Suppr超能文献

X连锁遗传性肾病犬的肾脏单细胞RNA测序与数字细胞计数

Renal Single-Cell RNA Sequencing and Digital Cytometry in Dogs with X-Linked Hereditary Nephropathy.

作者信息

Chu Candice P, Osorio Daniel, Nabity Mary B

机构信息

Department of Veterinary Pathobiology, College of Veterinary Medicine & Biomedical Sciences, Texas A&M University, College Station, TX 77843, USA.

Department of Veterinary Integrative Biosciences, College of Veterinary Medicine & Biomedical Sciences, Texas A&M University, College Station, TX 77843, USA.

出版信息

Animals (Basel). 2025 Jul 12;15(14):2061. doi: 10.3390/ani15142061.

Abstract

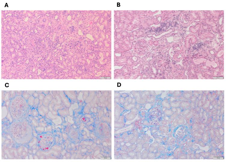
Chronic kidney disease (CKD) significantly affects canine health, but the precise cellular mechanisms of this condition remain elusive. In this study, we used single-cell RNA sequencing (scRNA-seq) to profile renal cellular gene expression in a canine model of X-linked hereditary nephropathy (XLHN). Dogs with this condition exhibit juvenile-onset CKD similar to that seen in human Alport syndrome. Post-mortem renal cortical tissues from an affected male dog and a heterozygous female dog were processed to obtain single-cell suspensions. In total, we recovered up to 13,190 cells and identified 11 cell types, including major kidney cells and immune cells. Differential gene expression analysis comparing the affected male and heterozygous female dogs identified cell-type specific pathways that differed in a subpopulation of proximal tubule cells. These pathways included the integrin signaling pathway and the pathway for inflammation mediated by chemokine and cytokine signaling. Additionally, using machine learning-empowered digital cytometry, we deconvolved bulk mRNA-seq data from a previous canine study, revealing changes in cell type proportions across CKD stages. These results underline the utility of single-cell methodologies and digital cytometry in veterinary nephrology.

摘要

慢性肾脏病(CKD)对犬类健康有显著影响,但这种病症的确切细胞机制仍不清楚。在本研究中,我们使用单细胞RNA测序(scRNA-seq)对X连锁遗传性肾病(XLHN)犬模型的肾细胞基因表达进行了分析。患有这种病症的犬表现出与人类Alport综合征相似的青少年期CKD。对一只患病雄性犬和一只杂合雌性犬的死后肾皮质组织进行处理,以获得单细胞悬液。我们总共获得了多达13190个细胞,并鉴定出11种细胞类型,包括主要的肾细胞和免疫细胞。比较患病雄性犬和杂合雌性犬的差异基因表达分析确定了在近端小管细胞亚群中不同的细胞类型特异性途径。这些途径包括整合素信号通路以及由趋化因子和细胞因子信号介导的炎症途径。此外,我们使用机器学习赋能的数字细胞术,对先前一项犬类研究中的大量mRNA-seq数据进行反卷积分析,揭示了CKD各阶段细胞类型比例的变化。这些结果强调了单细胞方法和数字细胞术在兽医肾脏病学中的实用性。

https://cdn.ncbi.nlm.nih.gov/pmc/blobs/e849/12291704/cd0f118ce099/animals-15-02061-g001.jpg

文献AI研究员

20分钟写一篇综述,助力文献阅读效率提升50倍。

立即体验

用中文搜PubMed

大模型驱动的PubMed中文搜索引擎

马上搜索

文档翻译

学术文献翻译模型,支持多种主流文档格式。

立即体验