Suppr超能文献

滋养层细胞表面抗原2(Trop2)在血管免疫母细胞性T细胞淋巴瘤衍生的EBV阳性弥漫性大B细胞淋巴瘤病例中表达。

Trophoblast Cell Surface Antigen 2 (Trop2) Is Expressed in Cases of EBV-Positive Diffuse Large B-Cell Lymphoma Emerging from Angioimmunoblastic T-Cell Lymphoma.

作者信息

Ghandili Susanne, Dierlamm Judith, Bokemeyer Carsten, von Bargen Clara Marie, Menz Anne, Weidemann Sören Alexander

机构信息

Department of Oncology, Hematology and Bone Marrow Transplantation with Section Pneumology, University Cancer Center Hamburg, University Medical Center Hamburg-Eppendorf, Martinistrasse 52, 20246 Hamburg, Germany.

Institute of Pathology, University Medical Center Hamburg-Eppendorf, Martinistrasse 52, 20246 Hamburg, Germany.

出版信息

Reports (MDPI). 2024 May 14;7(2):37. doi: 10.3390/reports7020037.

Abstract

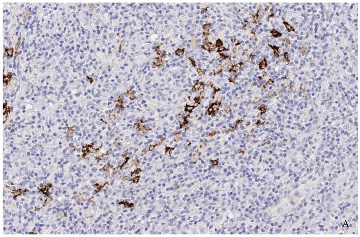
Although trophoblast cell surface antigen 2 (Trop2)-targeting drugs are already approved or under investigation in various solid tumors, the significance of Trop2 in lymphoma is unknown. Thus, our objective was to investigate the expression of Trop2 in diffuse large B-cell lymphoma (DLBCL) through a systemic immunohistochemistry screening. We constructed a tissue microarray comprising tissue from 92 DLBCL patients, each diagnosed at the University Medical Center Hamburg-Eppendorf (2020-2022). Trop2-immunohistochemistry was carried out, and positive staining was deemed a specific membranous positivity. Four samples were derived from Epstein-Barr virus (EBV)-positive DLBCL, with one case of EBV-positive DLBCL following angioimmunoblastic T-cell lymphoma (AITL). Strong Trop2 immunostaining was detectable in 1 of 91 analyzable samples, originating from a patient with a composite EBV-positive DLBCL emerging from AITL. Therefore, we performed an additional database search to identify all cases of composite EBV-positive DLBCL emerging from AITL since 2015. Five additional cases were identified and stained for Trop2, revealing two cases with strong B-blast positivity. Our preliminary data imply that Trop2 appears absent in de novo DLBCL, whereas Trop2 is strongly expressed in cases of a rare variant of EBV-positive DLBCL. Further investigations are needed to confirm our results, particularly on the subset of EBV-positive DLBCL emerging from AITL.

摘要

尽管靶向滋养层细胞表面抗原2(Trop2)的药物已在多种实体瘤中获批或正在进行研究,但Trop2在淋巴瘤中的意义尚不清楚。因此,我们的目标是通过系统的免疫组织化学筛查来研究Trop2在弥漫性大B细胞淋巴瘤(DLBCL)中的表达。我们构建了一个组织微阵列,包含来自92例DLBCL患者的组织,这些患者均于汉堡-埃彭多夫大学医学中心确诊(2020 - 2022年)。进行了Trop2免疫组织化学检测,阳性染色被视为特异性膜阳性。4个样本来自爱泼斯坦-巴尔病毒(EBV)阳性的DLBCL,其中1例EBV阳性的DLBCL继发于血管免疫母细胞性T细胞淋巴瘤(AITL)。在91个可分析样本中的1个样本中检测到强烈的Trop2免疫染色,该样本来自一名由AITL演变而来的复合性EBV阳性DLBCL患者。因此,我们进行了额外的数据库检索,以确定自2015年以来所有由AITL演变而来的复合性EBV阳性DLBCL病例。又鉴定出5例病例并进行了Trop2染色,发现其中2例具有强烈的B母细胞阳性。我们的初步数据表明,原发性DLBCL中似乎不存在Trop2,而在一种罕见的EBV阳性DLBCL变体病例中Trop2强烈表达。需要进一步研究来证实我们的结果,特别是针对由AITL演变而来的EBV阳性DLBCL亚组。

https://cdn.ncbi.nlm.nih.gov/pmc/blobs/bb23/12225411/fc584b4c3f20/reports-07-00037-g001.jpg

文献AI研究员

20分钟写一篇综述,助力文献阅读效率提升50倍。

立即体验

用中文搜PubMed

大模型驱动的PubMed中文搜索引擎

马上搜索

文档翻译

学术文献翻译模型,支持多种主流文档格式。

立即体验