及关于如何解释记录和如何报告的指导。

https://cdn.ncbi.nlm.nih.gov/pmc/blobs/faba/12294039/8bdcb6c4e37c/diagnostics-15-01743-g001a.jpg

文献AI研究员

20分钟写一篇综述,助力文献阅读效率提升50倍。

立即体验

用中文搜PubMed

大模型驱动的PubMed中文搜索引擎

马上搜索

文档翻译

学术文献翻译模型,支持多种主流文档格式。

立即体验